验证数据展示
经过测试的应用
| Positive WB detected in | COLO 320 cells, A431 cells, HCT 116 cells, SGC-7901 cells |
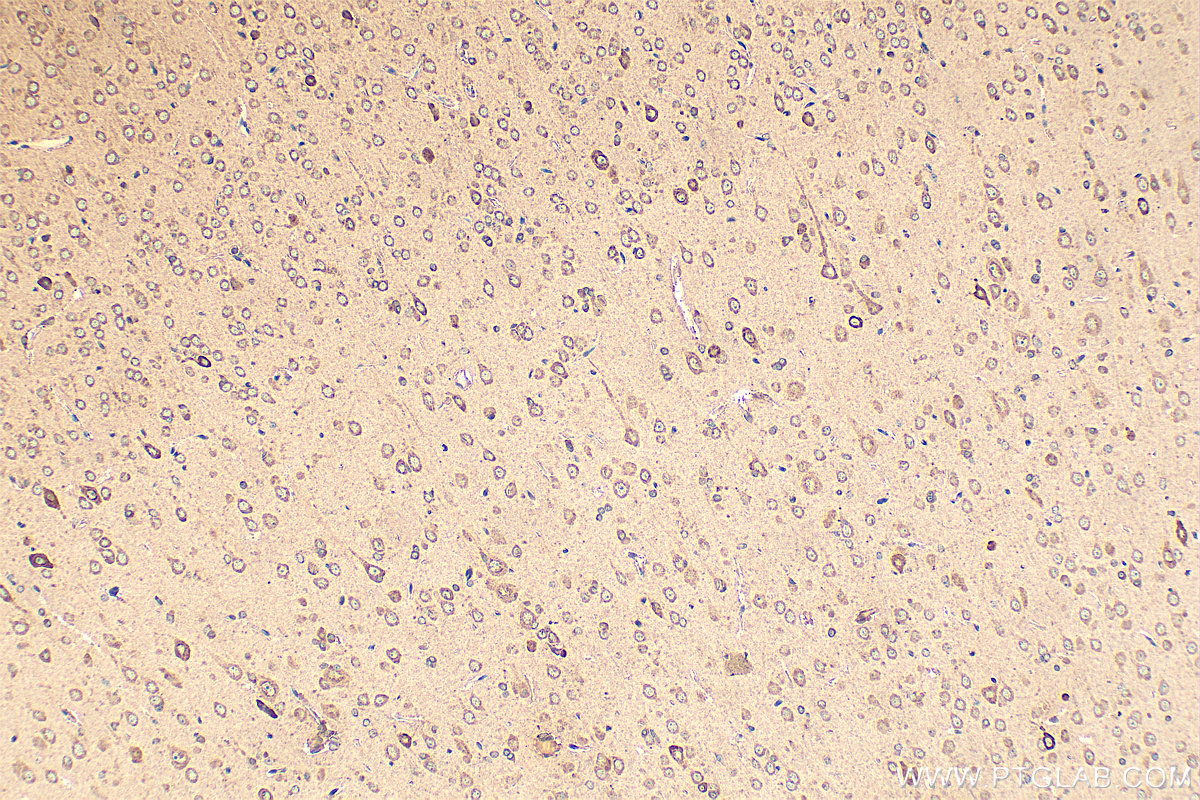
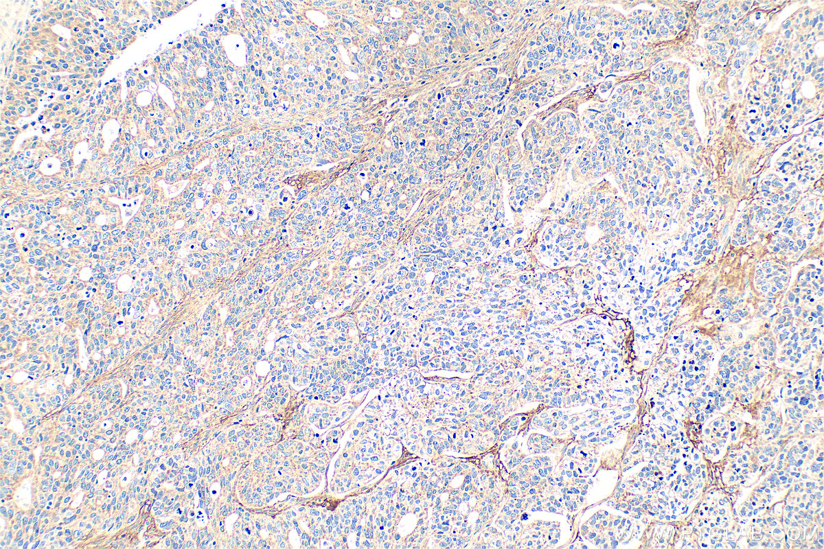
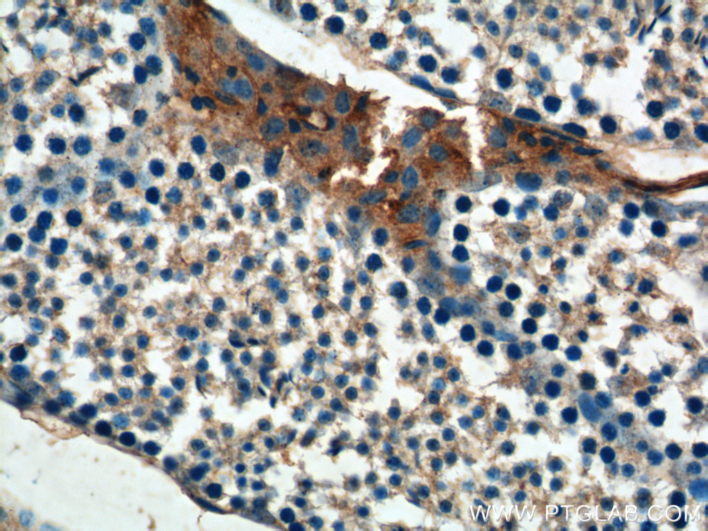
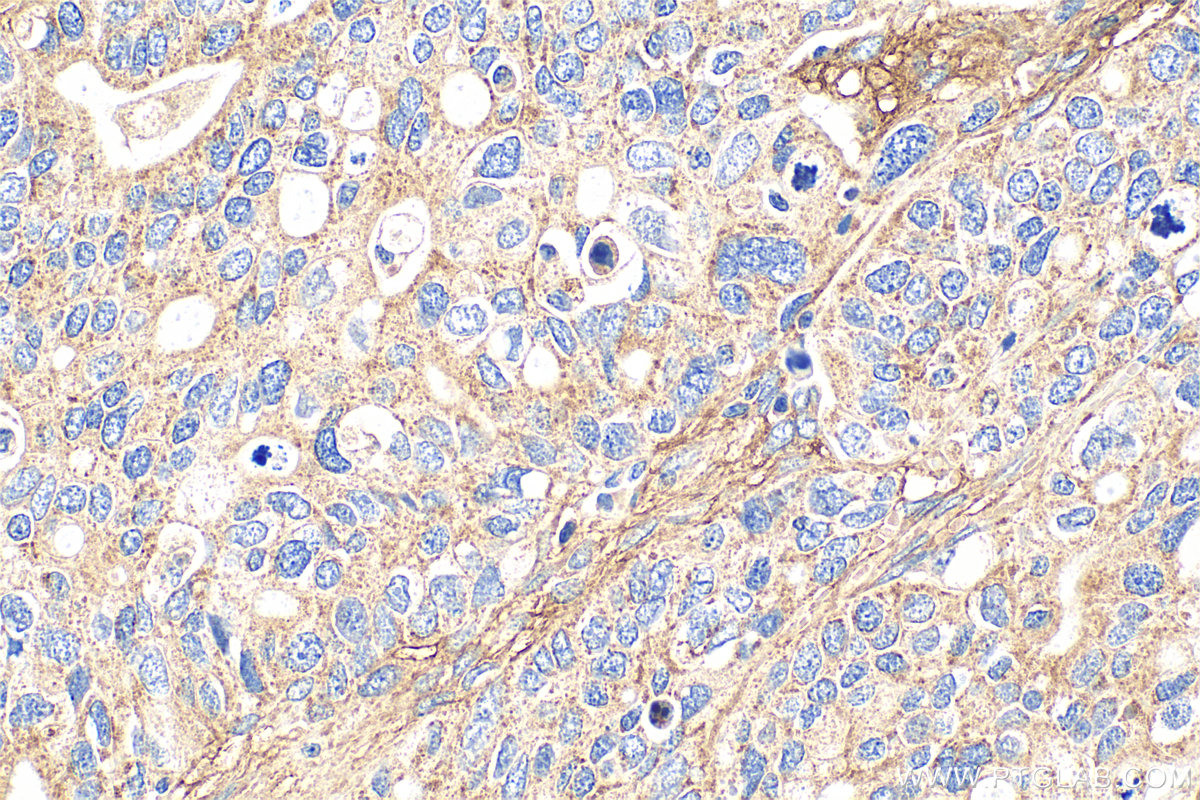
| Positive IHC detected in | human ovary tumor tissue, rat brain tissue Note: suggested antigen retrieval with TE buffer pH 9.0; (*) Alternatively, antigen retrieval may be performed with citrate buffer pH 6.0 |
推荐稀释比
| 应用 | 推荐稀释比 |
|---|---|
| Western Blot (WB) | WB : 1:500-1:1000 |
| Immunohistochemistry (IHC) | IHC : 1:50-1:500 |
| It is recommended that this reagent should be titrated in each testing system to obtain optimal results. | |
| Sample-dependent, Check data in validation data gallery. | |
产品信息
21129-1-AP targets KIAA1199 / CEMIP in WB, IHC, IF, IP, CoIP, ELISA applications and shows reactivity with human, rat samples.
| 经测试应用 | WB, IHC, ELISA Application Description |
| 文献引用应用 | WB, IHC, IF, IP, CoIP |
| 经测试反应性 | human, rat |
| 文献引用反应性 | human, mouse, rat, marmoset |
| 免疫原 |
CatNo: Ag15527 Product name: Recombinant human KIAA1199 protein Source: e coli.-derived, PGEX-4T Tag: GST Domain: 31-386 aa of BC020256 Sequence: TVAAGCPDQSPELQPWNPGHDQDHHVHIGQGKTLLLTSSATVYSIHISEGGKLVIKDHDEPIVLRTRHILIDNGGELHAGSALCPFQGNFTIILYGRADEGIQPDPYYGLKYIGVGKGGALELHGQKKLSWTFLNKTLHPGGMAEGGYFFERSWGHRGVIVHVIDPKSGTVIHSDRFDTYRSKKESERLVQYLNAVPDGRILSVAVNDEGSRNLDDMARKAMTKLGSKHFLHLGFRHPWSFLTVKGNPSSSVEDHIEYHGHRGSAAARVFKLFQTEHGEYFNVSLSSEWVQDVEWTEWFDHDKVSQTKGGEKISDLWKAHPGKICNRPIDIQATTMDGVNLSTEVVYKKGQDYRFA 种属同源性预测 |
| 宿主/亚型 | Rabbit / IgG |
| 抗体类别 | Polyclonal |
| 产品类型 | Antibody |
| 全称 | KIAA1199 / CEMIP |
| 别名 | CEMIP, KIAA1199, EC:3.2.1.35, Hyaluronan binding protein involved in hyaluronan depolymerization, HYBID |
| 计算分子量 | 1361 aa, 153 kDa |
| 观测分子量 | 150 kDa |
| GenBank蛋白编号 | BC020256 |
| 基因名称 | KIAA1199 |
| Gene ID (NCBI) | 57214 |
| RRID | AB_10695771 |
| 偶联类型 | Unconjugated |
| 形式 | Liquid |
| 纯化方式 | Antigen affinity purification |
| UNIPROT ID | Q8WUJ3 |
| 储存缓冲液 | PBS with 0.02% sodium azide and 50% glycerol, pH 7.3. |
| 储存条件 | Store at -20°C. Stable for one year after shipment. Aliquoting is unnecessary for -20oC storage. |
背景介绍
KIAA1199, also known as CEMIP, was first discovered as an inner-ear protein whose genetic mutations were linked to nonsyndromic hearing loss. KIAA1199 is involved in hyaluronan degradation. Studies have shown that KIAA1199 is overexpressed in many types of cancers, suggesting a critical role of KIAA1199 in cancer progression.
实验方案
| Product Specific Protocols | |
|---|---|
| IHC protocol for KIAA1199 / CEMIP antibody 21129-1-AP | Download protocol |
| WB protocol for KIAA1199 / CEMIP antibody 21129-1-AP | Download protocol |
| Standard Protocols | |
|---|---|
| Click here to view our Standard Protocols |
发表文章
| Species | Application | Title |
|---|---|---|
Nat Commun TREX tetramer disruption alters RNA processing necessary for corticogenesis in THOC6 Intellectual Disability Syndrome | ||
Sci Adv Single-cell analysis of human basal cell carcinoma reveals novel regulators of tumor growth and the tumor microenvironment. | ||
Am J Hum Genet Altered regulation of DPF3, a member of the SWI/SNF complexes, underlies the 14q24 renal cancer susceptibility locus.
| ||
Theranostics Functional Genomic mRNA Profiling of Colorectal Adenomas: Identification and in vivo Validation of CD44 and Splice Variant CD44v6 as Molecular Imaging Targets. | ||
Acta Pharmacol Sin Adaptor protein CEMIP reduces the chemosensitivity of small cell lung cancer via activation of an SRC-YAP oncogenic module
| ||
Cell Rep Cochlear Cell Modeling Using Disease-Specific iPSCs Unveils a Degenerative Phenotype and Suggests Treatments for Congenital Progressive Hearing Loss. |




