验证数据展示
经过测试的应用
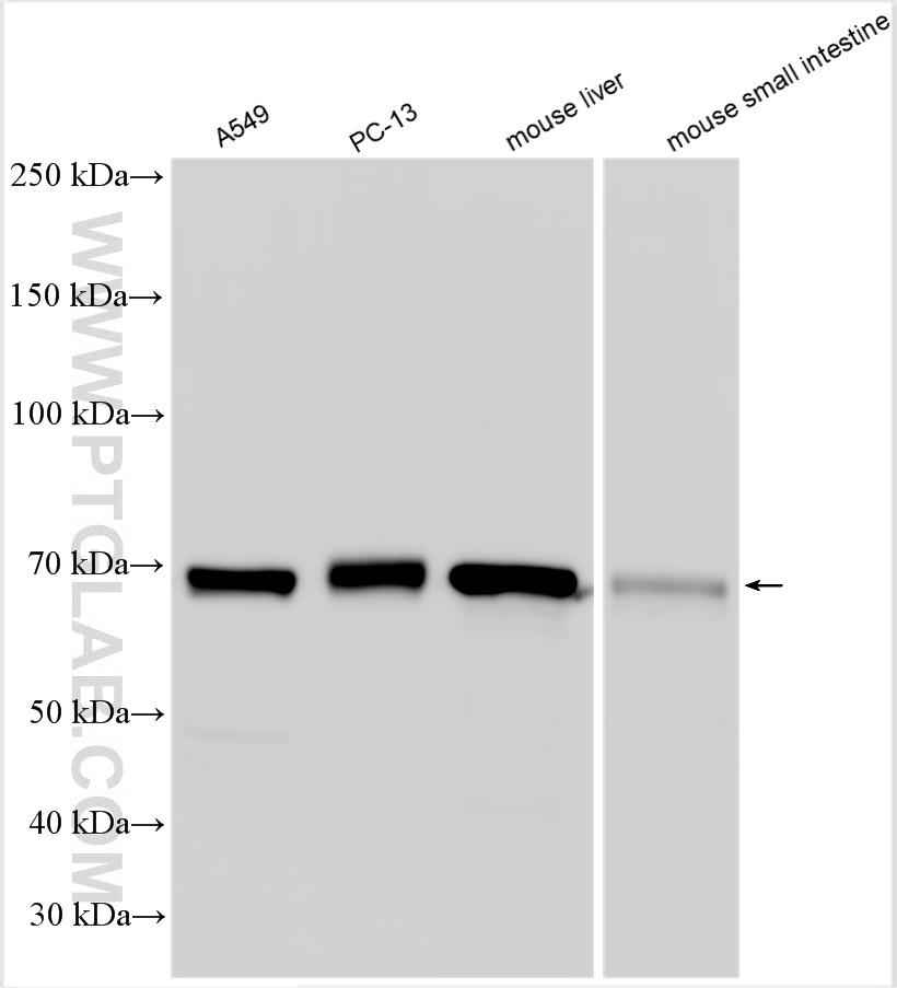
| Positive WB detected in | A549 cells, PC-13 cells, mouse liver tissue, mouse small intestine tissue |
| Positive IHC detected in | human lung cancer tissue Note: suggested antigen retrieval with TE buffer pH 9.0; (*) Alternatively, antigen retrieval may be performed with citrate buffer pH 6.0 |
推荐稀释比
| 应用 | 推荐稀释比 |
|---|---|
| Western Blot (WB) | WB : 1:500-1:2000 |
| Immunohistochemistry (IHC) | IHC : 1:50-1:500 |
| It is recommended that this reagent should be titrated in each testing system to obtain optimal results. | |
| Sample-dependent, Check data in validation data gallery. | |
发表文章中的应用
| KD/KO | See 1 publications below |
| WB | See 1 publications below |
产品信息
25419-1-AP targets KIAA0907 in WB, IHC, ELISA applications and shows reactivity with human, mouse samples.
| 经测试应用 | WB, IHC, ELISA Application Description |
| 文献引用应用 | WB |
| 经测试反应性 | human, mouse |
| 文献引用反应性 | human |
| 免疫原 |
CatNo: Ag22217 Product name: Recombinant human KIAA0907 protein Source: e coli.-derived, PGEX-4T Tag: GST Domain: 1-226 aa of BC062637 Sequence: MSAGSATHPGAGGRRSKWDQPAPAPLLFLPPAAPGGEVTSSGGSPGGTTAAPSGALDAAAAVAAKINAMLMAKGKLKPTQNASEKLQAPGKGLTSNKSKDDLVVAEVEINDVPLTCRNLLTRGQTQDEISRLSGAAVSTRGRFMTTEEKAKVGPGDRPLYLHVQGQTRELVDRAVNRIKEIITNGVVKAATGTSPTFNGATVTVYHQPAPIAQLSPAVSQKPPFQS 种属同源性预测 |
| 宿主/亚型 | Rabbit / IgG |
| 抗体类别 | Polyclonal |
| 产品类型 | Antibody |
| 全称 | KIAA0907 |
| 别名 | BLOM7, KHDC4, KIAA0907, RP11 336K24.1, UPF0469 protein KIAA0907 |
| 计算分子量 | 614 aa, 65 kDa |
| 观测分子量 | 68 kDa |
| GenBank蛋白编号 | BC062637 |
| 基因名称 | KIAA0907 |
| Gene ID (NCBI) | 22889 |
| RRID | AB_2880070 |
| 偶联类型 | Unconjugated |
| 形式 | Liquid |
| 纯化方式 | Antigen affinity purification |
| UNIPROT ID | Q7Z7F0 |
| 储存缓冲液 | PBS with 0.02% sodium azide and 50% glycerol, pH 7.3. |
| 储存条件 | Store at -20°C. Stable for one year after shipment. Aliquoting is unnecessary for -20oC storage. |
背景介绍
KIAA0907, also named as BLOM7, is 614 amino acid protein, which belongs to the UPF0469 family. KIAA0907 exists as four alternative splicing isoforms and its residues is modified by phosphorylase. KIAA0907 are frequently observed in lung cancer cells.
实验方案
| Product Specific Protocols | |
|---|---|
| IHC protocol for KIAA0907 antibody 25419-1-AP | Download protocol |
| WB protocol for KIAA0907 antibody 25419-1-AP | Download protocol |
| Standard Protocols | |
|---|---|
| Click here to view our Standard Protocols |


