验证数据展示
经过测试的应用
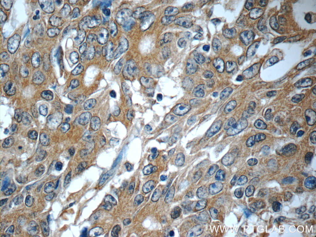
| Positive IHC detected in | human colon cancer tissue Note: suggested antigen retrieval with TE buffer pH 9.0; (*) Alternatively, antigen retrieval may be performed with citrate buffer pH 6.0 |
推荐稀释比
| 应用 | 推荐稀释比 |
|---|---|
| Immunohistochemistry (IHC) | IHC : 1:20-1:200 |
| It is recommended that this reagent should be titrated in each testing system to obtain optimal results. | |
| Sample-dependent, Check data in validation data gallery. | |
产品信息
25721-1-AP targets KIAA0841 in IHC, ELISA applications and shows reactivity with human samples.
| 经测试应用 | IHC, ELISA Application Description |
| 经测试反应性 | human |
| 免疫原 |
CatNo: Ag22809 Product name: Recombinant human KIAA0841 protein Source: e coli.-derived, PET28a Tag: 6*His Domain: 1-290 aa of BC064390 Sequence: MELAQEARELGCWAVEEMGVPVAARAPESTLRRLCLGQGADIWAYILQHVHSQRTVKKIRGNLLWYGHQDSPQVRRKLELEAAVTRLRAEIQELDQSLELMERDTEAQDTAMEQARQHTQDTQRRALLLRAQAGAMRRQQHTLRDPMQRLQNQLRRLQDMERKAKVDVTFGSLTSAALGLEPVVLRDVRTACTLRAQFLQNLLLPQAKRGSLPTPHDDHFGTSYQQWLSSVETLLTNHPPGHVLAALEHLAAEREAEIRSLCSGDGLGDTEISRRAGGLWVCWSPSGAPS 种属同源性预测 |
| 宿主/亚型 | Rabbit / IgG |
| 抗体类别 | Polyclonal |
| 产品类型 | Antibody |
| 全称 | KIAA0841 |
| 别名 | HAUS5, KIAA0841 |
| 计算分子量 | 633 aa, 72 kDa |
| GenBank蛋白编号 | BC064390 |
| 基因名称 | KIAA0841 |
| Gene ID (NCBI) | 23354 |
| RRID | AB_2880207 |
| 偶联类型 | Unconjugated |
| 形式 | Liquid |
| 纯化方式 | Antigen affinity purification |
| UNIPROT ID | O94927 |
| 储存缓冲液 | PBS with 0.02% sodium azide and 50% glycerol, pH 7.3. |
| 储存条件 | Store at -20°C. Stable for one year after shipment. Aliquoting is unnecessary for -20oC storage. |
背景介绍
KIAA0841, also named as HAUS5, contributes to mitotic spindle assembly, maintenance of centrosome integrity and completion of cytokinesis as part of the HAUS augmin-like complex. KIAA0841 has two isoforms with MW 72 kDa and 33 kDa.
实验方案
| Product Specific Protocols | |
|---|---|
| IHC protocol for KIAA0841 antibody 25721-1-AP | Download protocol |
| Standard Protocols | |
|---|---|
| Click here to view our Standard Protocols |

