验证数据展示
经过测试的应用
| Positive WB detected in | HeLa cells, human brain tissue, Jurkat cells |
| Positive IP detected in | HeLa cells |
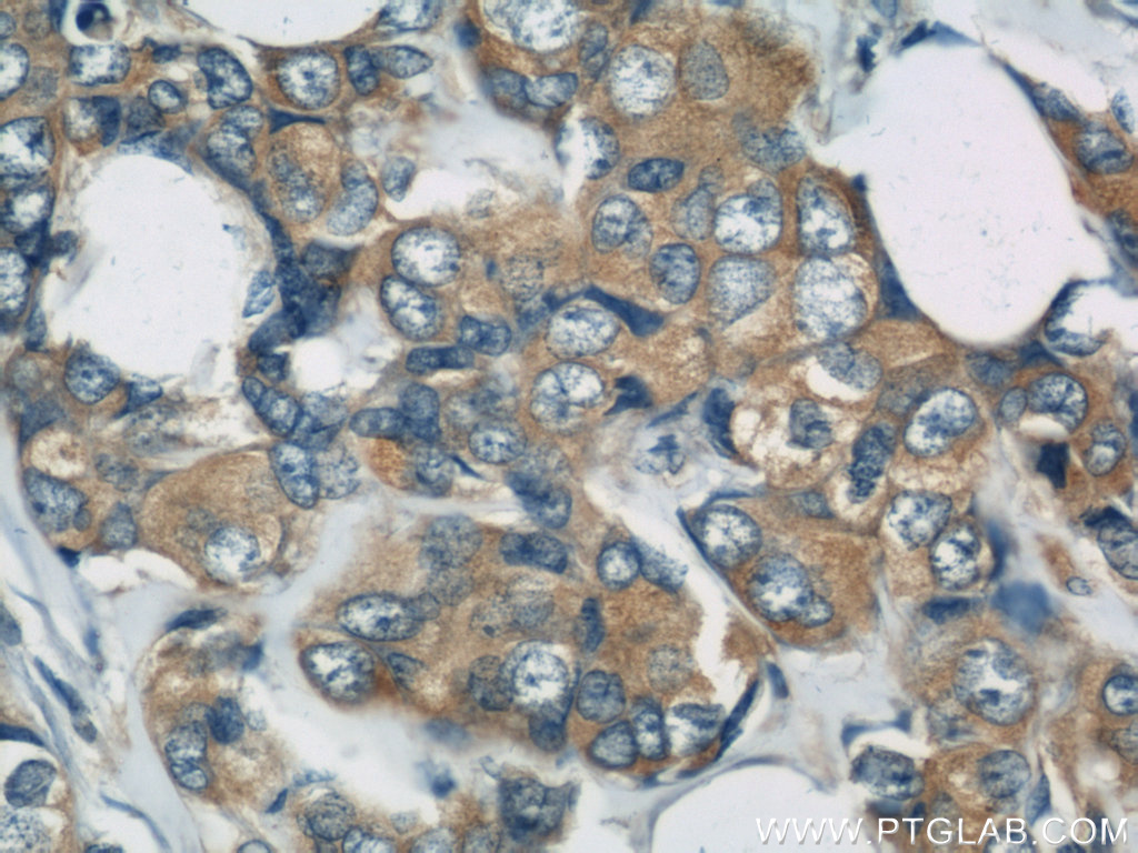
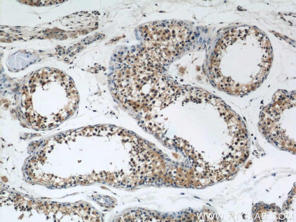
| Positive IHC detected in | mouse brain tissue, human breast cancer tissue, human normal colon, human testis tissue Note: suggested antigen retrieval with TE buffer pH 9.0; (*) Alternatively, antigen retrieval may be performed with citrate buffer pH 6.0 |
| Positive IF/ICC detected in | MCF-7 cells |
推荐稀释比
| 应用 | 推荐稀释比 |
|---|---|
| Western Blot (WB) | WB : 1:2000-1:12000 |
| Immunoprecipitation (IP) | IP : 0.5-4.0 ug for 1.0-3.0 mg of total protein lysate |
| Immunohistochemistry (IHC) | IHC : 1:50-1:500 |
| Immunofluorescence (IF)/ICC | IF/ICC : 1:200-1:800 |
| It is recommended that this reagent should be titrated in each testing system to obtain optimal results. | |
| Sample-dependent, Check data in validation data gallery. | |
产品信息
12345-1-AP targets DYNC1H1 in WB, IHC, IF/ICC, IP, CoIP, ELISA applications and shows reactivity with human, mouse, rat, zebrafish samples.
| 经测试应用 | WB, IHC, IF/ICC, IP, ELISA Application Description |
| 文献引用应用 | WB, IHC, IF, IP, CoIP |
| 经测试反应性 | human, mouse, rat, zebrafish |
| 文献引用反应性 | human, mouse, rat, pig, zebrafish |
| 免疫原 |
CatNo: Ag2999 Product name: Recombinant human KIAA0325 protein Source: e coli.-derived, PGEX-4T Tag: GST Domain: 590-989 aa of BC021297 Sequence: MAQSIYGGRVDNEFDQRLLNTFLERLFTTRSFDSEFKLACKVDGHKDIQMPDGIRREEFVQWVELLPDTQTPSWLGLPNNAERVLLTTQGVDMISKMLKMQMLEDEDDLAYAETEKKTRTDSTSDGRPAWMRTLHTTASNWLHLIPQTLSHLKRTVENIKDPLFRFFEREVKMGAKLLQDVRQDLADVVQVCEGKKKQTNYLRTLINELVKGILPRSWSHYTVPAGMTVIQWVSDFSERIKQLQNISLAAASGGAKELKNIHVCLGGLFVPEAYITATRQYVAQANSWSLEELCLEVNVTTSQGATLDACSFGVTGLKLQGATCNNNKLSLSNAISTALPLTQLRWVKQTNTEKKASVVTLPVYLNFTRADLIFTVDFEIATKEDPRSFYERGVAVLCTE 种属同源性预测 |
| 宿主/亚型 | Rabbit / IgG |
| 抗体类别 | Polyclonal |
| 产品类型 | Antibody |
| 全称 | dynein, cytoplasmic 1, heavy chain 1 |
| 别名 | DYNC1H 1 |
| 计算分子量 | 4646 aa, 532 kDa |
| 观测分子量 | 532 kDa |
| GenBank蛋白编号 | BC021297 |
| 基因名称 | DYNC1H1 |
| Gene ID (NCBI) | 1778 |
| RRID | AB_2261765 |
| 偶联类型 | Unconjugated |
| 形式 | Liquid |
| 纯化方式 | Antigen affinity purification |
| UNIPROT ID | Q14204 |
| 储存缓冲液 | PBS with 0.02% sodium azide and 50% glycerol, pH 7.3. |
| 储存条件 | Store at -20°C. Stable for one year after shipment. Aliquoting is unnecessary for -20oC storage. |
背景介绍
Dyneins are a group of microtubule-activated ATPases that serve to convert chemical energy into mechanical energy. It can be divided into 2 large subgroups, namely, the axonemal and cytoplasmic dyneins. The conventional cytoplasmic dynein are comprised of 2 heavy chain polypeptides and a number of intermediate and light chains. DYNC1H1 is a cytoplasmic dynein and belongs to the dynein heavy chain family. It acts as a motor for the intracellular retrograde motility of vesicles and organelles along microtubules. DYNC1H1 has been implicated in the degeneration of dopaminergic neuron axons and motor neurons in PD patients..
实验方案
| Product Specific Protocols | |
|---|---|
| IF protocol for DYNC1H1 antibody 12345-1-AP | Download protocol |
| IHC protocol for DYNC1H1 antibody 12345-1-AP | Download protocol |
| IP protocol for DYNC1H1 antibody 12345-1-AP | Download protocol |
| WB protocol for DYNC1H1 antibody 12345-1-AP | Download protocol |
| Standard Protocols | |
|---|---|
| Click here to view our Standard Protocols |
发表文章
| Species | Application | Title |
|---|---|---|
Science A liquid-like spindle domain promotes acentrosomal spindle assembly in mammalian oocytes. | ||
Nature Endophilin-A2 functions in membrane scission in clathrin-independent endocytosis.
| ||
Nat Cell Biol Recycling of autophagosomal components from autolysosomes by the recycler complex. | ||
Neuron Posterior Neocortex-Specific Regulation of Neuronal Migration by CEP85L Identifies Maternal Centriole-Dependent Activation of CDK5. | ||
J Cell Biol Ndel1 suppresses ciliogenesis in proliferating cells by regulating the trichoplein-Aurora A pathway.
|














