验证数据展示
经过测试的应用
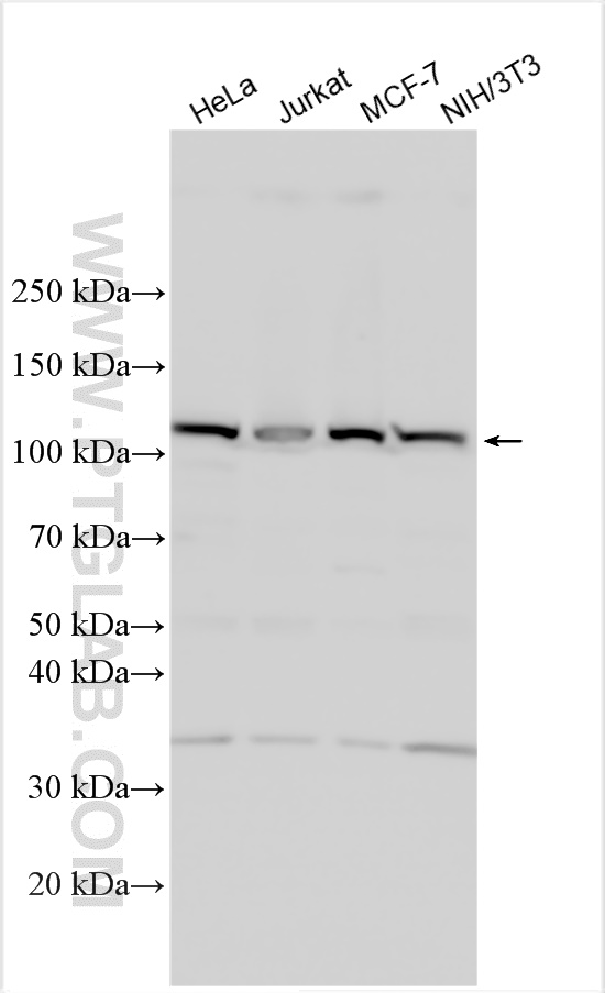
| Positive WB detected in | HeLa cells, Jurkat cells, MCF-7 cells, NIH/3T3 cells |
推荐稀释比
| 应用 | 推荐稀释比 |
|---|---|
| Western Blot (WB) | WB : 1:500-1:2000 |
| It is recommended that this reagent should be titrated in each testing system to obtain optimal results. | |
| Sample-dependent, Check data in validation data gallery. | |
产品信息
32028-1-AP targets KIAA0196 in WB, ELISA applications and shows reactivity with human, mouse samples.
| 经测试应用 | WB, ELISA Application Description |
| 经测试反应性 | human, mouse |
| 免疫原 |
CatNo: Ag36916 Product name: Recombinant human KIAA0196 protein Source: e coli.-derived, PGEX-4T Tag: GST Domain: 950-1159 aa of NM_014846.3 Sequence: KVGQMQILRQQIANELNYSCRFDSKHLAAALENLNKALLADIEAHYQDPSLPYPKEDNTLLYEITAYLEAAGIHNPLNKIYITTKRLPYFPIVNFLFLIAQLPKLQYNKNLGMVCRKPTDPVDWPPLVLGLLTLLKQFHSRYTEQFLALIGQFICSTVEQCTSQKIPEIPADVVGALLFLEDYVRYTKLPRRVAEAHVPNFIFDEFRTVL 种属同源性预测 |
| 宿主/亚型 | Rabbit / IgG |
| 抗体类别 | Polyclonal |
| 产品类型 | Antibody |
| 全称 | KIAA0196 |
| 别名 | WASHC5, WASH complex subunit strumpellin, WASH complex subunit 5, Strumpellin |
| 计算分子量 | 134kDa,1159aa |
| 观测分子量 | 120 kDa |
| GenBank蛋白编号 | NM_014846.3 |
| 基因名称 | KIAA0196 |
| Gene ID (NCBI) | 9897 |
| 偶联类型 | Unconjugated |
| 形式 | Liquid |
| 纯化方式 | Antigen affinity Purification |
| UNIPROT ID | Q12768 |
| 储存缓冲液 | PBS with 0.02% sodium azide and 50% glycerol, pH 7.3. |
| 储存条件 | Store at -20°C. Stable for one year after shipment. Aliquoting is unnecessary for -20oC storage. |
背景介绍
KIAA0196 is a core component of the WASH complex, an actin-regulating complex involved in intracellular trafficking, mitochondrial metabolism, and myelination. It plays a crucial role in maintaining the structural integrity of myofibrils and regulating cardiac function. Recent studies have identified KIAA0196 as a susceptibility gene for abnormal cardiac development. Mutations or reduced expression of KIAA0196 can lead to cardiac defects, such as enlarged hearts and myocardial contractile dysfunction (PMID: 32417190).
实验方案
| Product Specific Protocols | |
|---|---|
| WB protocol for KIAA0196 antibody 32028-1-AP | Download protocol |
| Standard Protocols | |
|---|---|
| Click here to view our Standard Protocols |
