验证数据展示
经过测试的应用
| Positive WB detected in | mouse brain tissue, BGC-823 cells, A549 cells, human brain tissue | 
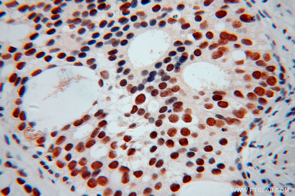
| Positive IHC detected in | human gliomas tissue Note: suggested antigen retrieval with TE buffer pH 9.0; (*) Alternatively, antigen retrieval may be performed with citrate buffer pH 6.0 | 
推荐稀释比
| 应用 | 推荐稀释比 | 
|---|---|
| Western Blot (WB) | WB : 1:2000-1:12000 | 
| Immunohistochemistry (IHC) | IHC : 1:20-1:200 | 
| It is recommended that this reagent should be titrated in each testing system to obtain optimal results. | |
| Sample-dependent, Check data in validation data gallery. | |
产品信息
13563-1-AP targets KHDRBS3 in WB, IHC, IF, CoIP, ELISA applications and shows reactivity with human, mouse, rat samples.
| 经测试应用 | WB, IHC, ELISA Application Description | 
| 文献引用应用 | WB, IHC, IF, CoIP | 
| 经测试反应性 | human, mouse, rat | 
| 文献引用反应性 | human, mouse | 
| 免疫原 | CatNo: Ag4438 Product name: Recombinant human KHDRBS3 protein Source: e coli.-derived, PGEX-4T Tag: GST Domain: 1-346 aa of BC032606 Sequence: MEEKYLPELMAEKDSLDPSFTHALRLVNQEIEKFQKGEGKDEEKYIDVVINKNMKLGQKVLIPVKQFPKFNFVGKLLGPRGNSLKRLQEETLTKMSILGKGSMRDKAKEEELRKSGEAKYFHLNDDLHVLIEVFAPPAEAYARMGHALEEIKKFLIPDYNDEIRQAQLQELTYLNGGSENADVPVVRGKPTLRTRGVPAPAITRGRGGVTARPVGVVVPRGTPTPRGVLSTRGPVSRGRGLLTPRARGVPPTGYRPPPPPPTQETYGEYDYDDGYGTAYDEQSYDSYDNSYSTPAQSGADYYDYGHGLSEETYDSYGQEEWTNSRHKAPSARTAKGVYRDQPYGRY种属同源性预测 | 
| 宿主/亚型 | Rabbit / IgG | 
| 抗体类别 | Polyclonal | 
| 产品类型 | Antibody | 
| 全称 | KH domain containing, RNA binding, signal transduction associated 3 | 
| 别名 | Etle, etoile, KHDRBS3, RNA binding protein T Star, SALP, Sam68 like mammalian protein 2, SLM 2, SLM2, T STAR, TSTAR | 
| 计算分子量 | 346 aa, 38, 8 kDa | 
| 观测分子量 | 55 kDa | 
| GenBank蛋白编号 | BC032606 | 
| 基因名称 | KHDRBS3 | 
| Gene ID (NCBI) | 10656 | 
| RRID | AB_2130319 | 
| 偶联类型 | Unconjugated | 
| 形式 | Liquid | 
| 纯化方式 | Antigen affinity purification | 
| UNIPROT ID | O75525 | 
| 储存缓冲液 | PBS with 0.02% sodium azide and 50% glycerol, pH 7.3. | 
| 储存条件 | Store at -20°C. Stable for one year after shipment. Aliquoting is unnecessary for -20oC storage. | 
背景介绍
KH domain-containing, RNA-binding, signal transduction-associated protein 3 (KHDRBS3, SLM2) is a RNA-binding protein that plays a role in the regulation of alternative splicing and influences mRNA splice site selection and exon inclusion (15901763). May play a role as a negative regulator of cell growth. Inhibits cell proliferation. Involved in splice site selection of vascular endothelial growth factor. Induces an increased concentration-dependent incorporation of exon in CD44 pre-mRNA by direct binding to purine-rich exonic enhancer. RNA-binding abilities are down-regulated by tyrosine kinase PTK6. Involved in post-transcriptional regulation of HIV-1 gene expression (11741900).Ubiquitous with higher expression in testis, skeletal muscle and brain. Expressed in the kidney only in podocytes, the glomerular epithelial cells of the kidney. Strongly expressed after meiosis.This antibody is a rabbit polyclonal antibody raised against a full-length human KHDRBS3 protein.The observed molecular weight of KHDRBS is about 55kd.
实验方案
| Product Specific Protocols | |
|---|---|
| IHC protocol for KHDRBS3 antibody 13563-1-AP | Download protocol | 
| WB protocol for KHDRBS3 antibody 13563-1-AP | Download protocol | 
| Standard Protocols | |
|---|---|
| Click here to view our Standard Protocols | 
发表文章
| Species | Application | Title | 
|---|---|---|
| Acta Neuropathol Transportin 1 accumulates specifically with FET proteins but no other transportin cargos in FTLD-FUS and is absent in FUS inclusions in ALS with FUS mutations. | ||
| PLoS Genet The tissue-specific RNA binding protein T-STAR controls regional splicing patterns of neurexin pre-mRNAs in the brain. | ||
| Am J Reprod Immunol Long non-coding RNA TPT1-AS1 inhibits ferroptosis in ovarian cancer by regulating GPX4 via CREB1 regulation | ||
| Cell Death Dis KHDRBS3 regulates the permeability of blood-tumor barrier via cDENND4C/miR-577 axis.
 | ||
| Life Sci KHDRBS3 facilitates self-renewal and temozolomide resistance of glioblastoma cell lines | ||
| Int J Nanomedicine Exosome-Delivered circFOXP1 Upregulates Autophagy and Promotes Hepatocellular Carcinoma Progression Through Its Encoded p196 Protein Targeting the KHDRBS3/ULK1 Axis | 







