验证数据展示
经过测试的应用
| Positive WB detected in | HEK-293 cells, HeLa cells, HT-29 cells, mouse brain tissue, NIH/3T3 cells, mouse embryo tissue, rat brain tissue |
| Positive IP detected in | HeLa cells |
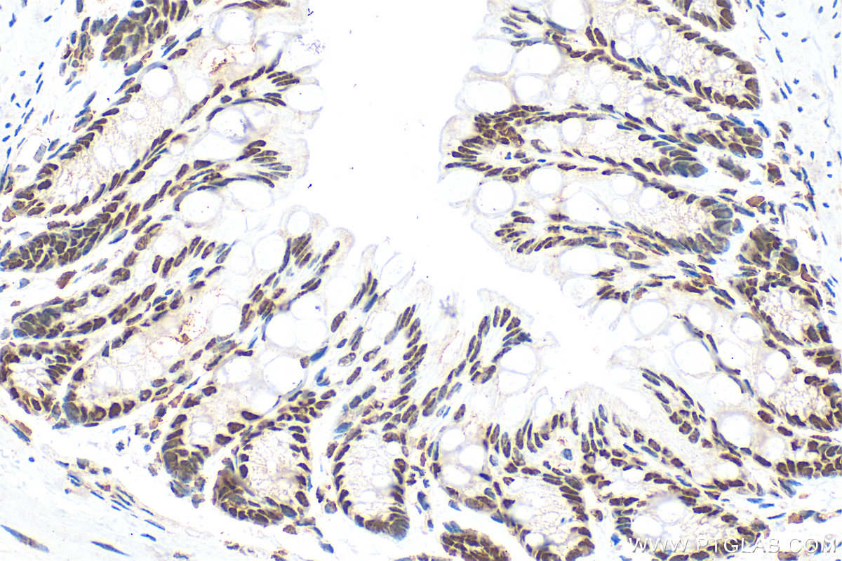
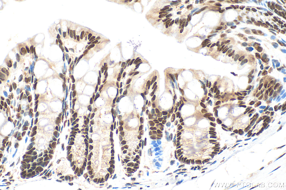
| Positive IHC detected in | human breast cancer tissue, mouse colon tissue Note: suggested antigen retrieval with TE buffer pH 9.0; (*) Alternatively, antigen retrieval may be performed with citrate buffer pH 6.0 |
| Positive IF/ICC detected in | HepG2 cells |
推荐稀释比
| 应用 | 推荐稀释比 |
|---|---|
| Western Blot (WB) | WB : 1:2000-1:10000 |
| Immunoprecipitation (IP) | IP : 0.5-4.0 ug for 1.0-3.0 mg of total protein lysate |
| Immunohistochemistry (IHC) | IHC : 1:20-1:200 |
| Immunofluorescence (IF)/ICC | IF/ICC : 1:50-1:500 |
| It is recommended that this reagent should be titrated in each testing system to obtain optimal results. | |
| Sample-dependent, Check data in validation data gallery. | |
产品信息
10222-1-AP targets Sam68 in WB, IHC, IF/ICC, IP, CoIP, RIP, ELISA applications and shows reactivity with human, mouse, rat samples.
| 经测试应用 | WB, IHC, IF/ICC, IP, ELISA Application Description |
| 文献引用应用 | WB, IHC, IP, CoIP, RIP |
| 经测试反应性 | human, mouse, rat |
| 文献引用反应性 | human, mouse |
| 免疫原 |
CatNo: Ag0235 Product name: Recombinant human Sam68 protein Source: e coli.-derived, PGEX-4T Tag: GST Domain: 201-442 aa of BC000717 Sequence: GSMRDKAKEEELRKGGDPKYAHLNMDLHVFIEVFGPPCEAYALMAHAMEEVKKFLVPDMMDDICQEQFLELSYLNGVPEPSRGRGVPVRGRGAAPPPPPVPRGRGVGPPRGALVRGTPVRGAITRGATVTRGVPPPPTVRGAPAPRARTAGIQRIPLPPPPAPETYEEYGYDDTYAEQSYEGYEGYYSQSQGDSEYYDYGHGEVQDSYEAYGQDDWNGTRPSLKAPPARPVKGAYREHPYGR 种属同源性预测 |
| 宿主/亚型 | Rabbit / IgG |
| 抗体类别 | Polyclonal |
| 产品类型 | Antibody |
| 全称 | KH domain containing, RNA binding, signal transduction associated 1 |
| 别名 | KHDRBS1, GAP-associated tyrosine phosphoprotein p62, KH domain-containing, RNA-binding, signal transduction-associated protein 1, KHDRBS 1, p21 Ras GTPase-activating protein-associated p62 |
| 计算分子量 | 48 kDa |
| 观测分子量 | 68 kDa |
| GenBank蛋白编号 | BC000717 |
| 基因名称 | Sam68 |
| Gene ID (NCBI) | 10657 |
| RRID | AB_2130292 |
| 偶联类型 | Unconjugated |
| 形式 | Liquid |
| 纯化方式 | Antigen affinity purification |
| UNIPROT ID | Q07666 |
| 储存缓冲液 | PBS with 0.02% sodium azide and 50% glycerol, pH 7.3. |
| 储存条件 | Store at -20°C. Stable for one year after shipment. Aliquoting is unnecessary for -20oC storage. |
背景介绍
KHDRBS1, also named as SAM68, p62and p68, belongs to the KHDRBS family. It is recruited and tyrosine phosphorylated by several receptor systems, for example the T-cell, leptin and INS receptors. Once phosphorylated, KHDRBS1 functions as an adapter protein in signal transduction cascades by binding to SH2 and SH3 domain-containing proteins. It represses CBP-dependent transcriptional activation apparently by competing with other nuclear factors for binding to CBP. KHDRBS1 also acts as a putative regulator of mRNA stability and/or translation rates and mediates mRNA nuclear export. KHDRBS1 has three isoforms with calculated MW of 44-48kd. For isoform with a calculated MW of 48.2 kD, it migrated as a 68kD protein on SDS-PAGE gels[PMID: 10564820]. This ia a rabbit polyclonal antibody raised against residues near the N terminus of human Sam68.
实验方案
| Product Specific Protocols | |
|---|---|
| IF protocol for Sam68 antibody 10222-1-AP | Download protocol |
| IHC protocol for Sam68 antibody 10222-1-AP | Download protocol |
| IP protocol for Sam68 antibody 10222-1-AP | Download protocol |
| WB protocol for Sam68 antibody 10222-1-AP | Download protocol |
| Standard Protocols | |
|---|---|
| Click here to view our Standard Protocols |
发表文章
| Species | Application | Title |
|---|---|---|
Acta Neuropathol Transportin 1 accumulates specifically with FET proteins but no other transportin cargos in FTLD-FUS and is absent in FUS inclusions in ALS with FUS mutations. | ||
Theranostics SAM68 promotes tumorigenesis in lung adenocarcinoma by regulating metabolic conversion via PKM alternative splicing. | ||
Mol Ther Nucleic Acids LRRC4 mediates the formation of circular RNA CD44 to inhibitGBM cell proliferation | ||
Reprod Fertil Dev Cold-induced RNA-binding protein (CIRBP) regulates the expression of Src-associated during mitosis of 68 kDa (Sam68) and extracellular signal-regulated kinases (ERK) during heat stress-induced testicular injury. |











