验证数据展示
经过测试的应用
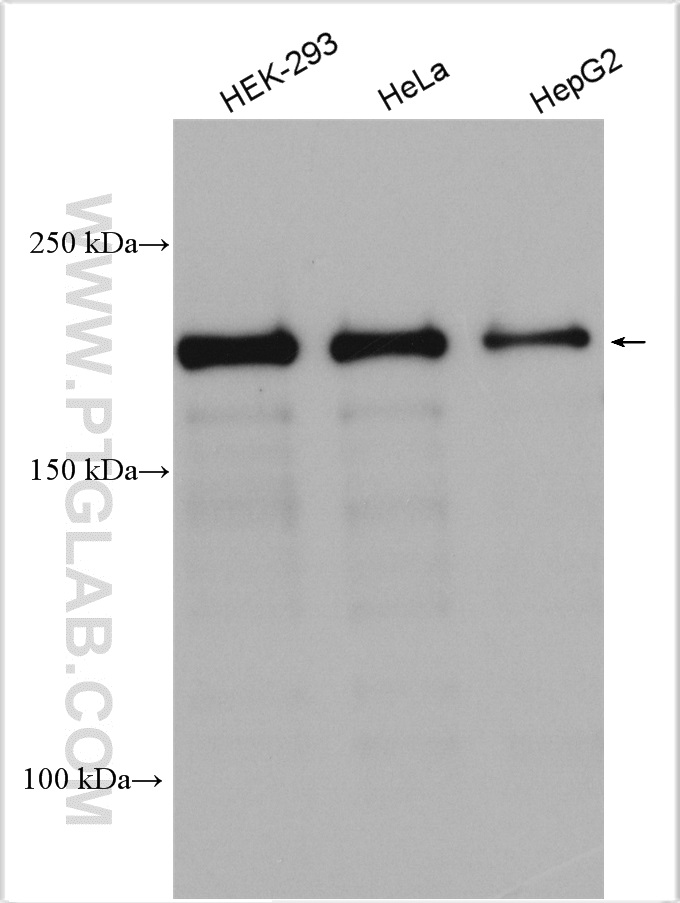
| Positive WB detected in | HEK-293 cells, human placenta tissue, HeLa cells, HepG2 cells |
| Positive IF/ICC detected in | A431 cells |
推荐稀释比
| 应用 | 推荐稀释比 |
|---|---|
| Western Blot (WB) | WB : 1:2000-1:12000 |
| Immunofluorescence (IF)/ICC | IF/ICC : 1:50-1:500 |
| It is recommended that this reagent should be titrated in each testing system to obtain optimal results. | |
| Sample-dependent, Check data in validation data gallery. | |
发表文章中的应用
| WB | See 2 publications below |
产品信息
19915-1-AP targets KDM3B in WB, IF/ICC, ELISA applications and shows reactivity with human, mouse samples.
| 经测试应用 | WB, IF/ICC, ELISA Application Description |
| 文献引用应用 | WB |
| 经测试反应性 | human, mouse |
| 文献引用反应性 | human, mouse |
| 免疫原 |
CatNo: Ag13795 Product name: Recombinant human KDM3B protein Source: e coli.-derived, PGEX-4T Tag: GST Domain: 1127-1382 aa of BC001202 Sequence: SRQNKSVLRPAVTNGMSQLPSINPSASSGNETTFSGGGGPAPVTTPEPDHVPKADSTDIRSEEPLKTDSSASNSNSELKAIRPPCPDTAPPSSALHWLADLATQKAKEETKEAGSLRSVLNKESHSPFGLDSFNSTAKVSPLTPKLFNSLLLGPTASNNKTEGSSLRDLLHSGPGKLPQTPLDTGIPFPPVFSTSSAGVKSKASLPNFLDHIIASVVENKKTSDASKRACNLTDTQKEVKEMVMGLNVLDPHTSHS 种属同源性预测 |
| 宿主/亚型 | Rabbit / IgG |
| 抗体类别 | Polyclonal |
| 产品类型 | Antibody |
| 全称 | lysine (K)-specific demethylase 3B |
| 别名 | JmjC domain-containing histone demethylation protein 2B, JHDM2B, EC:1.14.11.65, C5orf7, 5qNCA |
| 计算分子量 | 1761 aa, 192 kDa |
| 观测分子量 | 192 kDa, 85 kDa |
| GenBank蛋白编号 | BC001202 |
| 基因名称 | KDM3B |
| Gene ID (NCBI) | 51780 |
| RRID | AB_10693529 |
| 偶联类型 | Unconjugated |
| 形式 | Liquid |
| 纯化方式 | Antigen affinity purification |
| UNIPROT ID | Q7LBC6 |
| 储存缓冲液 | PBS with 0.02% sodium azide and 50% glycerol, pH 7.3. |
| 储存条件 | Store at -20°C. Stable for one year after shipment. Aliquoting is unnecessary for -20oC storage. |
实验方案
| Product Specific Protocols | |
|---|---|
| IF protocol for KDM3B antibody 19915-1-AP | Download protocol |
| WB protocol for KDM3B antibody 19915-1-AP | Download protocol |
| Standard Protocols | |
|---|---|
| Click here to view our Standard Protocols |
发表文章
| Species | Application | Title |
|---|---|---|
Nat Genet N6-Methyladenosine co-transcriptionally directs the demethylation of histone H3K9me2. | ||
eLife SRSF10 is essential for progenitor spermatogonia expansion by regulating alternative splicing | ||
Biomol Biomed KDM3A drives NSCLC proliferation and metastasis via H3K9 demethylation, EMT activation and MMP-9 upregulation. |


