验证数据展示
经过测试的应用
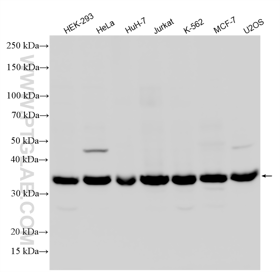
| Positive WB detected in | HEK-293 cells, HeLa cells, HuH-7 cells, Jurkat cells, K-562 cells, MCF-7 cells, U2OS cells |
| Positive IP detected in | HuH-7 cells |
| Positive IHC detected in | human breast cancer tissue, human intrahepatic cholangiocarcinoma tissue, human prostate hyperplasia tissue Note: suggested antigen retrieval with TE buffer pH 9.0; (*) Alternatively, antigen retrieval may be performed with citrate buffer pH 6.0 |
推荐稀释比
| 应用 | 推荐稀释比 |
|---|---|
| Western Blot (WB) | WB : 1:1000-1:4000 |
| Immunoprecipitation (IP) | IP : 0.5-4.0 ug for 1.0-3.0 mg of total protein lysate |
| Immunohistochemistry (IHC) | IHC : 1:200-1:800 |
| It is recommended that this reagent should be titrated in each testing system to obtain optimal results. | |
| Sample-dependent, Check data in validation data gallery. | |
发表文章中的应用
| KD/KO | See 3 publications below |
| WB | See 6 publications below |
产品信息
27279-1-AP targets KCTD10 in WB, IHC, IP, ELISA applications and shows reactivity with human samples.
| 经测试应用 | WB, IHC, IP, ELISA Application Description |
| 文献引用应用 | WB |
| 经测试反应性 | human |
| 文献引用反应性 | human, mouse, rat |
| 免疫原 |
CatNo: Ag25971 Product name: Recombinant human KCTD10 protein Source: e coli.-derived, PGEX-4T Tag: GST Domain: 253-313 aa of BC040062 Sequence: TLNILLYEAQDGRGPDNALLEATGGAAGRSHHLDEDEERERIERVRRIHIKRPDDRAHLHQ 种属同源性预测 |
| 宿主/亚型 | Rabbit / IgG |
| 抗体类别 | Polyclonal |
| 产品类型 | Antibody |
| 全称 | potassium channel tetramerisation domain containing 10 |
| 别名 | BTB/POZ domain-containing adapter for CUL3-mediated RhoA degradation protein 3, BTB/POZ domain-containing protein KCTD10, hBACURD3, MSTP028, Potassium channel tetramerization domain-containing protein 10 |
| 计算分子量 | 313 aa, 35 kDa |
| 观测分子量 | 35 kDa |
| GenBank蛋白编号 | BC040062 |
| 基因名称 | KCTD10 |
| Gene ID (NCBI) | 83892 |
| RRID | AB_2880827 |
| 偶联类型 | Unconjugated |
| 形式 | Liquid |
| 纯化方式 | Antigen affinity purification |
| UNIPROT ID | Q9H3F6 |
| 储存缓冲液 | PBS with 0.02% sodium azide and 50% glycerol, pH 7.3. |
| 储存条件 | Store at -20°C. Stable for one year after shipment. Aliquoting is unnecessary for -20oC storage. |
背景介绍
KCTD10 is a member of the polymerase delta-interacting protein 1 (PDIP1) gene family, which consists of 3 members, PDIP1, KCTD10 and TNFAIP1. KCTD10 is inducible by TNF-α, interacts with PCNA and the small subunit (p50) of DNA polymerase δ. Previous reports have shown that KCTD10 is essential for mammalian development. Further functional studies showed that KCTD10 interacts with proliferating cell nuclear antigen (PCNA) and plays an important role in DNA synthesis.
实验方案
| Product Specific Protocols | |
|---|---|
| IHC protocol for KCTD10 antibody 27279-1-AP | Download protocol |
| IP protocol for KCTD10 antibody 27279-1-AP | Download protocol |
| WB protocol for KCTD10 antibody 27279-1-AP | Download protocol |
| Standard Protocols | |
|---|---|
| Click here to view our Standard Protocols |
发表文章
| Species | Application | Title |
|---|---|---|
Nat Commun Regulation of TRIF-mediated innate immune response by K27-linked polyubiquitination and deubiquitination.
| ||
Front Cell Dev Biol Cullin3-TNFAIP1 E3 Ligase Controls Inflammatory Response in Hepatocellular Carcinoma Cells via Ubiquitination of RhoB.
| ||
Genet Res (Camb) Inhibition of KCTD10 Affects Diabetic Retinopathy Progression by Reducing VEGF and Affecting Angiogenesis
| ||
Front Immunol KCTD10 inhibits lung cancer metastasis and angiogenesis via ubiquitin-mediated β-catenin degradation. | ||
Nat Commun RHOA regulates mitochondria-ER contact sites through modulation of the VAPB/PTPIP51 tether. |







