验证数据展示
经过测试的应用
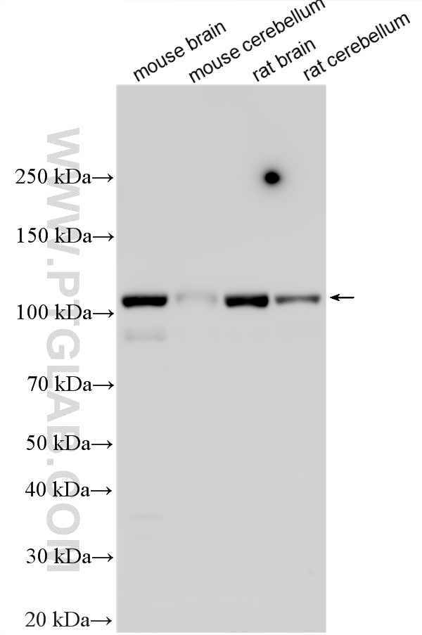
| Positive WB detected in | mouse brain tissue, pig heart tissue, mouse cerebellum tissue, rat brain tissue, rat cerebellum tissue |
| Positive IHC detected in | mouse brain tissue Note: suggested antigen retrieval with TE buffer pH 9.0; (*) Alternatively, antigen retrieval may be performed with citrate buffer pH 6.0 |
推荐稀释比
| 应用 | 推荐稀释比 |
|---|---|
| Western Blot (WB) | WB : 1:500-1:2000 |
| Immunohistochemistry (IHC) | IHC : 1:50-1:500 |
| It is recommended that this reagent should be titrated in each testing system to obtain optimal results. | |
| Sample-dependent, Check data in validation data gallery. | |
发表文章中的应用
| WB | See 2 publications below |
产品信息
19966-1-AP targets KCNQ3 in WB, IHC, ELISA applications and shows reactivity with human, mouse, rat, pig samples.
| 经测试应用 | WB, IHC, ELISA Application Description |
| 文献引用应用 | WB |
| 经测试反应性 | human, mouse, rat, pig |
| 文献引用反应性 | mouse |
| 免疫原 |
Peptide 种属同源性预测 |
| 宿主/亚型 | Rabbit / IgG |
| 抗体类别 | Polyclonal |
| 产品类型 | Antibody |
| 全称 | potassium voltage-gated channel, KQT-like subfamily, member 3 |
| 别名 | BFNC2, EBN2, KQT like 3, KQT-like 3, KV7.3 |
| 计算分子量 | 97 kDa |
| 观测分子量 | 90-100 kDa |
| GenBank蛋白编号 | NM_004519 |
| 基因名称 | KCNQ3 |
| Gene ID (NCBI) | 3786 |
| RRID | AB_2878632 |
| 偶联类型 | Unconjugated |
| 形式 | Liquid |
| 纯化方式 | Antigen affinity purification |
| UNIPROT ID | O43525 |
| 储存缓冲液 | PBS with 0.02% sodium azide and 50% glycerol, pH 7.3. |
| 储存条件 | Store at -20°C. Stable for one year after shipment. Aliquoting is unnecessary for -20oC storage. |
背景介绍
KCNQ3, also named as BFNC2, EBN2 and KV7.3, belongs to the potassium channel family and KQT subfamily. KCNQ3 is probably important in the regulation of neuronal excitability. Associates with KCNQ2 or KCNQ5, KCNQ3 forms a potassium channel with essentially identical properties to the channel underlying the native M-current, a slowly activating and deactivating potassium conductance which plays a critical role in determining the subthreshold electrical excitability of neurons as well as the responsiveness to synaptic inputs. Defects in KCNQ3 are the cause of benign neonatal epilepsy type 2 (EBN2). The antibody recognizes the C-term of KCNQ3.
实验方案
| Product Specific Protocols | |
|---|---|
| IHC protocol for KCNQ3 antibody 19966-1-AP | Download protocol |
| WB protocol for KCNQ3 antibody 19966-1-AP | Download protocol |
| Standard Protocols | |
|---|---|
| Click here to view our Standard Protocols |
发表文章
| Species | Application | Title |
|---|---|---|
Hippocampus Impacted spike frequency adaptation associated with reduction of KCNQ2/3 exacerbates seizure activity in temporal lobe epilepsy | ||
Genes (Basel) Differential Dorsolateral Prefrontal Cortex Proteomic Profiles of Suicide Victims with Mood Disorders. |



