验证数据展示
经过测试的应用
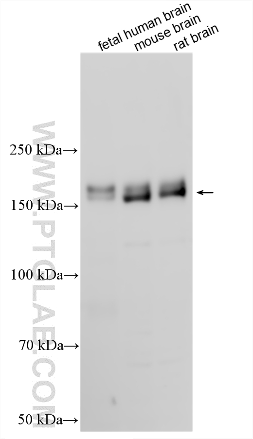
| Positive WB detected in | fetal human brain tissue, mouse brain tissue, rat brain tissue |
| Positive IHC detected in | rat brain tissue Note: suggested antigen retrieval with TE buffer pH 9.0; (*) Alternatively, antigen retrieval may be performed with citrate buffer pH 6.0 |
推荐稀释比
| 应用 | 推荐稀释比 |
|---|---|
| Western Blot (WB) | WB : 1:500-1:2000 |
| Immunohistochemistry (IHC) | IHC : 1:50-1:500 |
| It is recommended that this reagent should be titrated in each testing system to obtain optimal results. | |
| Sample-dependent, Check data in validation data gallery. | |
发表文章中的应用
| KD/KO | See 1 publications below |
| WB | See 3 publications below |
产品信息
25212-1-AP targets JIP3 in WB, IHC, ELISA applications and shows reactivity with human, mouse, rat samples.
| 经测试应用 | WB, IHC, ELISA Application Description |
| 文献引用应用 | WB |
| 经测试反应性 | human, mouse, rat |
| 文献引用反应性 | human, mouse |
| 免疫原 |
CatNo: Ag19561 Product name: Recombinant human JIP3 protein Source: e coli.-derived, PGEX-4T Tag: GST Domain: 171-248 aa of BC137123 Sequence: MIQTYVEHIERSKMQQVGGNSQTESSLPGRRKERPTSLNVFPLADGTVRAQIGGKLVPAGDHWHLSDLGQLQSSSSYQ 种属同源性预测 |
| 宿主/亚型 | Rabbit / IgG |
| 抗体类别 | Polyclonal |
| 产品类型 | Antibody |
| 全称 | mitogen-activated protein kinase 8 interacting protein 3 |
| 别名 | MAPK8IP3, C-Jun-amino-terminal kinase-interacting protein 3, JIP 3, JIP-3, JNK interacting protein 3 |
| 计算分子量 | 1336 aa, 147 kDa |
| 观测分子量 | 147 kDa |
| GenBank蛋白编号 | BC137123 |
| 基因名称 | JIP3 |
| Gene ID (NCBI) | 23162 |
| RRID | AB_2879962 |
| 偶联类型 | Unconjugated |
| 形式 | Liquid |
| 纯化方式 | Antigen affinity purification |
| UNIPROT ID | Q9UPT6 |
| 储存缓冲液 | PBS with 0.02% sodium azide and 50% glycerol, pH 7.3. |
| 储存条件 | Store at -20°C. Stable for one year after shipment. Aliquoting is unnecessary for -20oC storage. |
背景介绍
JIP3, also known as JNK-interacting protein 3 or JSAP1 (JNK/SAPK-associated protein 1), is a crucial scaffold protein primarily involved in organizing and regulating signal transduction pathways, especially the c-Jun N-terminal kinase (JNK) pathway.
实验方案
| Product Specific Protocols | |
|---|---|
| IHC protocol for JIP3 antibody 25212-1-AP | Download protocol |
| WB protocol for JIP3 antibody 25212-1-AP | Download protocol |
| Standard Protocols | |
|---|---|
| Click here to view our Standard Protocols |
发表文章
| Species | Application | Title |
|---|---|---|
Nat Commun SH3RF3 promotes breast cancer stem-like properties via JNK activation and PTX3 upregulation.
| ||
Saudi Pharm J iTRAQ-derived quantitative proteomics uncovers the neuroprotective property of bexarotene in a mice model of cerebral ischemia-reperfusion injury. | ||
JCI Insight A toxic gain of function variant in MAPK8IP3 provides novel insights into JIP3 cellular roles |


