验证数据展示
经过测试的应用
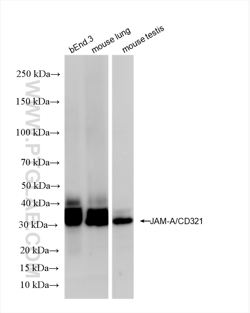
| Positive WB detected in | bEnd.3 cells, rat lung tissue, mouse lung tissue, mouse testis tissue, mouse liver tissue |
| Positive IF/ICC detected in | bEnd.3 cells |
推荐稀释比
| 应用 | 推荐稀释比 |
|---|---|
| Western Blot (WB) | WB : 1:1000-1:8000 |
| Immunofluorescence (IF)/ICC | IF/ICC : 1:400-1:1600 |
| It is recommended that this reagent should be titrated in each testing system to obtain optimal results. | |
| Sample-dependent, Check data in validation data gallery. | |
产品信息
86229-1-RR targets JAM-A/CD321 in WB, IF/ICC, ELISA applications and shows reactivity with mouse, rat samples.
| 经测试应用 | WB, IF/ICC, ELISA Application Description |
| 经测试反应性 | mouse, rat |
| 免疫原 |
CatNo: Eg3117 Product name: Recombinant Mouse JAM-A/Junctional Adhesion Molecule A protein (rFc Tag) (HPLC verified) Source: mammalian cells-derived, V37 Tag: C-rFc Domain: 27-238 aa of NM_172647.2 Sequence: KGSVYTAQSDVQVPENESIKLTCTYSGFSSPRVEWKFVQGSTTALVCYNSQITAPYADRVTFSSSGITFSSVTRKDNGEYTCMVSEEGGQNYGEVSIHLTVLVPPSKPTISVPSSVTIGNRAVLTCSEHDGSPPSEYSWFKDGISMLTADAKKTRAFMNSSFTIDPKSGDLIFDPVTAFDSGEYYCQAQNGYGTAMRSEAAHMDAVELNVGG 种属同源性预测 |
| 宿主/亚型 | Rabbit / IgG |
| 抗体类别 | Recombinant |
| 产品类型 | Antibody |
| 全称 | F11 receptor |
| 别名 | CD321, F11r, Jam1, JAM-1, JAM-A |
| 计算分子量 | 32 kDa |
| 观测分子量 | 33 kDa |
| GenBank蛋白编号 | NM_172647.2 |
| 基因名称 | F11r |
| Gene ID (NCBI) | 16456 |
| 偶联类型 | Unconjugated |
| 形式 | Liquid |
| 纯化方式 | Protein A purification |
| UNIPROT ID | O88792 |
| 储存缓冲液 | PBS with 0.02% sodium azide and 50% glycerol, pH 7.3. |
| 储存条件 | Store at -20°C. Stable for one year after shipment. Aliquoting is unnecessary for -20oC storage. |
背景介绍
Junctional Adhesion Molecule-A (JAM-A), also known as CD321 or F11R, is a transmembrane glycoprotein belonging to the immunoglobulin superfamily. It is primarily located in the tight junctions of epithelial and endothelial cells and is also expressed on circulating platelets and leukocytes (PMID: 34533648). Targeting F11R/JAM-A with monoclonal antibodies or peptide antagonists has shown promise in inhibiting tumor growth and metastasis in mouse models (PMID: 37563645).
实验方案
| Product Specific Protocols | |
|---|---|
| IF protocol for JAM-A/CD321 antibody 86229-1-RR | Download protocol |
| WB protocol for JAM-A/CD321 antibody 86229-1-RR | Download protocol |
| Standard Protocols | |
|---|---|
| Click here to view our Standard Protocols |


