验证数据展示
经过测试的应用
| Positive WB detected in | PMA, Ionomycin and Brefeldin A treated EL-4 cells |
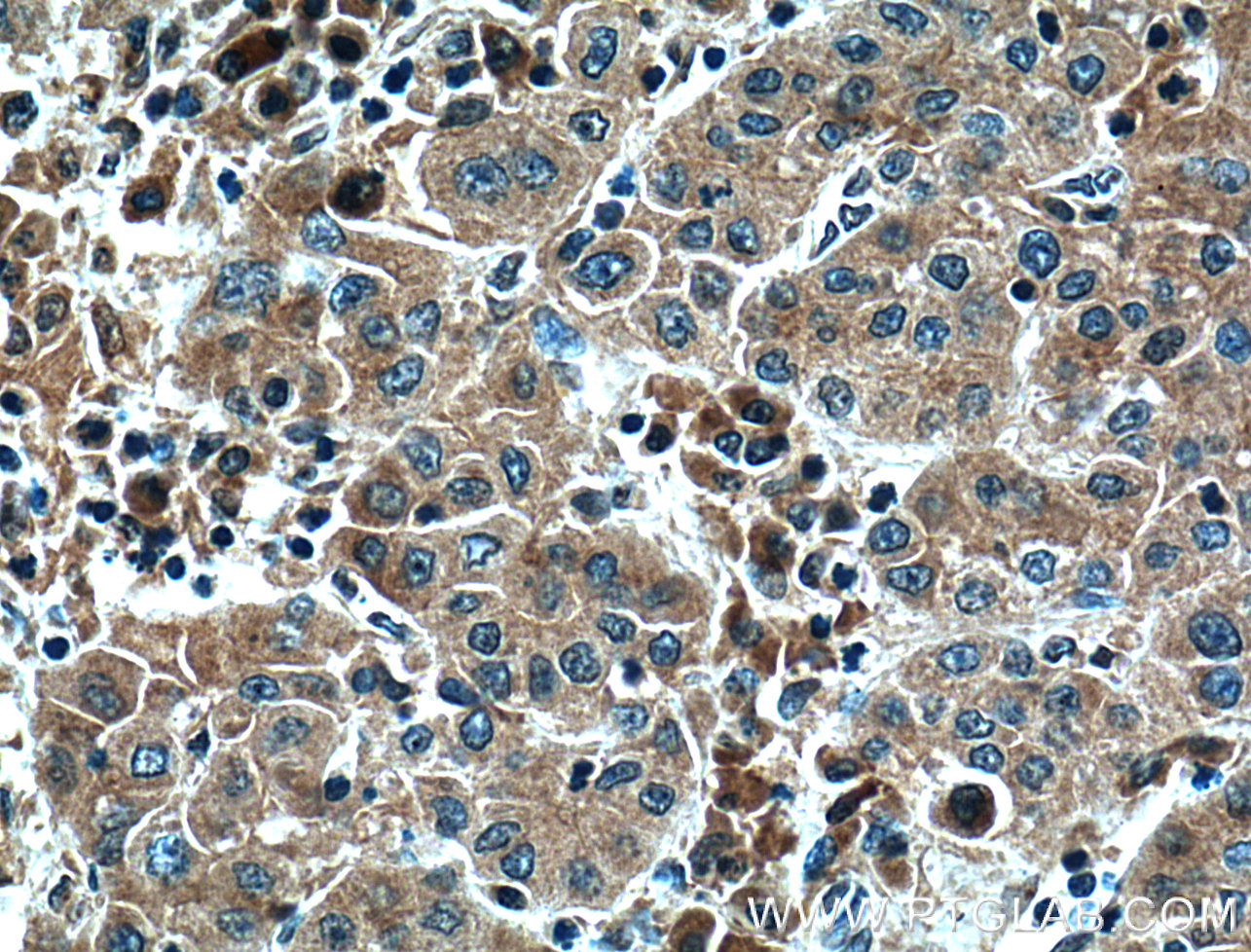
| Positive IHC detected in | human liver cancer tissue, human tonsillitis tissue Note: suggested antigen retrieval with TE buffer pH 9.0; (*) Alternatively, antigen retrieval may be performed with citrate buffer pH 6.0 |
推荐稀释比
| 应用 | 推荐稀释比 |
|---|---|
| Western Blot (WB) | WB : 1:500-1:2000 |
| Immunohistochemistry (IHC) | IHC : 1:50-1:500 |
| It is recommended that this reagent should be titrated in each testing system to obtain optimal results. | |
| Sample-dependent, Check data in validation data gallery. | |
产品信息
26156-1-AP targets IL-2 in WB, IHC, IF, ELISA, Cell treatment applications and shows reactivity with human, mouse samples.
| 经测试应用 | WB, IHC, ELISA Application Description |
| 文献引用应用 | WB, IHC, IF, Cell treatment |
| 经测试反应性 | human, mouse |
| 文献引用反应性 | human, mouse, rat |
| 免疫原 |
CatNo: Ag24079 Product name: Recombinant mouse IL-2 protein Source: e coli.-derived, PGEX-4T Tag: GST Domain: 21-169 aa of NM-008366 Sequence: APTSSSTSSSTAEAQQQQQQQQQQQQHLEQLLMDLQELLSRMENYRNLKLPRMLTFKFYLPKQATELKDLQCLEDELGPLRHVLDLTQSKSFQLEDAENFISNIRVTVVKLKGSDNTFECQFDDESATVVDFLRRWIAFCQSIISTSPQ 种属同源性预测 |
| 宿主/亚型 | Rabbit / IgG |
| 抗体类别 | Polyclonal |
| 产品类型 | Antibody |
| 全称 | interleukin 2 |
| 别名 | Il2, Il 2, interleukin 2, Interleukin-2, T-cell growth factor |
| 计算分子量 | 19 kDa |
| 观测分子量 | 19 kDa |
| GenBank蛋白编号 | NM-008366 |
| 基因名称 | IL-2 |
| Gene ID (NCBI) | 16183 |
| RRID | AB_2880407 |
| 偶联类型 | Unconjugated |
| 形式 | Liquid |
| 纯化方式 | Antigen affinity purification |
| UNIPROT ID | P04351 |
| 储存缓冲液 | PBS with 0.02% sodium azide and 50% glycerol, pH 7.3. |
| 储存条件 | Store at -20°C. Stable for one year after shipment. Aliquoting is unnecessary for -20oC storage. |
背景介绍
What is the calculated molecular weight of IL2?
19 kDa
Where is IL-2 produced?
IL-2 is primarily produced and secreted by CD4+ helper T cells in secondary lymphoid organs. CD8+ T cells, some B cells, and dendritic cells also produce IL-2.
What allows the protein to bind to its receptor?
The N-terminal 20 amino acids are essential for protein-receptor interaction.
What are the post-translational modifications of IL-2?
IL-2 may present glycosylation, yet the function of this modification has not been confirmed.
What is the role of IL-2?
IL-2 is a key immunoregulatory cytokine that promotes proliferation of helper T cells, upregulating its own secretion, while also increasing activity of regulatory T cells and providing negative feedback to its production and the immune response as a whole. IL-2 is also a growth factor for natural killer cells and an upregulator of B cell antibody expression and secretion.
What activates the IL-2 pathway?
Combined T cell antigen receptor and CD28 signals allow for maximum activation of the IL-2 pathway.
How does IL-2 expression change during an immune response?
During an immune response, CD4+ and CD8+ T cells will secrete increased amounts of IL-2 to be consumed by regulatory T cells.
How do the responses to strong and weak IL-2 signals differ?
Strong IL-2 levels promote antigen-specific T cells to differentiate into effector T cells, responding immediately to a stimulus or threat. Weak IL-2 signals, however, result in effector T cells to differentiate into helper or memory T cells.
What negatively regulates IL-2?
Immunoregulatory CD4+CD5+ T cells in inhibit IL-2 production by helper T cells.
(PMIDs: 22343569, 24376444, 15473953)
实验方案
| Product Specific Protocols | |
|---|---|
| IHC protocol for IL-2 antibody 26156-1-AP | Download protocol |
| WB protocol for IL-2 antibody 26156-1-AP | Download protocol |
| Standard Protocols | |
|---|---|
| Click here to view our Standard Protocols |
发表文章
| Species | Application | Title |
|---|---|---|
Nat Biotechnol Magnify is a universal molecular anchoring strategy for expansion microscopy | ||
Invest New Drugs A novel tetravalent bispecific antibody targeting programmed death 1 and tyrosine-protein kinase Met for treatment of gastric cancer. | ||
J Cancer IL-2 enhanced MHC class I expression in papillary thyroid cancer with Hashimoto's thyroiditis overcomes immune escape in vitro. | ||
Peptides Synthesis of potent antagonists of receptors for growth hormone-releasing hormone with antitumor and anti-inflammatory activity. | ||
Lipids Health Dis Arachidonic acid induces macrophage cell cycle arrest through the JNK signaling pathway. | ||
Lung Anti-inflammatory Properties of the Alpha-Melanocyte-Stimulating Hormone in Models of Granulomatous Inflammation. |



