验证数据展示
经过测试的应用
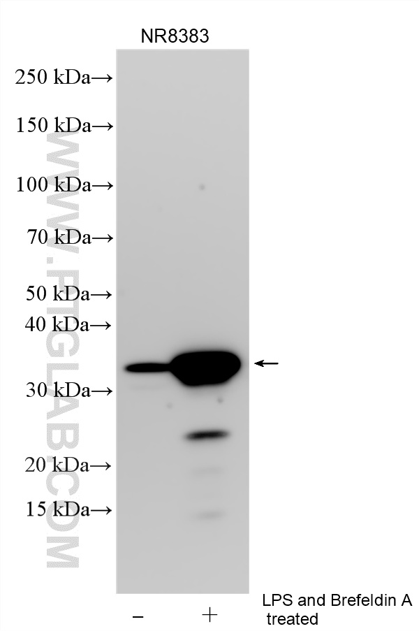
| Positive WB detected in | RAW 264.7 cells, LPS and Brefeldin A treated NR8383 cells, LPS and Brefeldin A treated THP-1 cells |
| Positive IF/ICC detected in | PMA, LPS and Brefeldin A treated THP-1 cells |
推荐稀释比
| 应用 | 推荐稀释比 |
|---|---|
| Western Blot (WB) | WB : 1:1000-1:6000 |
| Immunofluorescence (IF)/ICC | IF/ICC : 1:50-1:500 |
| It is recommended that this reagent should be titrated in each testing system to obtain optimal results. | |
| Sample-dependent, Check data in validation data gallery. | |
产品信息
26048-1-AP targets IL-1 beta in WB, IHC, IF/ICC, ELISA applications and shows reactivity with human, mouse, rat samples.
| 经测试应用 | WB, IF/ICC, ELISA Application Description |
| 文献引用应用 | WB, IHC, IF, ELISA |
| 经测试反应性 | human, mouse, rat |
| 文献引用反应性 | human, mouse, rat, rabbit, monkey, zebrafish |
| 免疫原 |
CatNo: Ag23461 Product name: Recombinant mouse IL-1B protein Source: e coli.-derived, PGEX-4T Tag: GST Domain: 118-269 aa of NM_008361 Sequence: VPIRQLHYRLRDEQQKSLVLSDPYELKALHLNGQNINQQVIFSMSFVQGEPSNDKIPVALGLKGKNLYLSCVMKDGTPTLQLESVDPKQYPKKKMEKRFVFNKIEVKSKVEFESAEFPNWYISTSQAEHKPVFLGNNSGQDIIDFTMESVSS 种属同源性预测 |
| 宿主/亚型 | Rabbit / IgG |
| 抗体类别 | Polyclonal |
| 产品类型 | Antibody |
| 全称 | interleukin 1 beta |
| 别名 | IL 1beta, Il1b, IL 1 beta, Il 1b, IL-1 beta,IL 1 beta,IL1beta |
| 计算分子量 | 31 kDa |
| 观测分子量 | 31 kDa |
| GenBank蛋白编号 | NM_008361 |
| 基因名称 | IL-1 beta |
| Gene ID (NCBI) | 16176 |
| RRID | AB_2880351 |
| 偶联类型 | Unconjugated |
| 形式 | Liquid |
| 纯化方式 | Antigen affinity purification |
| UNIPROT ID | P10749 |
| 储存缓冲液 | PBS with 0.02% sodium azide and 50% glycerol, pH 7.3. |
| 储存条件 | Store at -20°C. Stable for one year after shipment. Aliquoting is unnecessary for -20oC storage. |
背景介绍
Interleukin-1, produced mainly by blood monocytes, mediates the panoply of host reactions collectively known as acute phase response. It is identical to endogenous pyrogen. The multiple biologic activities that define IL1 are properties of a 15- to 18-kD protein that is derived from a 30- to 35-kD precursor. Interleukin 1β (IL-1B) is a member of the interleukin 1 cytokine family. It is a pro-inflammatory cytokine against infection, playing an important role in the pathogenesis of cancers. It signals through various adaptor proteins and kinases that lead to activation of numerous downstream targets.
实验方案
| Product Specific Protocols | |
|---|---|
| IF protocol for IL-1 beta antibody 26048-1-AP | Download protocol |
| WB protocol for IL-1 beta antibody 26048-1-AP | Download protocol |
| Standard Protocols | |
|---|---|
| Click here to view our Standard Protocols |
发表文章
| Species | Application | Title |
|---|---|---|
Signal Transduct Target Ther Metabolic reprogramming of proinflammatory macrophages by target delivered roburic acid effectively ameliorates rheumatoid arthritis symptoms | ||
Bioact Mater A bioactive composite hydrogel dressing that promotes healing of both acute and chronic diabetic skin wounds | ||
ACS Nano Hepatic Stellate Cell- and Liver Microbiome-Specific Delivery System for Dihydrotanshinone I to Ameliorate Liver Fibrosis | ||
Adv Sci (Weinh) Inflammatory Fibroblast-Like Synoviocyte-Derived Exosomes Aggravate Osteoarthritis via Enhancing Macrophage Glycolysis | ||
Acta Pharm Sin B Ligand-based substituent-anchoring design of selective receptor-interacting protein kinase 1 necroptosis inhibitors for ulcerative colitis therapy |





