验证数据展示
经过测试的应用
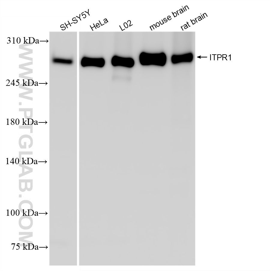
| Positive WB detected in | SH-SY5Y cells, HeLa cells, L02 cells, mouse brain tissue, rat brain tissue |
| Positive IHC detected in | mouse brain tissue Note: suggested antigen retrieval with TE buffer pH 9.0; (*) Alternatively, antigen retrieval may be performed with citrate buffer pH 6.0 |
推荐稀释比
| 应用 | 推荐稀释比 |
|---|---|
| Western Blot (WB) | WB : 1:5000-1:50000 |
| Immunohistochemistry (IHC) | IHC : 1:200-1:800 |
| It is recommended that this reagent should be titrated in each testing system to obtain optimal results. | |
| Sample-dependent, Check data in validation data gallery. | |
产品信息
85101-1-RR targets ITPR1-Specific in WB, IHC, ELISA applications and shows reactivity with human, mouse, rat samples.
| 经测试应用 | WB, IHC, ELISA Application Description |
| 经测试反应性 | human, mouse, rat |
| 免疫原 |
Peptide 种属同源性预测 |
| 宿主/亚型 | Rabbit / IgG |
| 抗体类别 | Recombinant |
| 产品类型 | Antibody |
| 全称 | inositol 1,4,5-triphosphate receptor, type 1 |
| 别名 | ITPR1, 242274B10, ACV, Inositol 1,4,5 trisphosphate receptor, Inositol 1,4,5-trisphosphate receptor type 1 |
| 计算分子量 | 314 kDa |
| 观测分子量 | 290-300 kDa |
| GenBank蛋白编号 | NM_001099952 |
| 基因名称 | ITPR1 |
| Gene ID (NCBI) | 3708 |
| 偶联类型 | Unconjugated |
| 形式 | Liquid |
| 纯化方式 | Protein A purfication |
| UNIPROT ID | Q14643 |
| 储存缓冲液 | PBS with 0.02% sodium azide and 50% glycerol, pH 7.3. |
| 储存条件 | Store at -20°C. Stable for one year after shipment. Aliquoting is unnecessary for -20oC storage. |
背景介绍
ITPR1, also named as INSP3R1 and IP3R, belongs to the InsP3 receptor family. It is a receptor for inositol 1,4,5-trisphosphate which is a second messenger that mediates the release of intracellular calcium. Defects in ITPR1 are the cause of spinocerebellar ataxia type 15 (SCA15). The antibody has no cross reaction with ITPR2 and ITPR3.
实验方案
| Product Specific Protocols | |
|---|---|
| IHC protocol for ITPR1-Specific antibody 85101-1-RR | Download protocol |
| WB protocol for ITPR1-Specific antibody 85101-1-RR | Download protocol |
| Standard Protocols | |
|---|---|
| Click here to view our Standard Protocols |


