验证数据展示
经过测试的应用
| Positive WB detected in | U-251 cells, fetal human brain tissue, U-251 cells unboiled |
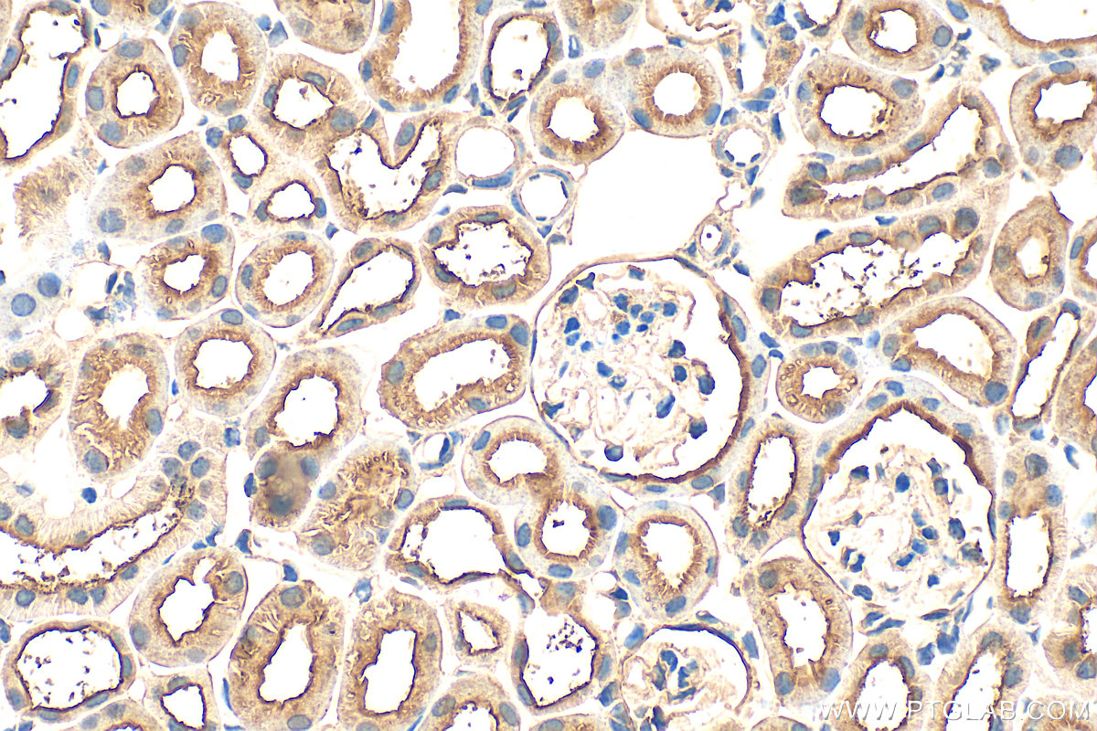
| Positive IHC detected in | mouse kidney tissue Note: suggested antigen retrieval with TE buffer pH 9.0; (*) Alternatively, antigen retrieval may be performed with citrate buffer pH 6.0 |
推荐稀释比
| 应用 | 推荐稀释比 |
|---|---|
| Western Blot (WB) | WB : 1:1000-1:4000 |
| Immunohistochemistry (IHC) | IHC : 1:50-1:500 |
| It is recommended that this reagent should be titrated in each testing system to obtain optimal results. | |
| Sample-dependent, Check data in validation data gallery. | |
产品信息
12193-1-AP targets ITM2B in WB, IHC, ELISA applications and shows reactivity with human samples.
| 经测试应用 | WB, IHC, ELISA Application Description |
| 经测试反应性 | human |
| 免疫原 |
CatNo: Ag2831 Product name: Recombinant human ITM2B protein Source: e coli.-derived, PGEX-4T Tag: GST Domain: 1-266 aa of BC016148 Sequence: MVKVTFNSALAQKETKKDEPKSGEEALIIPPDAVAVDCKDPDDVVPVGQRRAWCWCMCFGLAFMLAGVILGGAYLYKYFALQPDDVYYCGIKYIKDDVILNEPSADAPAALYQTIEENIKIFEEEEVEFISVPVPEFADSDPANIVHDFNKKLTAYLDLNLDKCYVIPLNTSIVMPPRNLLELLINIKAGTYLPQSYLIHEHMVITDRIENIDHLGFFIYRLCHDKETYKLQRRETIKGIQKREASNCFAIRHFENKFAVETLICS 种属同源性预测 |
| 宿主/亚型 | Rabbit / IgG |
| 抗体类别 | Polyclonal |
| 产品类型 | Antibody |
| 全称 | integral membrane protein 2B |
| 别名 | ABRI, Bri, BRI2, BRI2 intracellular domain, BRI2, membrane form |
| 计算分子量 | 266 aa, 30 kDa |
| 观测分子量 | 40 kDa |
| GenBank蛋白编号 | BC016148 |
| 基因名称 | ITM2B |
| Gene ID (NCBI) | 9445 |
| RRID | AB_3669134 |
| 偶联类型 | Unconjugated |
| 形式 | Liquid |
| 纯化方式 | Antigen affinity purification |
| UNIPROT ID | Q9Y287 |
| 储存缓冲液 | PBS with 0.02% sodium azide and 50% glycerol, pH 7.3. |
| 储存条件 | Store at -20°C. Stable for one year after shipment. Aliquoting is unnecessary for -20oC storage. |
背景介绍
ITM2B plays a regulatory role in the processing of the amyloid-beta A4 precursor protein (APP) and acts as an inhibitor of the amyloid-beta peptide aggregation and fibrils deposition. It plays a role in the induction of neurite outgrowth and functions as a protease inhibitor by blocking access of secretases to APP cleavage sites.
实验方案
| Product Specific Protocols | |
|---|---|
| IHC protocol for ITM2B antibody 12193-1-AP | Download protocol |
| WB protocol for ITM2B antibody 12193-1-AP | Download protocol |
| Standard Protocols | |
|---|---|
| Click here to view our Standard Protocols |


