验证数据展示
经过测试的应用
| Positive WB detected in | human spleen tissue, THP-1 cells, HL-60 cells, U-937 cells |
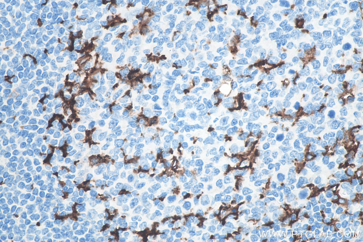
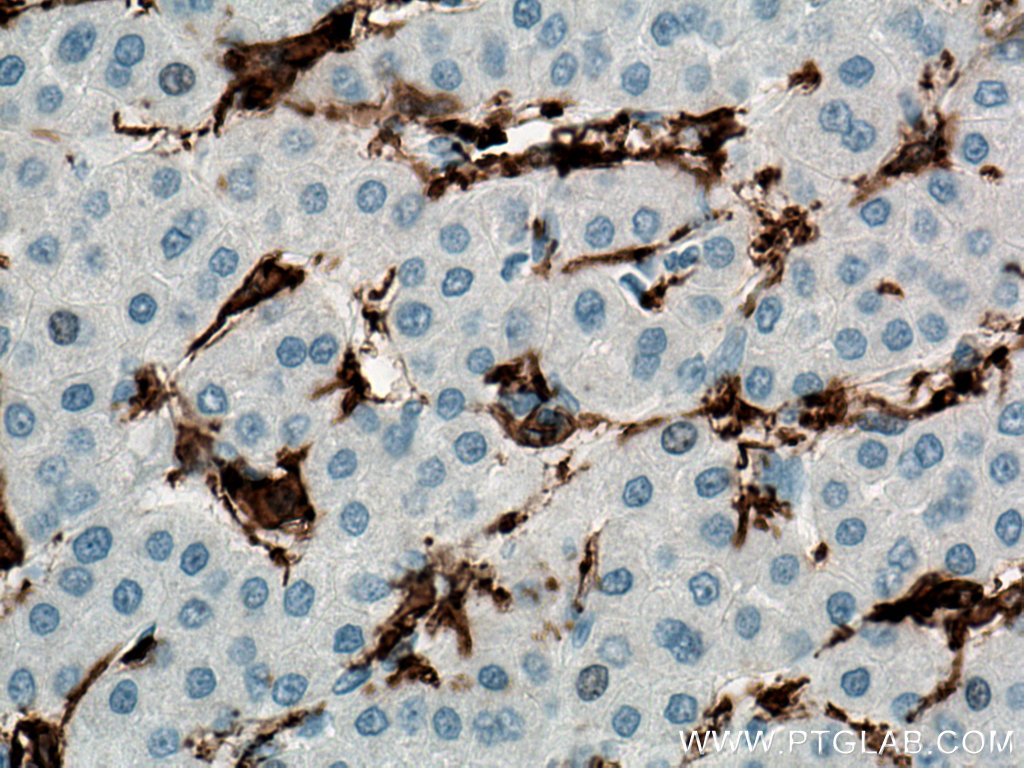
| Positive IHC detected in | human tonsillitis tissue, human lung cancer tissue, human breast cancer tissue, human liver cancer tissue, human appendicitis tissue Note: suggested antigen retrieval with TE buffer pH 9.0; (*) Alternatively, antigen retrieval may be performed with citrate buffer pH 6.0 |
| Positive IF-P detected in | human tonsillitis tissue, human appendicitis tissue |
推荐稀释比
| 应用 | 推荐稀释比 |
|---|---|
| Western Blot (WB) | WB : 1:500-1:2000 |
| Immunohistochemistry (IHC) | IHC : 1:10000-1:40000 |
| Immunofluorescence (IF)-P | IF-P : 1:500-1:2000 |
| It is recommended that this reagent should be titrated in each testing system to obtain optimal results. | |
| Sample-dependent, Check data in validation data gallery. | |
产品信息
60258-1-Ig targets CD11c in WB, IHC, IF-P, ELISA applications and shows reactivity with human samples.
| 经测试应用 | WB, IHC, IF-P, ELISA Application Description |
| 文献引用应用 | WB, IHC, IF |
| 经测试反应性 | human |
| 文献引用反应性 | human, pig |
| 免疫原 |
CatNo: Ag11350 Product name: Recombinant human CD11c/Integrin alpha X protein Source: e coli.-derived, PET28a Tag: 6*His Domain: 21-352 aa of BC038237 Sequence: NLDTEELTAFRVDSAGFGDSVVQYANSWVVVGAPQKITAANQTGGLYQCGYSTGACEPIGLQVPPEAVNMSLGLSLASTTSPSQLLACGPTVHHECGRNMYLTGLCFLLGPTQLTQRLPVSRQECPRQEQDIVFLIDGSGSISSRNFATMMNFVRAVISQFQRPSTQFSLMQFSNKFQTHFTFEEFRRSSNPLSLLASVHQLQGFTYTATAIQNVVHRLFHASYGARRDAAKILIVITDGKKEGDSLDYKDVIPMADAAGIIRYAIGVGLAFQNRNSWKELNDIASKPSQEHIFKVEDFDALKDIQNQLKEKIFAIEGTETTSSSSFELEMA 种属同源性预测 |
| 宿主/亚型 | Mouse / IgG2a |
| 抗体类别 | Monoclonal |
| 产品类型 | Antibody |
| 全称 | integrin, alpha X (complement component 3 receptor 4 subunit) |
| 别名 | 2F1C10, CD11 antigen-like family member C, Integrin alpha X, Integrin alpha-X, ITGAX |
| 计算分子量 | 1169 aa, 129 kDa |
| 观测分子量 | 145 kDa |
| GenBank蛋白编号 | BC038237 |
| 基因名称 | CD11c |
| Gene ID (NCBI) | 3687 |
| ENSEMBL Gene ID | ENSG00000140678 |
| RRID | AB_2881379 |
| 偶联类型 | Unconjugated |
| 形式 | Liquid |
| 纯化方式 | Protein A purification |
| UNIPROT ID | P20702 |
| 储存缓冲液 | PBS with 0.02% sodium azide and 50% glycerol, pH 7.3. |
| 储存条件 | Store at -20°C. Stable for one year after shipment. Aliquoting is unnecessary for -20oC storage. |
背景介绍
Integrins are cell adhesion receptors that are heterodimers composed of non-covalently associated α and β subunits. CD11c/Integrin alpha X is a 145-150 kDa type I transmembrane glycoprotein present on a variety of cells, including monocytes/macrophages, granulocytes, NK cells and dendritic cells. Integrin alpha X/beta 2 acts a receptor for fibrinogen and is important in monocyte adhesion and chemotaxis.
实验方案
| Product Specific Protocols | |
|---|---|
| IF protocol for CD11c antibody 60258-1-Ig | Download protocol |
| IHC protocol for CD11c antibody 60258-1-Ig | Download protocol |
| WB protocol for CD11c antibody 60258-1-Ig | Download protocol |
| Standard Protocols | |
|---|---|
| Click here to view our Standard Protocols |
发表文章
| Species | Application | Title |
|---|---|---|
Cell Tissue-resident FOLR2+ macrophages associate with CD8+ T cell infiltration in human breast cancer. | ||
Sci Immunol Initiator cell death event induced by SARS-CoV-2 in the human airway epithelium | ||
J Exp Med AIM2 regulates anti-tumor immunity and is a viable therapeutic target for melanoma. | ||
Diabetes Loss of IDO1 Expression From Human Pancreatic β-Cells Precedes Their Destruction During the Development of Type 1 Diabetes. | ||
J Invest Dermatol Lidocaine Ameliorates Psoriasis by Obstructing Pathogenic CGRP Signaling-Mediated Sensory Neuron-Dendritic Cell Communication. |





















