验证数据展示
经过测试的应用
| Positive WB detected in | A549 cells, HAP1 cells, HeLa cells, human placenta tissue, U2OS cells |
| Positive IP detected in | human placenta tissue |
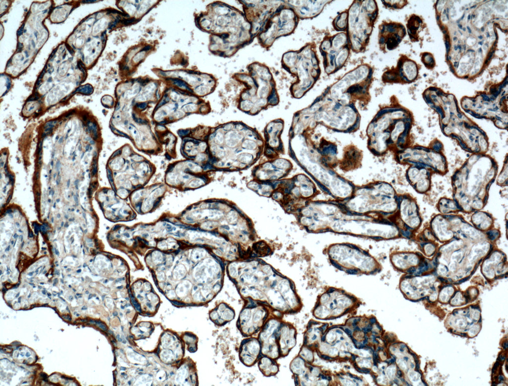
| Positive IHC detected in | human placenta tissue Note: suggested antigen retrieval with TE buffer pH 9.0; (*) Alternatively, antigen retrieval may be performed with citrate buffer pH 6.0 |
推荐稀释比
| 应用 | 推荐稀释比 |
|---|---|
| Western Blot (WB) | WB : 1:1000-1:8000 |
| Immunoprecipitation (IP) | IP : 0.5-4.0 ug for 1.0-3.0 mg of total protein lysate |
| Immunohistochemistry (IHC) | IHC : 1:50-1:500 |
| It is recommended that this reagent should be titrated in each testing system to obtain optimal results. | |
| Sample-dependent, Check data in validation data gallery. | |
发表文章中的应用
| KD/KO | See 1 publications below |
| WB | See 3 publications below |
| IHC | See 3 publications below |
产品信息
27224-1-AP targets Integrin alpha-5/CD49e in WB, IHC, IP, ELISA applications and shows reactivity with human samples.
| 经测试应用 | WB, IHC, IP, ELISA Application Description |
| 文献引用应用 | WB, IHC |
| 经测试反应性 | human |
| 文献引用反应性 | human |
| 免疫原 |
CatNo: Ag26098 Product name: Recombinant human ITGA5 protein Source: e coli.-derived, PGEX-4T Tag: GST Domain: 874-995 aa of NM_002205 Sequence: PINPKGLELDPEGSLHHQQKREAPSRSSASSGPQILKCPEAECFRLRCELGPLHQQESQSLQLHFRVWAKTFLQREHQPFSLQCEAVYKALKMPYRILPRQLPQKERQVATAVQWTKAEGSY 种属同源性预测 |
| 宿主/亚型 | Rabbit / IgG |
| 抗体类别 | Polyclonal |
| 产品类型 | Antibody |
| 全称 | integrin, alpha 5 (fibronectin receptor, alpha polypeptide) |
| 别名 | Integrin Alpha-5, ITGA5, CD49 antigen-like family member E, CD49e, FNRA |
| 计算分子量 | 115 kDa |
| 观测分子量 | 135-150 kDa |
| GenBank蛋白编号 | NM_002205 |
| 基因名称 | Integrin alpha 5 |
| Gene ID (NCBI) | 3678 |
| RRID | AB_2880807 |
| 偶联类型 | Unconjugated |
| 形式 | Liquid |
| 纯化方式 | Antigen affinity purification |
| UNIPROT ID | P08648 |
| 储存缓冲液 | PBS with 0.02% sodium azide and 50% glycerol, pH 7.3. |
| 储存条件 | Store at -20°C. Stable for one year after shipment. Aliquoting is unnecessary for -20oC storage. |
实验方案
| Product Specific Protocols | |
|---|---|
| IHC protocol for Integrin alpha-5/CD49e antibody 27224-1-AP | Download protocol |
| IP protocol for Integrin alpha-5/CD49e antibody 27224-1-AP | Download protocol |
| WB protocol for Integrin alpha-5/CD49e antibody 27224-1-AP | Download protocol |
| Standard Protocols | |
|---|---|
| Click here to view our Standard Protocols |
发表文章
| Species | Application | Title |
|---|---|---|
J Clin Transl Hepatol A Prognostic Nomogram for Hepatocellular Carcinoma Based on Wound Healing and Immune Checkpoint Genes | ||
Mol Cancer ZNF460-mediated circRPPH1 promotes TNBC progression through ITGA5-induced FAK/PI3K/AKT activation in a ceRNA manner | ||
Biomater Res Targeting Reprogrammed Cancer-Associated Fibroblasts with Engineered Mesenchymal Stem Cell Extracellular Vesicles for Pancreatic Cancer Treatment
| ||
Sci Rep ITGA5 induces mesenchymal transformation to promote gliomas progression via PI3K/AKT/mTORC1 signaling pathway | ||
Front Oncol Pan-cancer analysis of integrin alpha family and prognosis validation in head and neck squamous cell carcinoma. |









