验证数据展示
经过测试的应用
| Positive WB detected in | A549 cells, human heart tissue, human testis tissue, Calu-1 cells, PC-3 cells |
| Positive IP detected in | PC-3 cells |
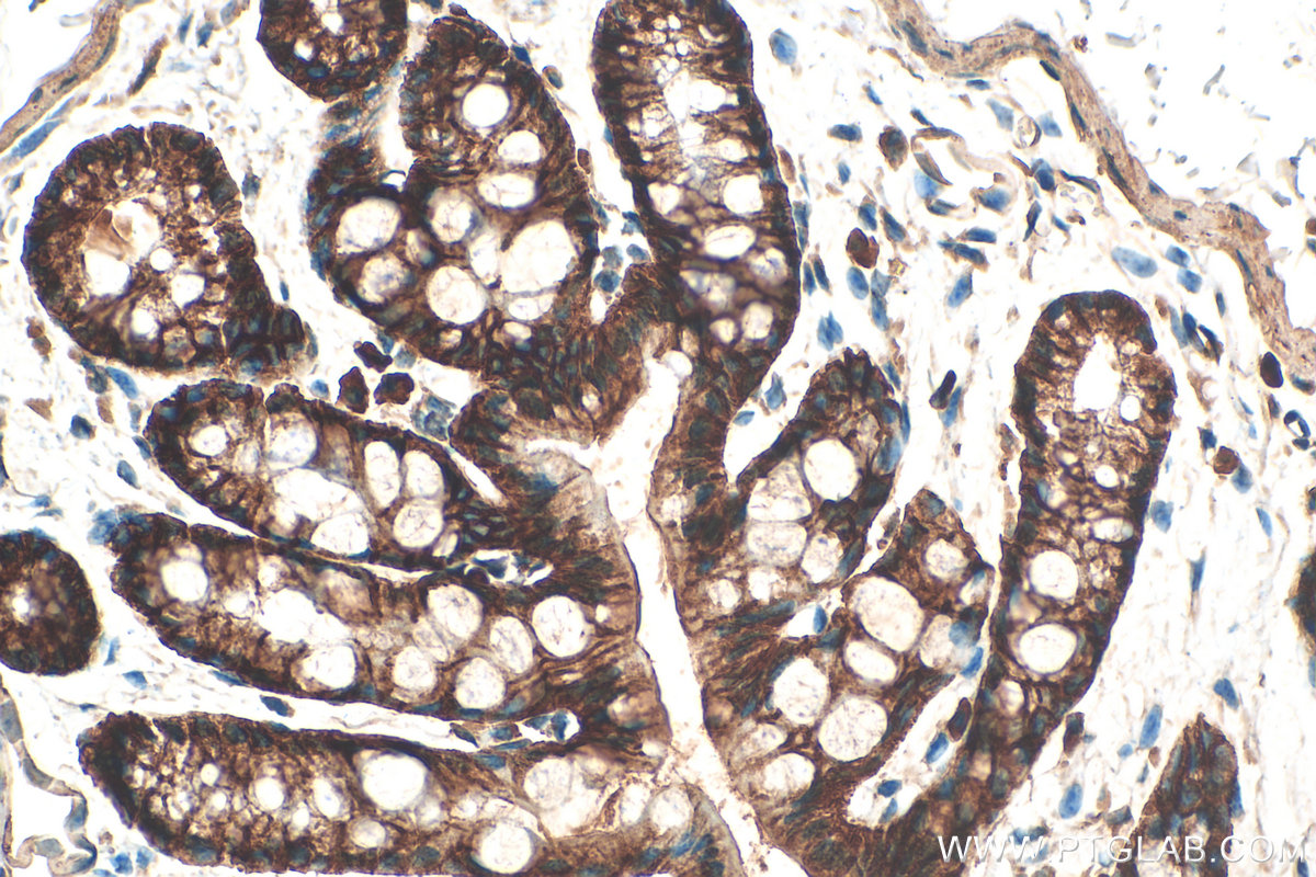
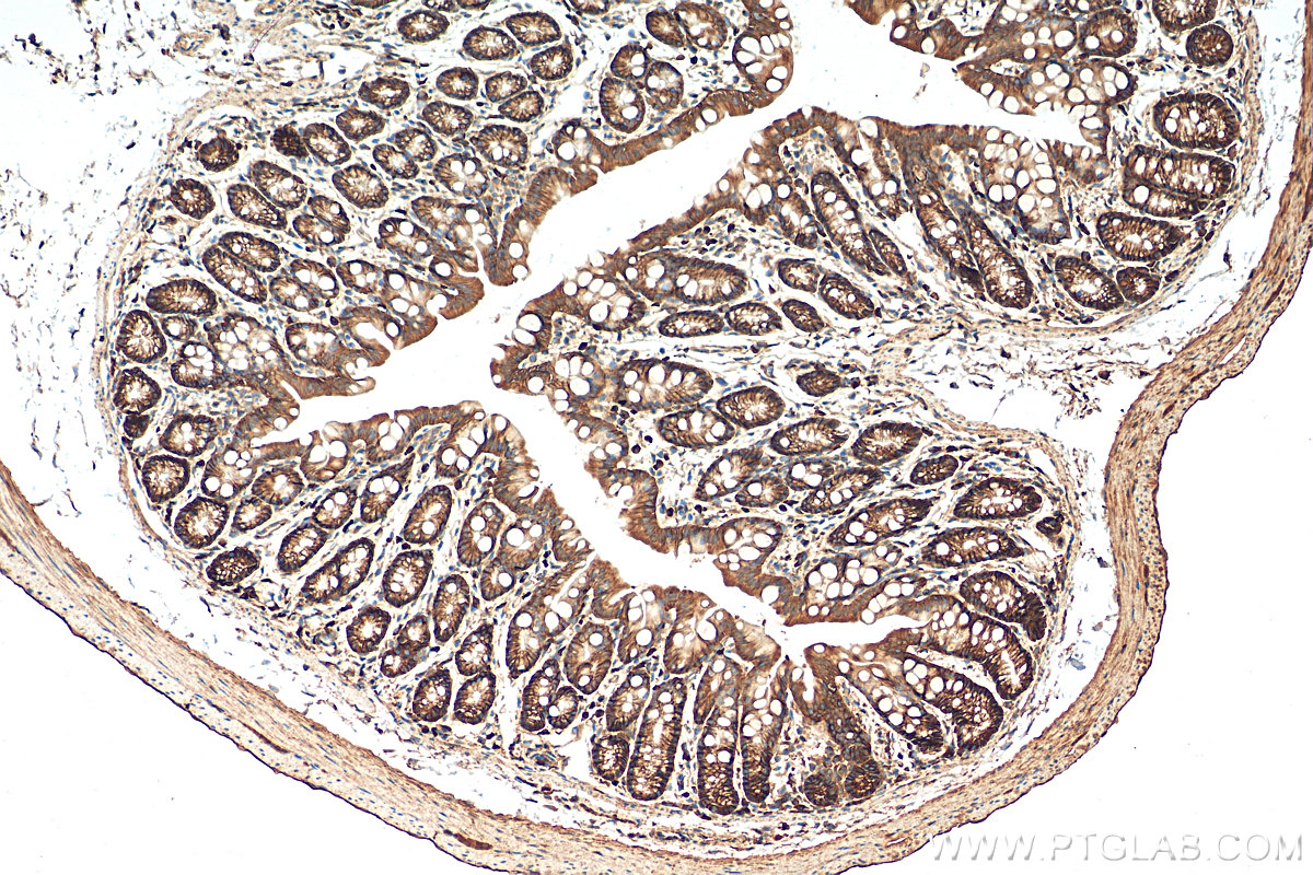
| Positive IHC detected in | mouse colon tissue Note: suggested antigen retrieval with TE buffer pH 9.0; (*) Alternatively, antigen retrieval may be performed with citrate buffer pH 6.0 |
| Positive IF/ICC detected in | A549 cells |
推荐稀释比
| 应用 | 推荐稀释比 |
|---|---|
| Western Blot (WB) | WB : 1:5000-1:50000 |
| Immunoprecipitation (IP) | IP : 0.5-4.0 ug for 1.0-3.0 mg of total protein lysate |
| Immunohistochemistry (IHC) | IHC : 1:500-1:2000 |
| Immunofluorescence (IF)/ICC | IF/ICC : 1:200-1:800 |
| It is recommended that this reagent should be titrated in each testing system to obtain optimal results. | |
| Sample-dependent, Check data in validation data gallery. | |
产品信息
21992-1-AP targets Integrin Alpha 3 in WB, IHC, IF/ICC, IP, CoIP, ELISA applications and shows reactivity with human, mouse samples.
| 经测试应用 | WB, IHC, IF/ICC, IP, ELISA Application Description |
| 文献引用应用 | WB, IHC, IF, IP, CoIP |
| 经测试反应性 | human, mouse |
| 文献引用反应性 | human, mouse |
| 免疫原 |
CatNo: Ag17293 Product name: Recombinant human Integrin alpha-3 protein Source: e coli.-derived, PGEX-4T Tag: GST Domain: 52-376 aa of BC150190 Sequence: FGYSVALHRQTERQQRYLLLAGAPRELAVPDGYTNRTGAVYLCPLTAHKDDCERMNITVKNDPGHHIIEDMWLGVTVASQGPAGRVLVCAHRYTQVLWSGSEDQRRMVGKCYVRGNDLELDSSDDWQTYHNEMCNSNTDYLETGMCQLGTSGGFTQNTVYFGAPGAYNWKGNSYMIQRKEWDLSEYSYKDPEDQGNLYIGYTMQVGSFILHPKNITIVTGAPRHRHMGAVFLLSQEAGGDLRRRQVLEGSQVGAYFGSAIALADLNNDGWQDLLVGAPYYFERKEEVGGAIYVFMNQAGTSFPAHPSLLLHGPSGSAFGLSVASI 种属同源性预测 |
| 宿主/亚型 | Rabbit / IgG |
| 抗体类别 | Polyclonal |
| 产品类型 | Antibody |
| 全称 | integrin, alpha 3 (antigen CD49C, alpha 3 subunit of VLA-3 receptor) |
| 别名 | ITGA3, CD49 antigen-like family member C, CD49C, FRP 2, FRP-2 |
| 计算分子量 | 1066 aa, 119 kDa |
| 观测分子量 | 130-140 kDa |
| GenBank蛋白编号 | BC150190 |
| 基因名称 | Integrin alpha 3 |
| Gene ID (NCBI) | 3675 |
| RRID | AB_10953527 |
| 偶联类型 | Unconjugated |
| 形式 | Liquid |
| 纯化方式 | Antigen affinity purification |
| UNIPROT ID | P26006 |
| 储存缓冲液 | PBS with 0.02% sodium azide and 50% glycerol, pH 7.3. |
| 储存条件 | Store at -20°C. Stable for one year after shipment. Aliquoting is unnecessary for -20oC storage. |
背景介绍
ITGA3, also named as MSK18, CD49c, GAPB3 and FRP-2, belongs to the integrin alpha chain family. It is a receptor for fibronectin, laminin, collagen, epiligrin, thrombospondin and CSPG4. ITGA3 may mediate with LGALS3 the stimulation by CSPG4 of endothelial cells migration. ITGA3 is highly concentrated in epithelial cells where it strongly adheres to Laminin-5 and Laminin-5 induced rapid adhesion can be blocked by antibodies against the alpha-3 integrin subunit. It can be cleaved into heavy chain(840aa) and light chain(176aa). This antibody can recognize the heavy chain.
实验方案
| Product Specific Protocols | |
|---|---|
| IF protocol for Integrin Alpha 3 antibody 21992-1-AP | Download protocol |
| IHC protocol for Integrin Alpha 3 antibody 21992-1-AP | Download protocol |
| IP protocol for Integrin Alpha 3 antibody 21992-1-AP | Download protocol |
| WB protocol for Integrin Alpha 3 antibody 21992-1-AP | Download protocol |
| Standard Protocols | |
|---|---|
| Click here to view our Standard Protocols |
发表文章
| Species | Application | Title |
|---|---|---|
Front Oncol High Expression of Integrin α3 Predicts Poor Prognosis and Promotes Tumor Metastasis and Angiogenesis by Activating the c-Src/Extracellular Signal-Regulated Protein Kinase/Focal Adhesion Kinase Signaling Pathway in Cervical Cancer. | ||
Int J Mol Med miR-1307-3p suppresses the chondrogenic differentiation of human adipose-derived stem cells by targeting BMPR2. | ||
Acta Biochim Biophys Sin (Shanghai) Exosomal integrin alpha 3 promotes epithelial ovarian cancer cell migration via the S100A7/p-ERK signaling pathway | ||
Adv Sci (Weinh) Nephronectin (NPNT) is a Crucial Determinant of Idiopathic Pulmonary Fibrosis: Modulating Cellular Senescence via the ITGA3/YAP1 Signaling Axis
| ||
Breast Cancer (Dove Med Press) CD151 Promotes Cancer Progression in Triple-Negative Breast Cancer by Inducing EMT through the MAPK Signaling Pathway | ||
Nat Commun Integrin α3β1 promotes vessel formation of glioblastoma-associated endothelial cells through calcium-mediated macropinocytosis and lysosomal exocytosis. |







