验证数据展示
经过测试的应用
| Positive WB detected in | mouse lung tissue, mouse spleen tissue, rat blood, rat spleen tissue, human blood tissue |
| Positive IP detected in | human plasma tissue |
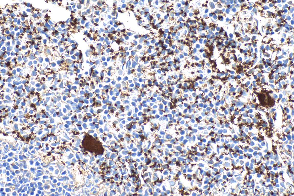
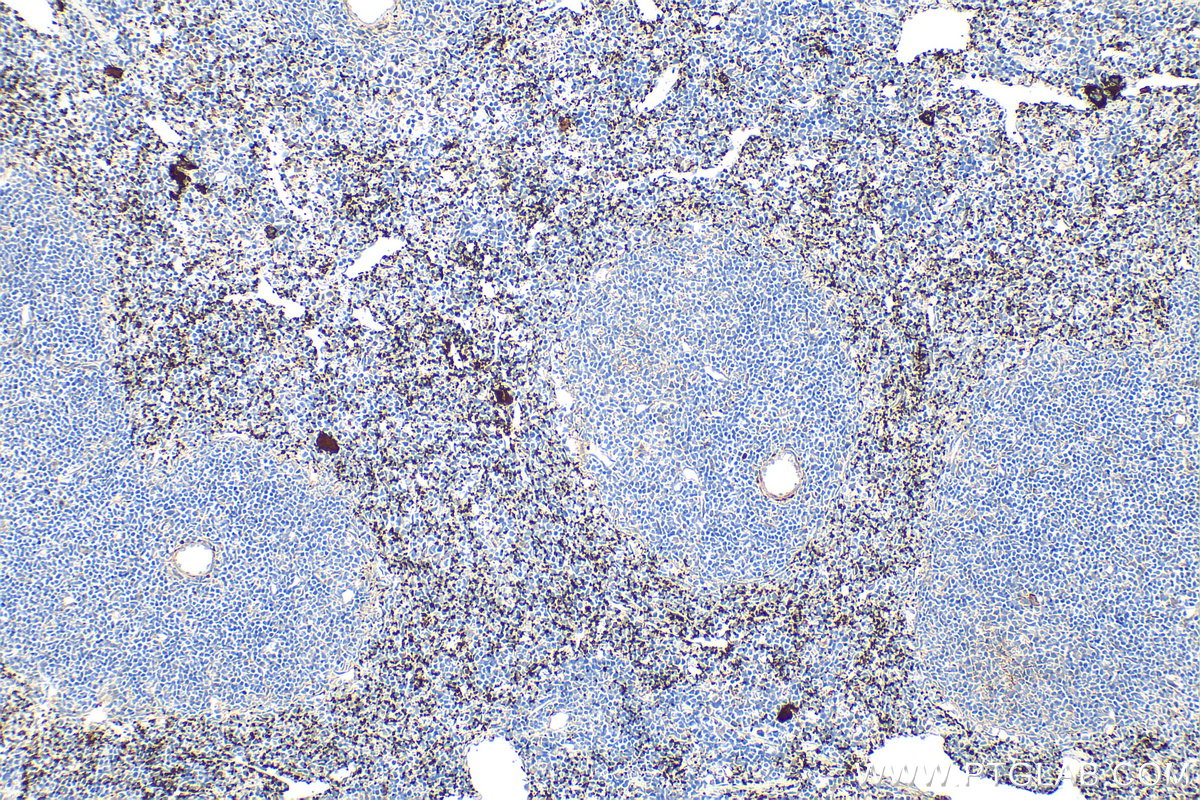
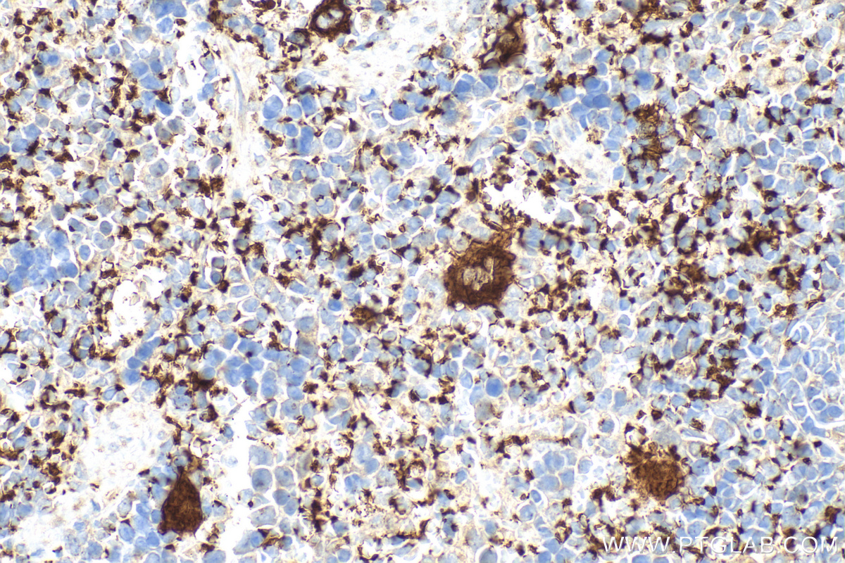
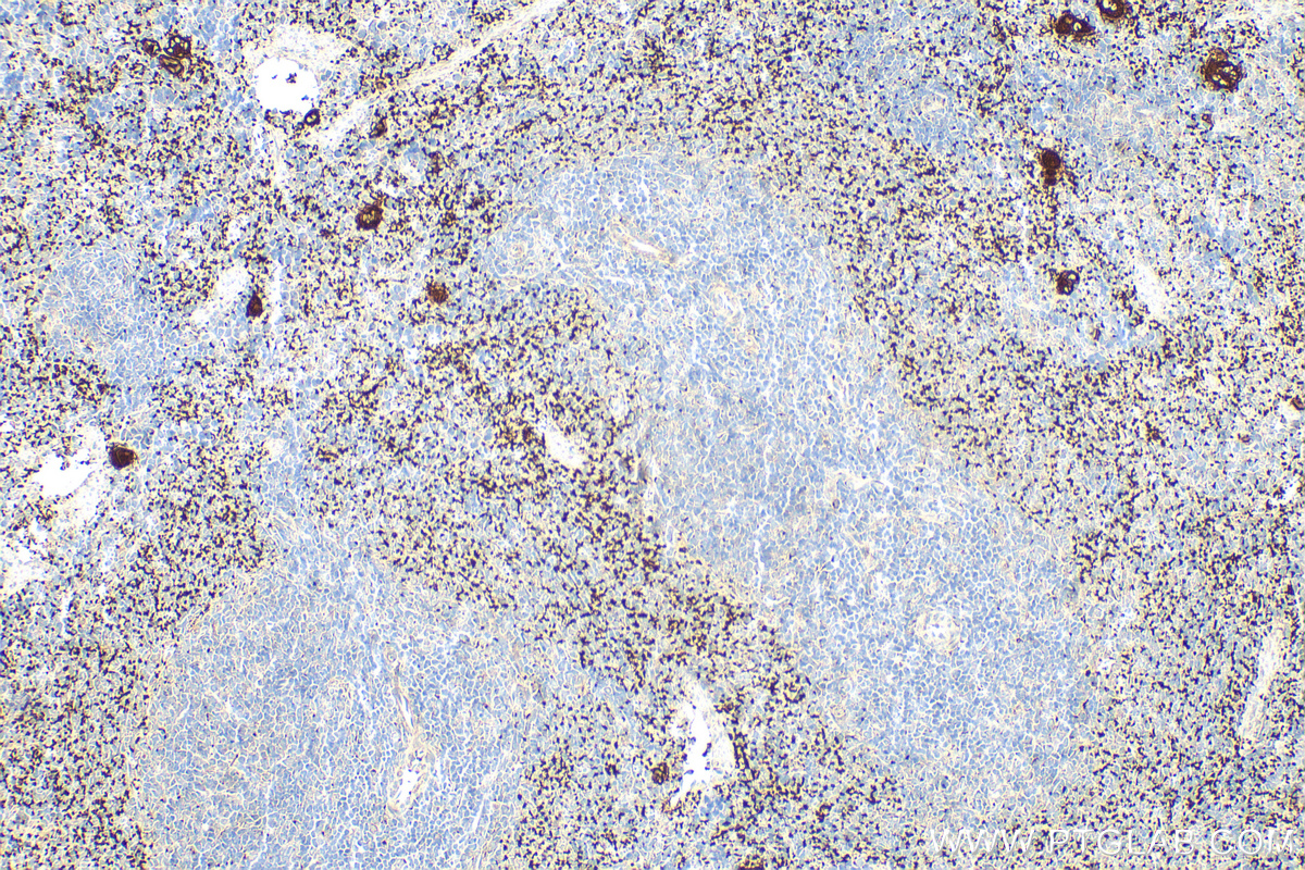
| Positive IHC detected in | mouse spleen tissue, human spleen tissue, rat spleen tissue Note: suggested antigen retrieval with TE buffer pH 9.0; (*) Alternatively, antigen retrieval may be performed with citrate buffer pH 6.0 |
推荐稀释比
| 应用 | 推荐稀释比 |
|---|---|
| Western Blot (WB) | WB : 1:2000-1:15000 |
| Immunoprecipitation (IP) | IP : 0.5-4.0 ug for 1.0-3.0 mg of total protein lysate |
| Immunohistochemistry (IHC) | IHC : 1:500-1:2000 |
| It is recommended that this reagent should be titrated in each testing system to obtain optimal results. | |
| Sample-dependent, Check data in validation data gallery. | |
产品信息
24552-1-AP targets CD41 in WB, IHC, IF, IP, ELISA applications and shows reactivity with human, mouse, rat samples.
| 经测试应用 | WB, IHC, IP, ELISA Application Description |
| 文献引用应用 | WB, IHC, IF |
| 经测试反应性 | human, mouse, rat |
| 文献引用反应性 | human, mouse, rat, pig |
| 免疫原 |
CatNo: Ag19459 Product name: Recombinant human CD41/Integrin alpha 2b protein Source: e coli.-derived, PGEX-4T Tag: GST Domain: 678-894 aa of BC126442 Sequence: AELAVHLPQGAHYMRALSNVEGFERLICNQKKENETRVVLCELGNPMKKNAQIGIAMLVSVGNLEEAGESVSFQLQIRSKNSQNPNSKIVLLDVPVRAEAQVELRGNSFPASLVVAAEEGEREQNSLDSWGPKVEHTYELHNNGPGTVNGLHLSIHLPGQSQPSDLLYILDIQPQGGLQCFPQPPVNPLKVDWGLPIPSPSPIHPAHHKRDRRQIFL 种属同源性预测 |
| 宿主/亚型 | Rabbit / IgG |
| 抗体类别 | Polyclonal |
| 产品类型 | Antibody |
| 全称 | integrin, alpha 2b (platelet glycoprotein IIb of IIb/IIIa complex, antigen CD41) |
| 别名 | CD41a, CD41B, GP2B, GPalpha IIb, GPIIb |
| 计算分子量 | 1039 aa, 113 kDa |
| 观测分子量 | 110-125 kDa |
| GenBank蛋白编号 | BC126442 |
| 基因名称 | CD41 |
| Gene ID (NCBI) | 3674 |
| RRID | AB_2879604 |
| 偶联类型 | Unconjugated |
| 形式 | Liquid |
| 纯化方式 | Antigen affinity purification |
| UNIPROT ID | P08514 |
| 储存缓冲液 | PBS with 0.02% sodium azide and 50% glycerol, pH 7.3. |
| 储存条件 | Store at -20°C. Stable for one year after shipment. Aliquoting is unnecessary for -20oC storage. |
背景介绍
The integrins are a superfamily of cell adhesion receptors that bind to extracellular matrix ligands, cell-surface ligands, and soluble ligands (PMID: 17543136). They are transmembrane αβ heterodimers and at least 24 distinct integrin heterodimers are formed by the combination of 18 α and eight β known subunits (PMID: 17543136; 20029421). In addition to mediating cell adhesion, integrins also play important roles in modulating signal transduction pathways that control cellular responses including migration, proliferation, differentiation, and apoptosis (PMID: 19118207). Integrin alpha-IIb (ITGA2B, CD41) is expressed on platelets, megakaryocytes and some hematopoietic progenitor cells (PMID: 11934866). This protein undergoes post-translational cleavage to yield disulfide linked light beta (25 kDa) and heavy alpha (125 kDa) chains, which join with integrin beta3 (CD61) to form a receptor for fibronectin, fibrinogen, plasminogen, prothrombin, thrombospondin and vitronectin. CD41/CD61 is crucial for platelet aggregation through binding of soluble fibrinogen.
实验方案
| Product Specific Protocols | |
|---|---|
| IHC protocol for CD41 antibody 24552-1-AP | Download protocol |
| IP protocol for CD41 antibody 24552-1-AP | Download protocol |
| WB protocol for CD41 antibody 24552-1-AP | Download protocol |
| Standard Protocols | |
|---|---|
| Click here to view our Standard Protocols |
发表文章
| Species | Application | Title |
|---|---|---|
Theranostics Platelets promote CRC by activating the C5a/C5aR1 axis via PSGL-1/JNK/STAT1 signaling in tumor-associated macrophages | ||
Theranostics Platelets camouflaged nanovehicle improved bladder cancer immunotherapy by triggering pyroptosis | ||
J Thromb Haemost SINE-VNTR-Alu retrotransposon insertion as a novel mutational event underlying Glanzmann thrombasthenia | ||
Theranostics Aurka loss in CD19+ B cells promotes megakaryocytopoiesis via IL-6/STAT3 signaling-mediated thrombopoietin production. |









