验证数据展示
产品信息
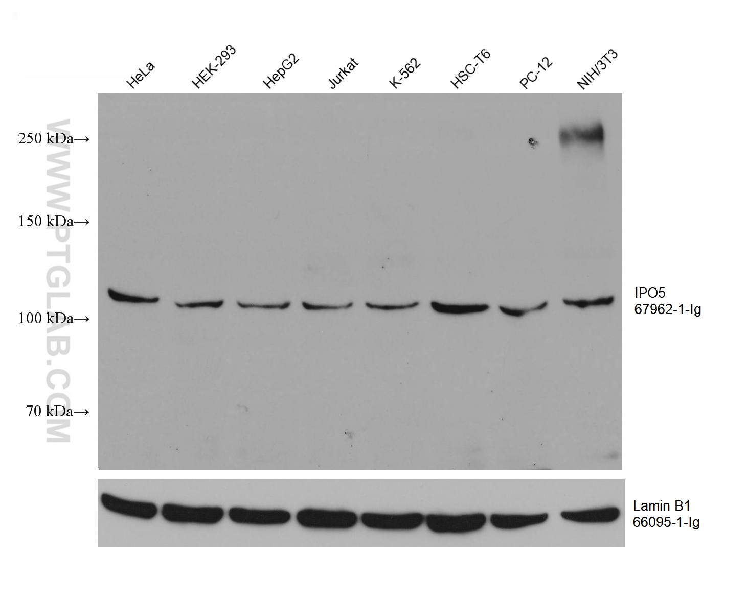
67962-1-PBS targets IPO5 in WB, IHC, IF/ICC, Indirect ELISA applications and shows reactivity with human, mouse, rat samples.
| 经测试应用 | WB, IHC, IF/ICC, Indirect ELISA Application Description |
| 经测试反应性 | human, mouse, rat |
| 免疫原 |
CatNo: Ag30955 Product name: Recombinant human IPO5 protein Source: e coli.-derived, PET28a Tag: 6*His Domain: 22-150 aa of BC001497 Sequence: DNVVRKQAEETYENIPGQSKITFLLQAIRNTTAAEEARQMAAVLLRRLLSSAFDEVYPALPSDVQTAIKSELLMIIQMETQSSMRKKVCDIAAELARNLIDEDGNNQWPEGLKFLFDSVSSQNVGLREA 种属同源性预测 |
| 宿主/亚型 | Mouse / IgG1 |
| 抗体类别 | Monoclonal |
| 产品类型 | Antibody |
| 全称 | importin 5 |
| 别名 | 1E2B9, IMB3, Imp5, importin 5, Importin subunit beta 3 |
| 观测分子量 | 124 kDa |
| GenBank蛋白编号 | BC001497 |
| 基因名称 | IPO5 |
| Gene ID (NCBI) | 3843 |
| RRID | AB_2918713 |
| 偶联类型 | Unconjugated |
| 形式 | Liquid |
| 纯化方式 | Protein A purification |
| UNIPROT ID | O00410 |
| 储存缓冲液 | PBS only, pH 7.3. |
| 储存条件 | Store at -80°C. The product is shipped with ice packs. Upon receipt, store it immediately at -80°C |
背景介绍
IPO5 is a member of the importin beta family. Structurally, the protein adopts the shape of a right-hand solenoid and is composed of 24 HEAT repeats. IPO5 facilitates cytoplasmic polyadenylation element-binding protein CPEB3 translocation by binding to the RRM1 motif of CPEB3 in neurons. NMDAR signaling increases RanBP1 expression and reduces the level of cytoplasmic GTP-bound Ran. These changes enhance CPEB3-IPO5 interaction, which consequently accelerates the nuclear import of CPEB3 and promotes its nuclear function.


