验证数据展示
经过测试的应用
| Positive WB detected in | mouse liver tissue, mouse heart tissue, mouse skeletal muscle tissue |
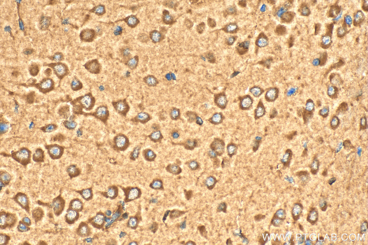
| Positive IHC detected in | mouse brain tissue Note: suggested antigen retrieval with TE buffer pH 9.0; (*) Alternatively, antigen retrieval may be performed with citrate buffer pH 6.0 |
推荐稀释比
| 应用 | 推荐稀释比 |
|---|---|
| Western Blot (WB) | WB : 1:500-1:2000 |
| Immunohistochemistry (IHC) | IHC : 1:50-1:500 |
| It is recommended that this reagent should be titrated in each testing system to obtain optimal results. | |
| Sample-dependent, Check data in validation data gallery. | |
产品信息
24914-1-AP targets INTU in WB, IHC, ELISA applications and shows reactivity with human, mouse samples.
| 经测试应用 | WB, IHC, ELISA Application Description |
| 经测试反应性 | human, mouse |
| 免疫原 |
CatNo: Ag19313 Product name: Recombinant human INTU protein Source: e coli.-derived, PGEX-4T Tag: GST Domain: 1-354 aa of BC130611 Sequence: MASVASCDSRPSSDELPGDPSSQEEDEDYDFEDRVSDSGSYSSASSDYDDLEPEWLDSVQKNGELFYLELSEDEEESLLPETPTVNHVRFSENEIIIEDDYKERKKYEPKLKQFTKILRRKRLLPKRCNKKNSNDNGPVSILKHQSNQKTGVIVQQRYKDVNVYVNPKKLTVIKAKEQLKLLEVLVGIIHQTKWSWRRTGKQGDGERLVVHGLLPGGSAMKSGQVLIGDVLVAVNDVDVTTENIERVLSCIPGPMQVKLTFENAYDVKRETSHPRQKKTQSNTSDLVKLLWGEEVEGIQQSGLNTPHIIMYLTLQLDSETSKEEQEILYHYPMSEASQKLKSVRGIFLTLCDML 种属同源性预测 |
| 宿主/亚型 | Rabbit / IgG |
| 抗体类别 | Polyclonal |
| 产品类型 | Antibody |
| 全称 | inturned planar cell polarity effector homolog (Drosophila) |
| 别名 | CPLANE4, INT, KIAA1284, OFD17, PDZ domain-containing protein 6 |
| 计算分子量 | 942 aa, 106 kDa |
| 观测分子量 | 80 kDa |
| GenBank蛋白编号 | BC130611 |
| 基因名称 | INTU |
| Gene ID (NCBI) | 27152 |
| RRID | AB_2879794 |
| 偶联类型 | Unconjugated |
| 形式 | Liquid |
| 纯化方式 | Antigen affinity purification |
| UNIPROT ID | Q9ULD6 |
| 储存缓冲液 | PBS with 0.02% sodium azide and 50% glycerol, pH 7.3. |
| 储存条件 | Store at -20°C. Stable for one year after shipment. Aliquoting is unnecessary for -20oC storage. |
背景介绍
INTU also named as KIAA1284, PDZD6, and PDZK6 is a 942 amino-acid protein, which belongs to the inturned family. INTU contains a PDZ domain and localizes in cytoplasm. Intu, a tissue-specific PCP effector gene, play a role in the context of skin and hair follicle development. Intu is expressed in both epidermal and dermal cells of the skin.
实验方案
| Product Specific Protocols | |
|---|---|
| IHC protocol for INTU antibody 24914-1-AP | Download protocol |
| WB protocol for INTU antibody 24914-1-AP | Download protocol |
| Standard Protocols | |
|---|---|
| Click here to view our Standard Protocols |




