验证数据展示
经过测试的应用
| Positive WB detected in | HeLa cells, human brain tissue, NIH/3T3 cells, SKOV-3 cells |
| Positive IP detected in | HeLa cells |
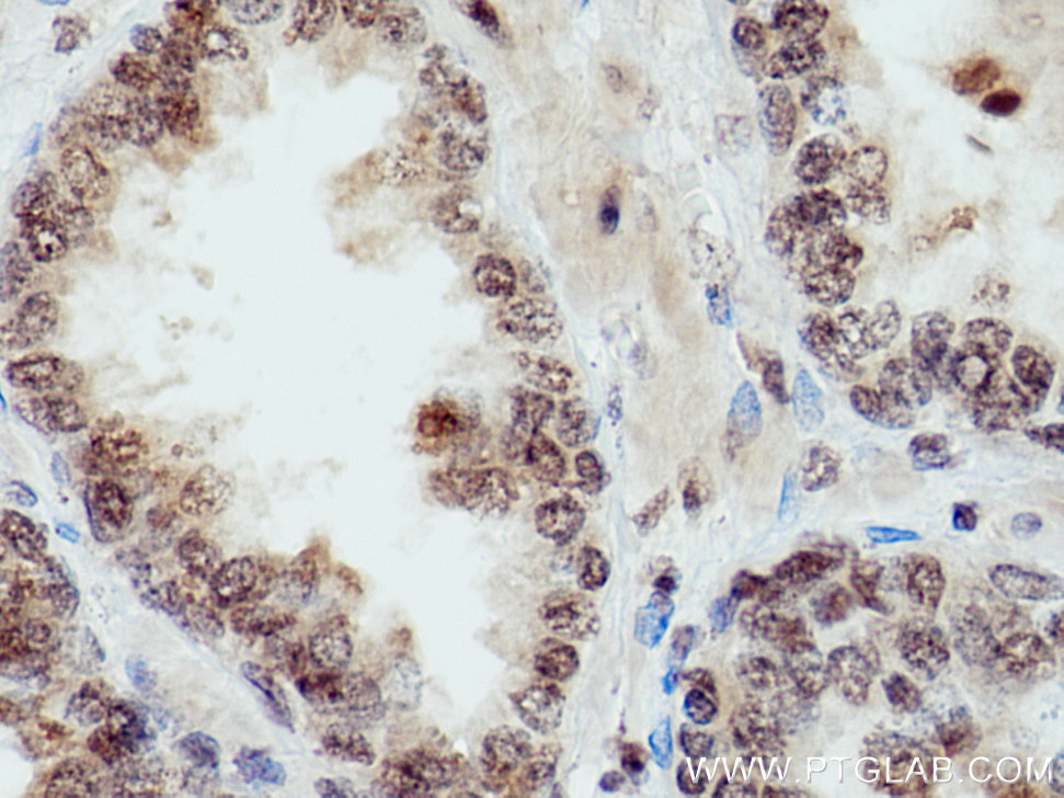
| Positive IHC detected in | human prostate cancer tissue Note: suggested antigen retrieval with TE buffer pH 9.0; (*) Alternatively, antigen retrieval may be performed with citrate buffer pH 6.0 |
| Positive IF/ICC detected in | HeLa cells |
推荐稀释比
| 应用 | 推荐稀释比 |
|---|---|
| Western Blot (WB) | WB : 1:1000-1:6000 |
| Immunoprecipitation (IP) | IP : 0.5-4.0 ug for 1.0-3.0 mg of total protein lysate |
| Immunohistochemistry (IHC) | IHC : 1:50-1:500 |
| Immunofluorescence (IF)/ICC | IF/ICC : 1:20-1:200 |
| It is recommended that this reagent should be titrated in each testing system to obtain optimal results. | |
| Sample-dependent, Check data in validation data gallery. | |
发表文章中的应用
| WB | See 8 publications below |
| IP | See 1 publications below |
产品信息
14069-1-AP targets INTS5 in WB, IHC, IF/ICC, IP, ELISA applications and shows reactivity with human, mouse, rat samples.
| 经测试应用 | WB, IHC, IF/ICC, IP, ELISA Application Description |
| 文献引用应用 | WB, IP |
| 经测试反应性 | human, mouse, rat |
| 文献引用反应性 | human, mouse |
| 免疫原 |
CatNo: Ag5129 Product name: Recombinant human INTS5 protein Source: e coli.-derived, PGEX-4T Tag: GST Domain: 1-322 aa of BC060841 Sequence: MSALCDPPGAPGPPGPAPATHGPAPLSAQELSQEIKAFLTGVDPILGHQLSAREHARCGLLLLRSLPPARAAVLDHLRGVFDESVRAHLAALDETPVAGPPHLRPPPPSHVPAGGPGLEDVVQEVQQVLSEFIRANPKAWAPVISAWSIDLMGQLSSTYSGQHQRVPHATGALNELLQLWMGCRATRTLMDIYVQCLSALIGSCPDACVDALLDTSVQHSPHFDWVVAHIGSSFPGTIISRVLSCGLKDFCVHGGAGGGAGSSGGSSSQTPSTDPFPGSPAIPAEKRVPKIASVVGILGHLASRHGDSIRRELLRMFHDSLA 种属同源性预测 |
| 宿主/亚型 | Rabbit / IgG |
| 抗体类别 | Polyclonal |
| 产品类型 | Antibody |
| 全称 | integrator complex subunit 5 |
| 别名 | Int5, INTS 5 |
| 计算分子量 | 108 kDa |
| 观测分子量 | 108 kDa |
| GenBank蛋白编号 | BC060841 |
| 基因名称 | INTS5 |
| Gene ID (NCBI) | 80789 |
| RRID | AB_2296187 |
| 偶联类型 | Unconjugated |
| 形式 | Liquid |
| 纯化方式 | Antigen affinity purification |
| UNIPROT ID | Q6P9B9 |
| 储存缓冲液 | PBS with 0.02% sodium azide and 50% glycerol, pH 7.3. |
| 储存条件 | Store at -20°C. Stable for one year after shipment. Aliquoting is unnecessary for -20oC storage. |
背景介绍
INTS5, also named as INT5 and KIAA1698, is a component of the Integrator complex which involved in the small nuclear RNAs (snRNA) U1 and U2 transcription and in their 3'-box-dependent processing. The Integrator complex is associated with the C-terminal domain (CTD) of RNA polymerase II largest subunit (POLR2A) and is recruited to the U1 and U2 snRNAs genes.
实验方案
| Product Specific Protocols | |
|---|---|
| IF protocol for INTS5 antibody 14069-1-AP | Download protocol |
| IHC protocol for INTS5 antibody 14069-1-AP | Download protocol |
| IP protocol for INTS5 antibody 14069-1-AP | Download protocol |
| WB protocol for INTS5 antibody 14069-1-AP | Download protocol |
| Standard Protocols | |
|---|---|
| Click here to view our Standard Protocols |
发表文章
| Species | Application | Title |
|---|---|---|
Science Identification of Integrator-PP2A complex (INTAC), an RNA polymerase II phosphatase. | ||
Nat Commun INTS13 variants causing a recessive developmental ciliopathy disrupt assembly of the Integrator complex | ||
Cell Rep RPAP2 regulates a transcription initiation checkpoint by inhibiting assembly of pre-initiation complex. | ||
Mol Cell INTAC endonuclease and phosphatase modules differentially regulate transcription by RNA polymerase II | ||
Mol Cell Cytoplasmic binding partners of the Integrator endonuclease INTS11 and its paralog CPSF73 are required for their nuclear function |








