验证数据展示
经过测试的应用
| Positive WB detected in | Daudi cells, Ramos cells, Raji cells, THP-1 cells |
| Positive IP detected in | Ramos cells |
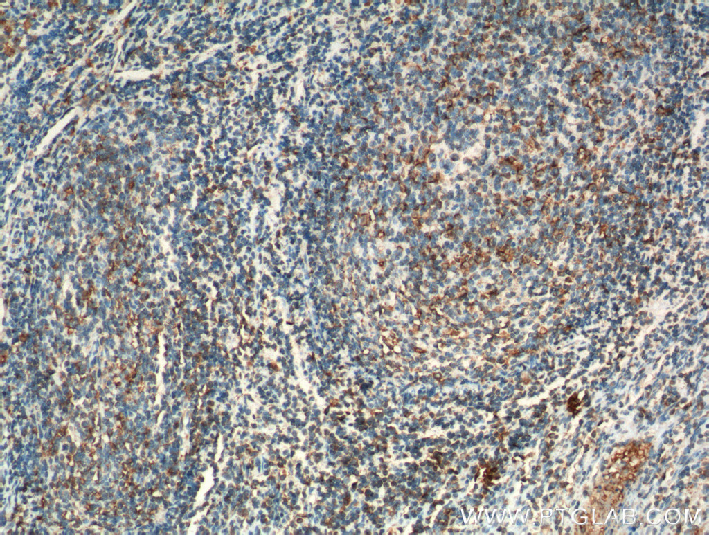
| Positive IHC detected in | human tonsillitis tissue Note: suggested antigen retrieval with TE buffer pH 9.0; (*) Alternatively, antigen retrieval may be performed with citrate buffer pH 6.0 |
推荐稀释比
| 应用 | 推荐稀释比 |
|---|---|
| Western Blot (WB) | WB : 1:2000-1:10000 |
| Immunoprecipitation (IP) | IP : 0.5-4.0 ug for 1.0-3.0 mg of total protein lysate |
| Immunohistochemistry (IHC) | IHC : 1:100-1:400 |
| It is recommended that this reagent should be titrated in each testing system to obtain optimal results. | |
| Sample-dependent, Check data in validation data gallery. | |
发表文章中的应用
| WB | See 5 publications below |
| IHC | See 2 publications below |
产品信息
19694-1-AP targets INPP5D in WB, IHC, IP, ELISA applications and shows reactivity with human, mouse, rat samples.
| 经测试应用 | WB, IP, IHC, ELISA Application Description |
| 文献引用应用 | WB, IHC |
| 经测试反应性 | human, mouse, rat |
| 文献引用反应性 | human, mouse |
| 免疫原 |
Peptide 种属同源性预测 |
| 宿主/亚型 | Rabbit / IgG |
| 抗体类别 | Polyclonal |
| 产品类型 | Antibody |
| 全称 | inositol polyphosphate-5-phosphatase, 145kDa |
| 别名 | hp51CN, INPP5D, p150Ship, SHIP, SHIP 1, SHIP1, SIP 145 |
| 计算分子量 | 133 kDa |
| 观测分子量 | 145 kDa |
| GenBank蛋白编号 | NM_001017915 |
| 基因名称 | INPP5D |
| Gene ID (NCBI) | 3635 |
| RRID | AB_10667407 |
| 偶联类型 | Unconjugated |
| 形式 | Liquid |
| 纯化方式 | Antigen affinity purification |
| UNIPROT ID | Q92835 |
| 储存缓冲液 | PBS with 0.02% sodium azide and 50% glycerol, pH 7.3. |
| 储存条件 | Store at -20°C. Stable for one year after shipment. Aliquoting is unnecessary for -20oC storage. |
背景介绍
INPP5D, also named as SHIP, SHIP1, SIP-145 and hp51CN, belongs to the inositol-1,4,5-trisphosphate 5-phosphatase family. INPP5D is phosphatidylinositol (PtdIns) phosphatase that specifically hydrolyzes the 5-phosphate of phosphatidylinositol-3,4,5-trisphosphate (PtdIns(3,4,5)P3) to produce PtdIns(3,4)P2, thereby negatively regulating the PI3K (phosphoinositide 3-kinase) pathways. INPP5D acts as a negative regulator of B-cell antigen receptor signaling. It mediates signaling from the FC-gamma-RIIB receptor (FCGR2B), playing a central role in terminating signal transduction from activating immune/hematopoietic cell receptor systems. INPP5D acts as a negative regulator of myeloid cell proliferation/survival and chemotaxis, mast cell degranulation, immune cells homeostasis, integrin alpha-IIb/beta-3 signaling in platelets and JNK signaling in B-cells. INPP5D regulates proliferation of osteoclast precursors, macrophage programming, phagocytosis and activation and is required for endotoxin tolerance. It is involved in the control of cell-cell junctions, CD32a signaling in neutrophils and modulation of EGF-induced phospholipase C activity. It is a key regulator of neutrophil migration, by governing the formation of the leading edge and polarization required for chemotaxis. It modulates FCGR3/CD16-mediated cytotoxicity in NK cells. It mediates the activin/TGF-beta-induced apoptosis through its Smad-dependent expression. INPP5D may also hydrolyze PtdIns(1,3,4,5)P4, and could thus affect the levels of the higher inositol polyphosphates like InsP6. This antibody is specific to INPP5D.
实验方案
| Product Specific Protocols | |
|---|---|
| IHC protocol for INPP5D antibody 19694-1-AP | Download protocol |
| IP protocol for INPP5D antibody 19694-1-AP | Download protocol |
| WB protocol for INPP5D antibody 19694-1-AP | Download protocol |
| Standard Protocols | |
|---|---|
| Click here to view our Standard Protocols |
发表文章
| Species | Application | Title |
|---|---|---|
Acta Neuropathol Commun The presubiculum is preserved from neurodegenerative changes in Alzheimer's disease. | ||
Ecotoxicol Environ Saf Characterizing microglial heterogeneity in autophagy impairment of Paraquat-induced Parkinson's disease-like neurodegeneration | ||
J Immunol Systemic Lupus Erythematosus Immune Complexes Increase the Expression of SLAM Family Members CD319 (CRACC) and CD229 (LY-9) on Plasmacytoid Dendritic Cells and CD319 on CD56dim NK Cells. | ||
Eur J Immunol Monomer hapten and hapten-specific IgG inhibit mast cell activation evoked by multivalent hapten with different mechanisms. | ||
Immunol Cell Biol Mycobacterium tuberculosis Rv1987 protein induces M2 polarization of macrophages through activating the PI3K/Akt1/mTOR signaling pathway. | ||
Oncol Rep SHIP1 inhibits cell growth, migration, and invasion in non‑small cell lung cancer through the PI3K/AKT pathway. |






