验证数据展示
经过测试的应用
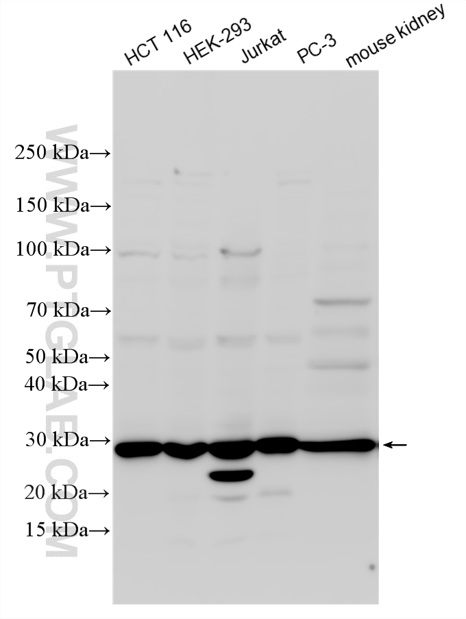
| Positive WB detected in | HCT 116 cells, human brain tissue, human kidney tissue, rat kidney tissue, HEK-293 cells, Jurkat cells, PC-3 cells, mouse kidney tissue |
| Positive IF/ICC detected in | HepG2 cells |
推荐稀释比
| 应用 | 推荐稀释比 |
|---|---|
| Western Blot (WB) | WB : 1:1000-1:4000 |
| Immunofluorescence (IF)/ICC | IF/ICC : 1:10-1:100 |
| It is recommended that this reagent should be titrated in each testing system to obtain optimal results. | |
| Sample-dependent, Check data in validation data gallery. | |
产品信息
16593-1-AP targets IMPA1 in WB, IF/ICC, ELISA applications and shows reactivity with human, mouse, rat samples.
| 经测试应用 | WB, IF/ICC, ELISA Application Description |
| 文献引用应用 | WB, IF |
| 经测试反应性 | human, mouse, rat |
| 文献引用反应性 | human, rat |
| 免疫原 |
CatNo: Ag9632 Product name: Recombinant human IMPA1 protein Source: e coli.-derived, PET28a Tag: 6*His Domain: 1-277 aa of BC008381 Sequence: MADPWQECMDYAVTLARQAGEVVCEAIKNEMNVMLKSSPVDLVTATDQKVEKMLISSIKEKYPSHSFIGEESVAAGEKSILTDNPTWIIDPIDGTTNFVHRFPFVAVSIGFAVNKKIEFGVVYSCVEGKMYTARKGKGAFCNGQKLQVSQQEDITKSLLVTELGSSRTPETVRMVLSNMEKLFCIPVHGIRSVGTAAVNMCLVATGGADAYYEMGIHCWDVAGAGIIVTEAGGVLMDVTGGPFDLMSRRVIAANNRILAERIAKEIQVIPLQRDDED 种属同源性预测 |
| 宿主/亚型 | Rabbit / IgG |
| 抗体类别 | Polyclonal |
| 产品类型 | Antibody |
| 全称 | inositol(myo)-1(or 4)-monophosphatase 1 |
| 别名 | D-galactose 1-phosphate phosphatase, EC:3.1.3.25, EC:3.1.3.94, IMP 1, IMP1 |
| 计算分子量 | 277 aa, 30 kDa |
| 观测分子量 | 30 kDa |
| GenBank蛋白编号 | BC008381 |
| 基因名称 | IMPA1 |
| Gene ID (NCBI) | 3612 |
| RRID | AB_2127216 |
| 偶联类型 | Unconjugated |
| 形式 | Liquid |
| 纯化方式 | Antigen affinity purification |
| UNIPROT ID | P29218 |
| 储存缓冲液 | PBS with 0.02% sodium azide and 50% glycerol, pH 7.3. |
| 储存条件 | Store at -20°C. Stable for one year after shipment. Aliquoting is unnecessary for -20oC storage. |
背景介绍
IMPA1 is an enzyme that dephosphorylates myo-inositol monophosphate to generate free myo-inositol, a precursor of phosphatidylinositol, and is therefore an important modulator of intracellular signal transduction via the production of the second messengers myoinositol 1,4,5-trisphosphate and diacylglycerol.
实验方案
| Product Specific Protocols | |
|---|---|
| IF protocol for IMPA1 antibody 16593-1-AP | Download protocol |
| WB protocol for IMPA1 antibody 16593-1-AP | Download protocol |
| Standard Protocols | |
|---|---|
| Click here to view our Standard Protocols |
发表文章
| Species | Application | Title |
|---|---|---|
Int J Mol Med FBXO22 promotes hepatocellular carcinoma progression via paracrine myo‑inositol‑induced M2‑type polarization of macrophages. | ||
Toxicol Appl Pharmacol Nitazoxanide reverses pulmonary vascular remodeling in pulmonary hypertension by targeting the IMPA1-RAGE signaling axis.
|




