验证数据展示
产品信息
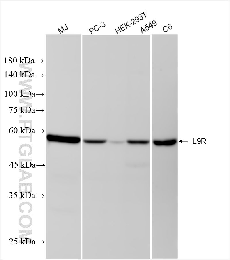
87379-1-PBS targets IL9R in WB, Indirect ELISA applications and shows reactivity with human, rat samples.
| 经测试应用 | WB, Indirect ELISA Application Description |
| 经测试反应性 | human, rat |
| 免疫原 |
CatNo: Eg2902 Product name: recombinant human IL9R protein Source: mammalian cells-derived, V37 Tag: C-rFc Domain: 40-270 aa of NM_002186.2 Sequence: VSVTGEGQGPRSRTFTCLTNNILRIDCHWSAPELGQGSSPWLLFTSNQAPGGTHKCILRGSECTVVLPPEAVLVPSDNFTITFHHCMSGREQVSLVDPEYLPRRHVKLDPPSDLQSNISSGHCILTWSISPALEPMTTLLSYELAFKKQEEAWEQAQHRDHIVGVTWLILEAFELDPGFIHEARLRVQMATLEDDVVEEERYTGQWSEWSQPVCFQAPQRQGPLIPPWGWP 种属同源性预测 |
| 宿主/亚型 | Rabbit / IgG |
| 抗体类别 | Recombinant |
| 产品类型 | Antibody |
| 全称 | interleukin 9 receptor |
| 别名 | CD129, IL 9 receptor, IL 9R, IL-9 receptor, IL-9R |
| 计算分子量 | 57 kDa |
| 观测分子量 | 57 kDa |
| GenBank蛋白编号 | NM_002186.2 |
| 基因名称 | IL9R |
| Gene ID (NCBI) | 3581 |
| RRID | AB_3745498 |
| 偶联类型 | Unconjugated |
| 形式 | Liquid |
| 纯化方式 | Protein A purification |
| UNIPROT ID | Q01113-1 |
| 储存缓冲液 | PBS only, pH 7.3. |
| 储存条件 | Store at -80°C. The product is shipped with ice packs. Upon receipt, store it immediately at -80°C |
背景介绍
Interleukin-9 (IL-9) is a cytokine produced by various cell types including TH2, TH9, TH17, regulatory T (Treg) cells, mast cells, type 2 innate lymphoid cells (ILC2), and CD8+ T cells. IL-9 activates the phosphorylation of Janus kinase 1 (JAK1) and JAK3 by binding to its receptor, IL-9R, thus initiating downstream transcriptional signaling and exerting its biological functions.

