验证数据展示
产品信息
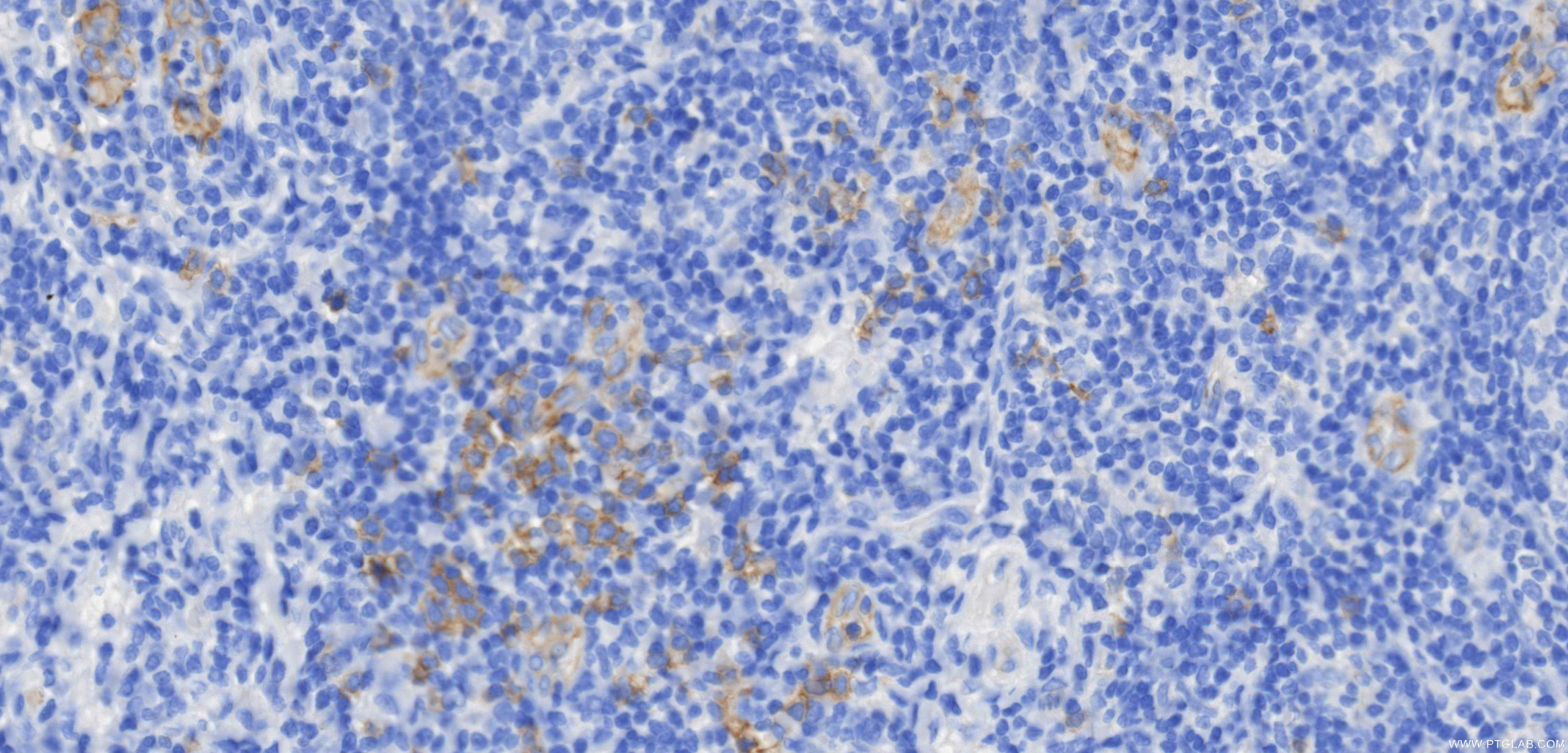
84256-1-PBS targets IL3RA/CD123 in IHC, Indirect ELISA applications and shows reactivity with human samples.
| 经测试应用 | IHC, Indirect ELISA Application Description |
| 经测试反应性 | human |
| 免疫原 |
Recombinant Protein 种属同源性预测 |
| 宿主/亚型 | Rabbit / IgG |
| 抗体类别 | Recombinant |
| 产品类型 | Antibody |
| 全称 | interleukin 3 receptor, alpha (low affinity) |
| 别名 | IL3RA, CD123, hIL 3Ra, IL 3 receptor subunit alpha, IL 3R alpha |
| 计算分子量 | 378 aa, 43 kDa |
| GenBank蛋白编号 | BC035407 |
| 基因名称 | CD123 |
| Gene ID (NCBI) | 3563 |
| ENSEMBL Gene ID | ENSG00000185291 |
| RRID | AB_3743540 |
| 偶联类型 | Unconjugated |
| 形式 | Liquid |
| 纯化方式 | Protein A purification |
| UNIPROT ID | P26951 |
| 储存缓冲液 | PBS only, pH 7.3. |
| 储存条件 | Store at -80°C. The product is shipped with ice packs. Upon receipt, store it immediately at -80°C |
背景介绍
Interleukin-3 receptor subunit alpha (IL3RA), also known as CD123, belongs to the cytokine receptor family. It is a glycoprotein containing an extracellular domain, involving a predicted Ig-like domain, two FnIII domains, a transmembrane domain and an intracellular domain (PMID: 24513123). IL3RA is expressed on hematopoietic progenitor cells, plasmacytoid dendritic cells, basophils, monocytes, some B cells, and in a variety of hematologic malignancies (PMID: 10527461; 34855461). IL-3 initially binds to IL3RA and subsequently recruits the beta chain (CD131) to form the high-affinity receptor, resulting in the activation of a series of signaling pathways including the JAK/STAT, Ras-MAPK, and phosphatidylinositol 3-kinase pathways (PMID: 29296749). IL-3R signaling regulates the proliferation, survival, and differentiation of hematopoietic cells.

