验证数据展示
经过测试的应用
| Positive WB detected in | HUVEC cells, Recombinant protein, PMA, LPS and Brefeldin A treated THP-1 cells, HeLa cells |
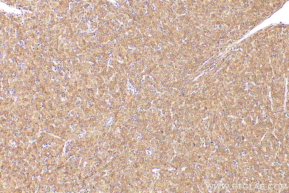
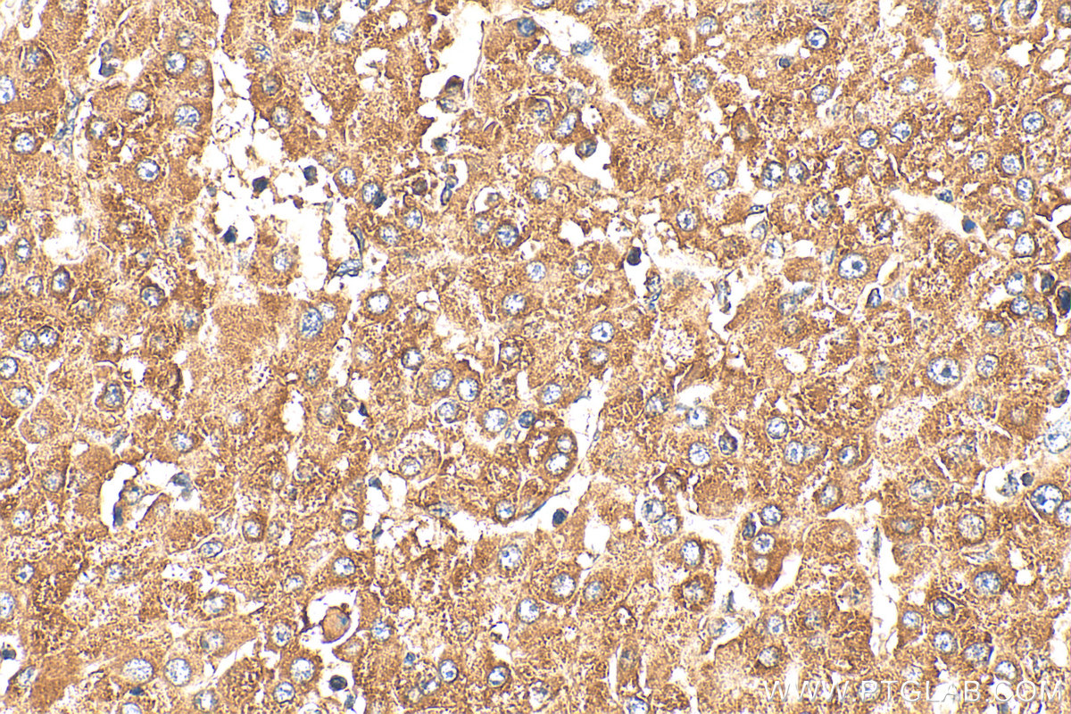
| Positive IHC detected in | human liver cancer tissue Note: suggested antigen retrieval with TE buffer pH 9.0; (*) Alternatively, antigen retrieval may be performed with citrate buffer pH 6.0 |
推荐稀释比
| 应用 | 推荐稀释比 |
|---|---|
| Western Blot (WB) | WB : 1:500-1:1000 |
| Immunohistochemistry (IHC) | IHC : 1:50-1:500 |
| It is recommended that this reagent should be titrated in each testing system to obtain optimal results. | |
| Sample-dependent, Check data in validation data gallery. | |
产品信息
12372-1-AP targets IL-33 in WB, IHC, IF, ELISA applications and shows reactivity with human samples.
| 经测试应用 | WB, IHC, ELISA Application Description |
| 文献引用应用 | WB, IHC, IF, ELISA |
| 经测试反应性 | human |
| 文献引用反应性 | human |
| 免疫原 |
CatNo: Ag2957 Product name: Recombinant human IL-33 protein Source: e coli.-derived, PGEX-4T Tag: GST Domain: 1-270 aa of BC047085 Sequence: MKPKMKYSTNKISTAKWKNTASKALCFKLGKSQQKAKEVCPMYFMKLRSGLMIKKEACYFRRETTKRPSLKTGRKHKRHLVLAACQQQSTVECFAFGISGVQKYTRALHDSSITGISPITEYLASLSTYNDQSITFALEDESYEIYVEDLKKDEKKDKVLLSYYESQHPSNESGDGVDGKMLMVTLSPTKDFWLHANNKEHSVELHKCEKPLPDQAFFVLHNMHSNCVSFECKTDPGVFIGVKDNHLALIKVDSSENLCTENILFKLSET 种属同源性预测 |
| 宿主/亚型 | Rabbit / IgG |
| 抗体类别 | Polyclonal |
| 产品类型 | Antibody |
| 全称 | interleukin 33 |
| 别名 | IL33, 109-270, 95-270, 99-270, C9orf26 |
| 计算分子量 | 30 kDa |
| 观测分子量 | 31 kDa |
| GenBank蛋白编号 | BC047085 |
| 基因名称 | IL-33 |
| Gene ID (NCBI) | 90865 |
| RRID | AB_2877852 |
| 偶联类型 | Unconjugated |
| 形式 | Liquid |
| 纯化方式 | Antigen affinity purification |
| UNIPROT ID | O95760 |
| 储存缓冲液 | PBS with 0.02% sodium azide and 50% glycerol, pH 7.3. |
| 储存条件 | Store at -20°C. Stable for one year after shipment. Aliquoting is unnecessary for -20oC storage. |
背景介绍
IL-33 is an IL-1 family cytokine and nuclear alarmin, is constitutively expressed in epithelial barrier tissues and human blood vessels. IL-33 is involved in the maturation of Th2 cells and the activation of mast cells, basophils, eosinophils and natural killer cells. It also acts as a chemoattractant for Th2 cells, and may function as an "alarmin", that amplifies immune responses during tissue injury.
实验方案
| Product Specific Protocols | |
|---|---|
| IHC protocol for IL-33 antibody 12372-1-AP | Download protocol |
| WB protocol for IL-33 antibody 12372-1-AP | Download protocol |
| Standard Protocols | |
|---|---|
| Click here to view our Standard Protocols |
发表文章
| Species | Application | Title |
|---|---|---|
Adv Healthc Mater Ultrasmall Nanoparticles Regulate Immune Microenvironment by Activating IL-33/ST2 to Alleviate Renal Ischemia-Reperfusion Injury | ||
J Invest Dermatol Increased Type 2 Innate Lymphoid Cells in Patients with Drug Reaction with Eosinophilia and Systemic Symptoms Syndrome. | ||
Front Immunol Emodin Alleviates Sodium Taurocholate-Induced Pancreatic Acinar Cell Injury via MicroRNA-30a-5p-Mediated Inhibition of High-Temperature Requirement A/Transforming Growth Factor Beta 1 Inflammatory Signaling. | ||
Am J Pathol Cross Talk between ST2 and Transforming Growth Factor-β Receptor Signaling Promotes Renal Fibrosis | ||
EBioMedicine Free fatty acid receptor 4 deletion attenuates colitis by modulating Treg Cells via ZBED6-IL33 pathway. | ||
Int Immunopharmacol Hypoxia induces the production of epithelial-derived cytokines in eosinophilic chronic rhinosinusitis with nasal polyps |




