验证数据展示
经过测试的应用
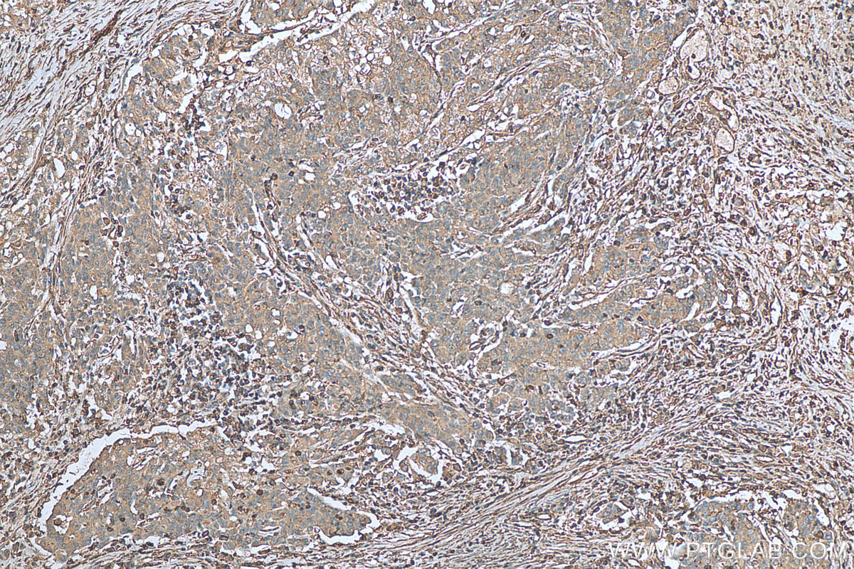
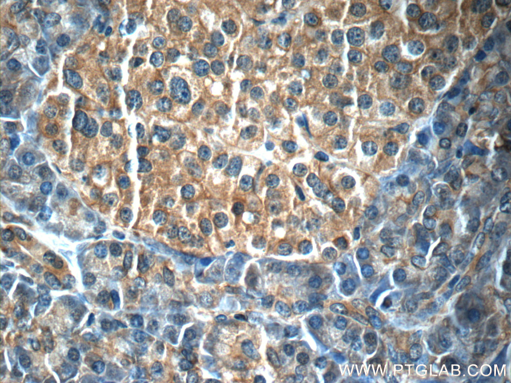
| Positive IHC detected in | human stomach cancer tissue, human pancreas tissue Note: suggested antigen retrieval with TE buffer pH 9.0; (*) Alternatively, antigen retrieval may be performed with citrate buffer pH 6.0 |
推荐稀释比
| 应用 | 推荐稀释比 |
|---|---|
| Immunohistochemistry (IHC) | IHC : 1:50-1:500 |
| It is recommended that this reagent should be titrated in each testing system to obtain optimal results. | |
| Sample-dependent, Check data in validation data gallery. | |
产品信息
66196-1-Ig targets IL-23 p19 in WB, IHC, IF, ELISA applications and shows reactivity with human samples.
| 经测试应用 | IHC, ELISA Application Description |
| 文献引用应用 | WB, IHC, IF, ELISA |
| 经测试反应性 | human |
| 文献引用反应性 | human, mouse |
| 免疫原 |
CatNo: Ag19406 Product name: Recombinant human IL-23A protein Source: e coli.-derived, PET28a Tag: 6*His Domain: 17-189 aa of BC066268 Sequence: AQGRAVPGGSSPAWTQCQQLSQKLCTLAWSAHPLVGHMDLREEGDEETTNDVPHIQCGDGCDPQGLRDNSQFCLQRIHQGLIFYEKLLGSDIFTGEPSLLPDSPVGQLHASLLGLSQLLQPEGHHWETQQIPSLSPSQPWQRLLLRFKILRSLQAFVAVAARVFAHGAATLSP 种属同源性预测 |
| 宿主/亚型 | Mouse / IgG1 |
| 抗体类别 | Monoclonal |
| 产品类型 | Antibody |
| 全称 | interleukin 23, alpha subunit p19 |
| 别名 | IL23A, IL-23 subunit alpha, IL 23p19, IL 23A, IL 23 subunit alpha |
| 计算分子量 | 189 aa, 21 kDa |
| GenBank蛋白编号 | BC066268 |
| 基因名称 | IL23A |
| Gene ID (NCBI) | 51561 |
| RRID | AB_2881589 |
| 偶联类型 | Unconjugated |
| 形式 | Liquid |
| 纯化方式 | Protein G purification |
| UNIPROT ID | Q9NPF7 |
| 储存缓冲液 | PBS with 0.02% sodium azide and 50% glycerol, pH 7.3. |
| 储存条件 | Store at -20°C. Stable for one year after shipment. Aliquoting is unnecessary for -20oC storage. |
背景介绍
Interleukin 23 (IL-23) is a member of the IL12 cytokine family and composed of two subunits, IL12p40 and IL23p19. It is produced by antigen presenting cells and has been shown to promote the production and survival of a distinct lineage of T-cells called TH17 cells. A functional receptor for IL-23 (the IL-23 receptor) has been identified and is composed of Il-12Rβ1 and IL-23R. IL-23 is expressed chiefly by the macrophages and DCs. The IL-23R is found on memory T cells, NKT cells, macrophages, DCs, and naive T cells upon activation by TGF-βand IL-6. The main biological effects of IL-23 identified initially consist of stimulation of antigen presentation by DCs, T cell differentiation to Th17 cells, and production of interferon-γ (IFN-γ). IL-23 acts also as an end-stage effector cytokine through direct action on macrophages.
实验方案
| Product Specific Protocols | |
|---|---|
| IHC protocol for IL-23 p19 antibody 66196-1-Ig | Download protocol |
| Standard Protocols | |
|---|---|
| Click here to view our Standard Protocols |
发表文章
| Species | Application | Title |
|---|---|---|
Thyroid A MULTICENTER, SINGLE-BLIND, CASE-CONTROL, IMMUNOHISTOCHEMICAL STUDY OF ORBITAL TISSUE IN THYROID EYE DISEASE | ||
J Immunol Polarization and β-Glucan Reprogram Immunomodulatory Metabolism in Human Macrophages and Ex Vivo in Human Lung Cancer Tissues | ||
Cancer Lett PDE4D/cAMP/IL-23 axis determines the immunotherapy efficacy of lung adenocarcinoma via activating the IL-9 autocrine loop of cytotoxic T lymphocytes | ||
Sci Rep Chemotherapy-induced high expression of IL23A enhances efficacy of anti-PD-1 therapy in TNBC by co-activating the PI3K-AKT signaling pathway of CTLs | ||
Toxicol Res (Camb) Zerumbone attenuates the excessive proliferation of keratinocytes in psoriasis mice through regulating NLRP3/NF-κB pathway | ||
Gut IL23 induces IL23R recycling and amplifies innate receptor-induced signalling and cytokines in human macrophages, and the IBD-protective IL23R R381Q variant modulates these outcomes. |



