验证数据展示
经过测试的应用
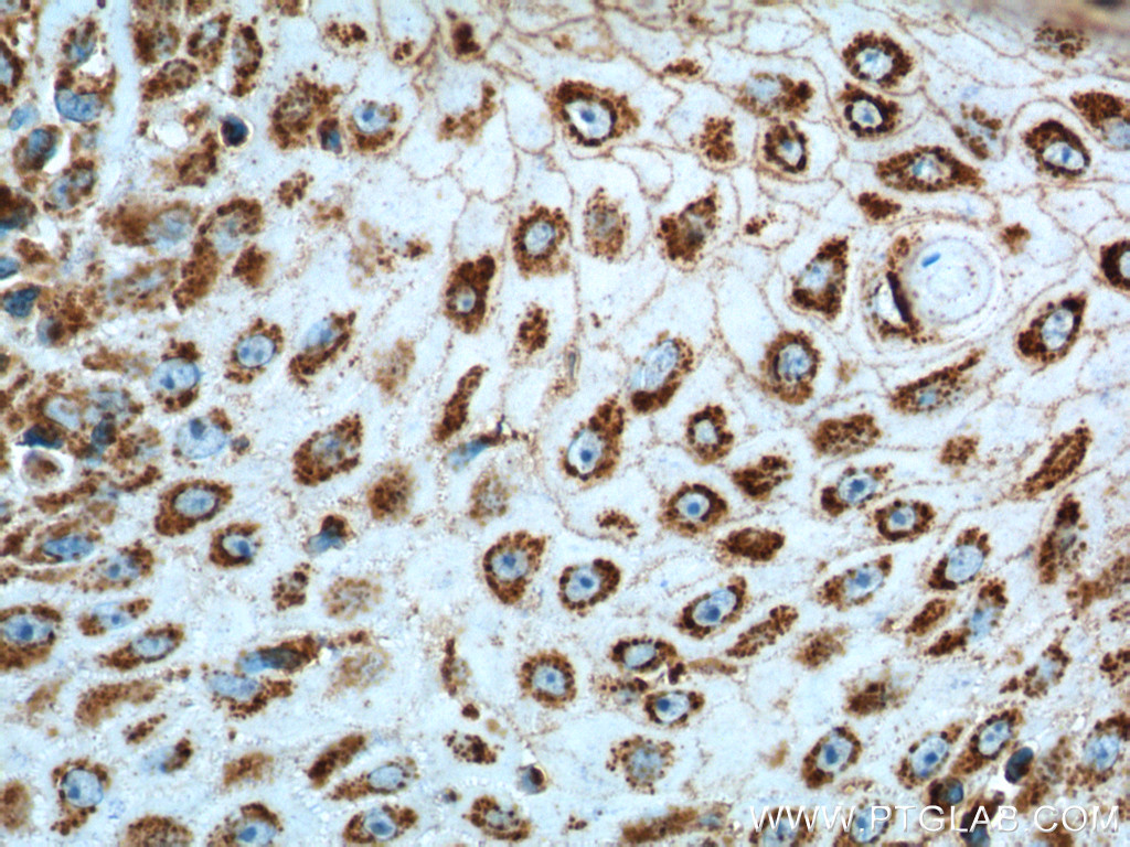
| Positive IHC detected in | human tonsillitis tissue, human breast cancer tissue, human skin cancer tissue Note: suggested antigen retrieval with TE buffer pH 9.0; (*) Alternatively, antigen retrieval may be performed with citrate buffer pH 6.0 |
| Positive IF-P detected in | human tonsillitis tissue |
| Positive IF/ICC detected in | U-937 cells |
推荐稀释比
| 应用 | 推荐稀释比 |
|---|---|
| Immunohistochemistry (IHC) | IHC : 1:20-1:200 |
| Immunofluorescence (IF)-P | IF-P : 1:200-1:800 |
| Immunofluorescence (IF)/ICC | IF/ICC : 1:200-1:800 |
| It is recommended that this reagent should be titrated in each testing system to obtain optimal results. | |
| Sample-dependent, Check data in validation data gallery. | |
产品信息
60278-1-Ig targets IL-19 in IHC, IF/ICC, IF-P, ELISA applications and shows reactivity with human samples.
| 经测试应用 | IHC, IF/ICC, IF-P, ELISA Application Description |
| 经测试反应性 | human |
| 免疫原 |
CatNo: Ag18887 Product name: Recombinant human IL-19 protein Source: e coli.-derived, PET28a Tag: 6*His Domain: 63-215 aa of BC153127 Sequence: LRRCLISTDMHHIEESFQEIKRAIQAKDTFPNVTILSTLETLQIIKPLDVCCVTKNLLAFYVDRVFKDHQEPNPKILRKISSIANSFLYMQKTLRQCQEQRQCHCRQEATNATRVIHDNYDQLEVHAAAIKSLGELDVFLAWINKNHEVMFSA 种属同源性预测 |
| 宿主/亚型 | Mouse / IgG1 |
| 抗体类别 | Monoclonal |
| 产品类型 | Antibody |
| 全称 | interleukin 19 |
| 别名 | IL19, interleukin19, interleukin 19, IL 19, IL 10C |
| 计算分子量 | 177 aa, 20 kDa |
| GenBank蛋白编号 | BC153127 |
| 基因名称 | IL-19 |
| Gene ID (NCBI) | 29949 |
| RRID | AB_2881397 |
| 偶联类型 | Unconjugated |
| 形式 | Liquid |
| 纯化方式 | Protein G purification |
| UNIPROT ID | Q9UHD0 |
| 储存缓冲液 | PBS with 0.02% sodium azide and 50% glycerol, pH 7.3. |
| 储存条件 | Store at -20°C. Stable for one year after shipment. Aliquoting is unnecessary for -20oC storage. |
背景介绍
IL-19, a member of the IL-10 cytokine family, is expressed in epithelial cells, endothelial cells, and macrophages. It can bind the interleukin-20 receptor complex IL-20R1/IL-20R2 and lead to the activation of the signal transducer and activator of transcription 3 (STAT3). IL-19 induces IL-6 and TNF-alpha production in monocytes. It also induces cell apoptosis and reactive oxygen species production in monocytes, which suggests a role of this cytokine in inflammatory responses. It is up-regulated in monocytes following stimulation with lipopolysaccharide (LPS), and granulocyte-macrophage colony-stimulating factor (GM-CSF). IL-19 alters the balance of Th1 and Th2 cells in favor of Th2 cells. IL-19 contributes to a range of diseases and disorders, such as breast cancer, squamous cell carcinoma of the skin, asthma, endotoxic shock, uremia, psoriasis, rheumatoid arthritis, and periodontal and vascular disease.
实验方案
| Product Specific Protocols | |
|---|---|
| IF protocol for IL-19 antibody 60278-1-Ig | Download protocol |
| IHC protocol for IL-19 antibody 60278-1-Ig | Download protocol |
| WB protocol for IL-19 antibody 60278-1-Ig | Download protocol |
| Standard Protocols | |
|---|---|
| Click here to view our Standard Protocols |












