验证数据展示
经过测试的应用
| Positive WB detected in | Recombinant protein |
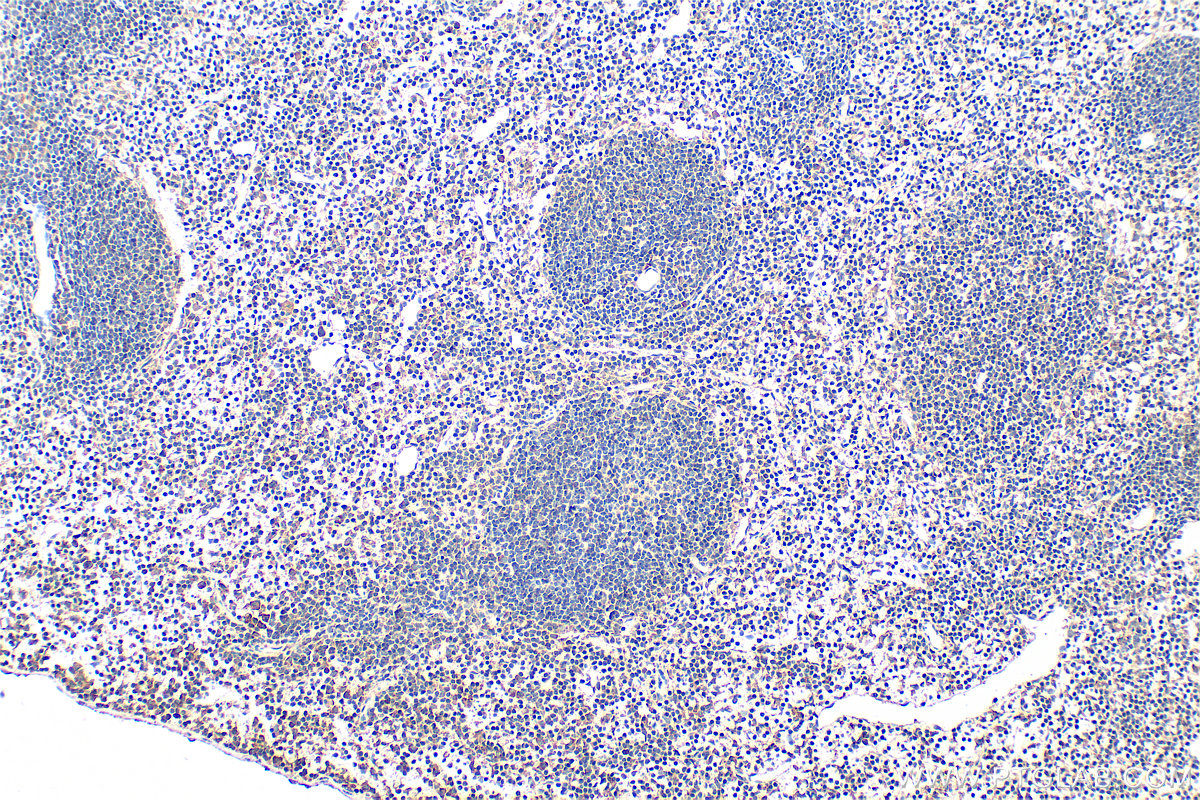
| Positive IHC detected in | mouse spleen tissue Note: suggested antigen retrieval with TE buffer pH 9.0; (*) Alternatively, antigen retrieval may be performed with citrate buffer pH 6.0 |
推荐稀释比
| 应用 | 推荐稀释比 |
|---|---|
| Western Blot (WB) | WB : 1:1000-1:6000 |
| Immunohistochemistry (IHC) | IHC : 1:50-1:500 |
| It is recommended that this reagent should be titrated in each testing system to obtain optimal results. | |
| Sample-dependent, Check data in validation data gallery. | |
发表文章中的应用
| WB | See 1 publications below |
产品信息
30756-1-AP targets IL-12 p70 in WB, IHC, ELISA applications and shows reactivity with mouse samples.
| 经测试应用 | WB, IHC, ELISA Application Description |
| 文献引用应用 | WB |
| 经测试反应性 | mouse |
| 文献引用反应性 | mouse |
| 免疫原 |
CatNo: Eg0742 Product name: Recombinant Mouse IL-12 (linked heterodimer) protein (His Tag) Source: mammalian cells-derived, pHZ-KIsec-C-6*HIS Tag: C-6*HIS Sequence: MWELEKDVYVVEVDWTPDAPGETVNLTCDTPEEDDITWTSDQRHGVIGSGKTLTITVKEFLDAGQYTCHKGGETLSHSHLLLHKKENGIWSTEILKNFKNKTFLKCEAPNYSGRFTCSWLVQRNMDLKFNIKSSSSSPDSRAVTCGMASLSAEKVTLDQRDYEKYSVSCQEDVTCPTAEETLPIELALEARQQNKYENYSTSFFIRDIIKPDPPKNLQMKPLKNSQVEVSWEYPDSWSTPHSYFSLKFFVRIQRKKEKMKETEEGCNQKGAFLVEKTSTEVQCKGGNVCVQAQDRYYNSSCSKWACVPCRVRSGGGGSGGGGSGGGGSRVIPVSGPARCLSQSRNLLKTTDDMVKTAREKLKHYSCTAEDIDHEDITRDQTSTLKTCLPLELHKNESCLATRETSSTTRGSCLPPQKTSLMMTLCLGSIYEDLKMYQTEFQAINAALQNHNHQQIILDKGMLVAIDELMQSLNHNGETLRQKPPVGEADPYRVKMKLCILLHAFSTRVVTINRVMGYLSSA 种属同源性预测 |
| 宿主/亚型 | Rabbit / IgG |
| 抗体类别 | Polyclonal |
| 产品类型 | Antibody |
| 全称 | IL-12 p70 |
| 别名 | Il12b, Il 12b, Il 12p40, IL-12 p40, Il-12b |
| 计算分子量 | 70 kDa |
| 观测分子量 | 70 kDa |
| 基因名称 | |
| Gene ID (NCBI) | |
| RRID | AB_3086410 |
| 偶联类型 | Unconjugated |
| 形式 | Liquid |
| 纯化方式 | Antigen affinity purification |
| UNIPROT ID | P43432(IL12B);P43431(IL12A) |
| 储存缓冲液 | PBS with 0.02% sodium azide and 50% glycerol, pH 7.3. |
| 储存条件 | Store at -20°C. Stable for one year after shipment. Aliquoting is unnecessary for -20oC storage. |
背景介绍
Interleukin-12 (IL-12), is a cytokine that is secreted by activated phagocytes and dendritic cells and that induces interferon-γproduction by natural-killer and T lymphocytes. IL-12 is a 75 kDa heterodimer composed of a 35 kDa subunit (IL-12A p35) and a 40 kDa subunit (IL-12B p40) that is secreted by a wide variety of antigen presenting cells (APCs), including phagocytes, B cells and Langerhans cells.
实验方案
| Product Specific Protocols | |
|---|---|
| IHC protocol for IL-12 p70 antibody 30756-1-AP | Download protocol |
| WB protocol for IL-12 p70 antibody 30756-1-AP | Download protocol |
| Standard Protocols | |
|---|---|
| Click here to view our Standard Protocols |



