验证数据展示
产品信息
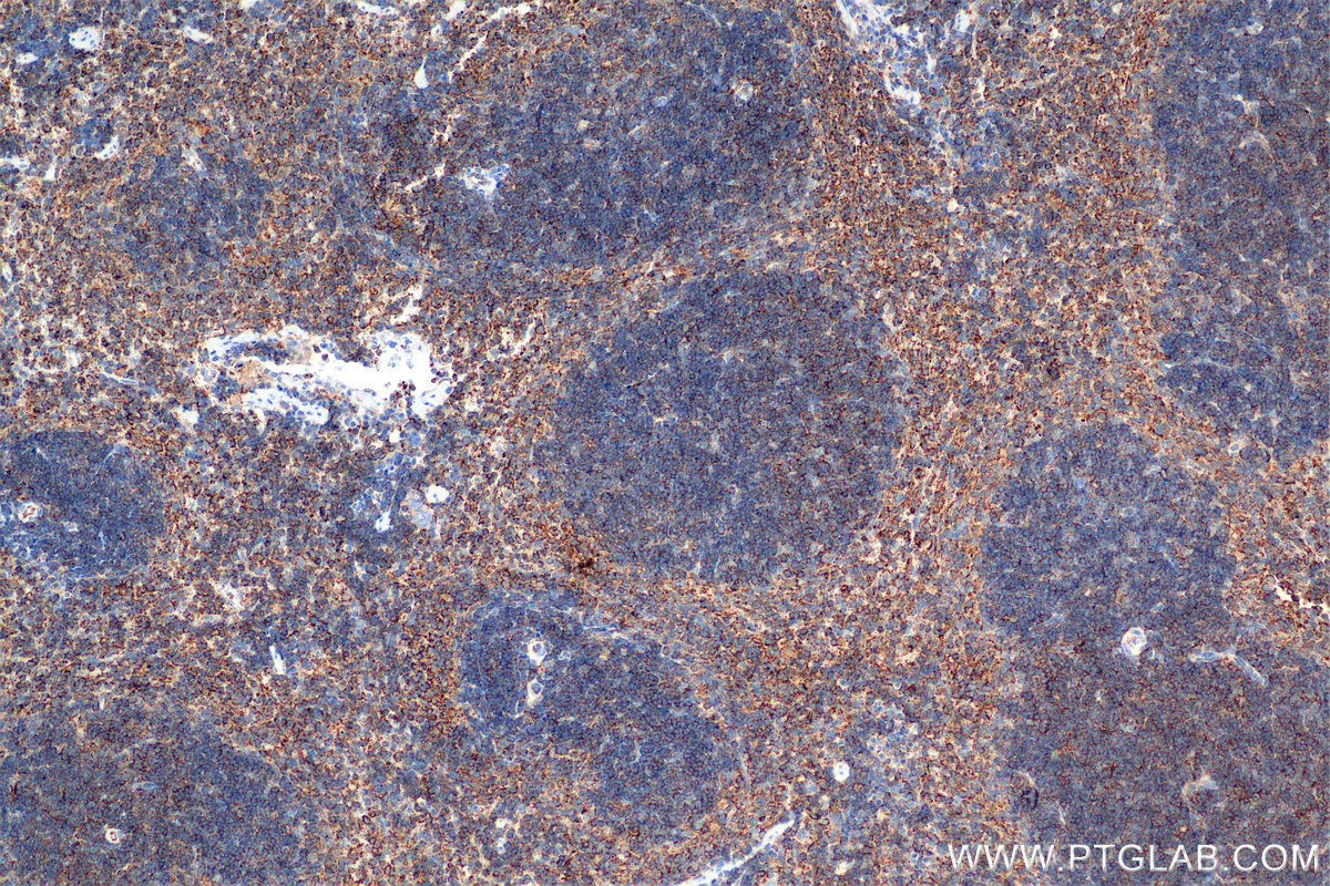
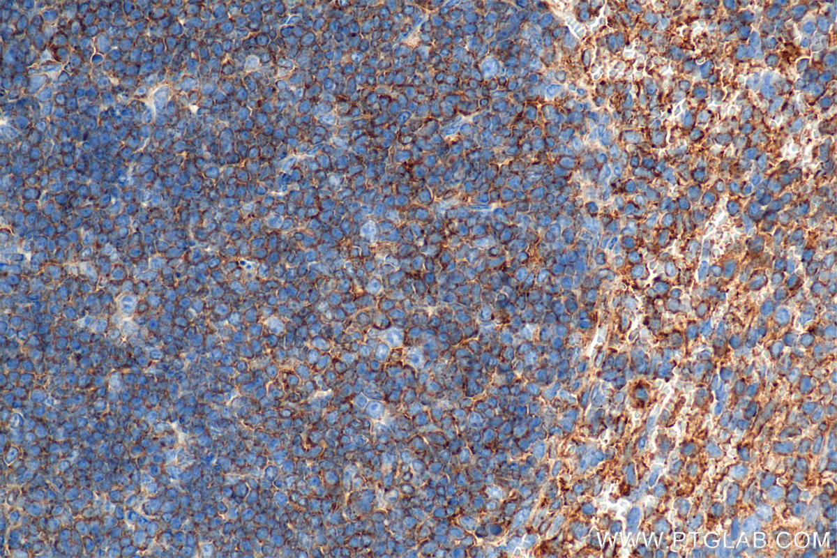
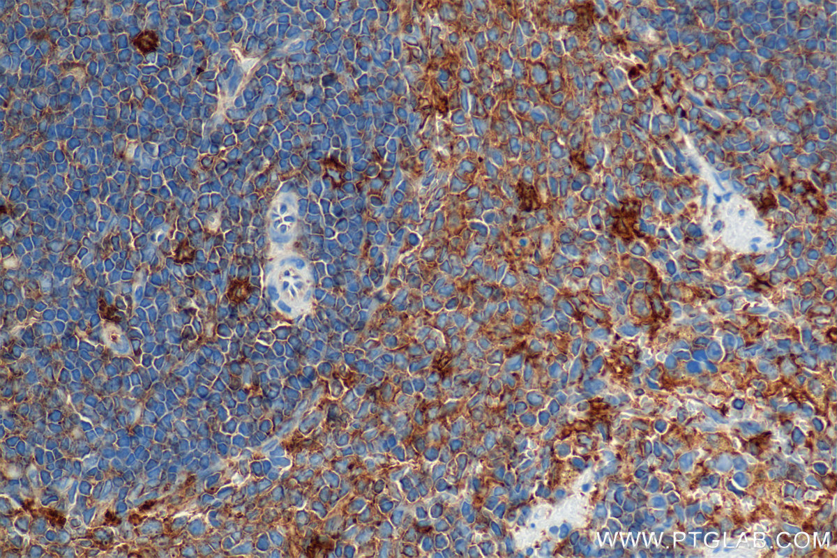
84758-5-PBS targets IL-4RA/CD124 in WB, IHC, Indirect ELISA applications and shows reactivity with human, mouse, rat samples.
| 经测试应用 | WB, IHC, Indirect ELISA Application Description |
| 经测试反应性 | human, mouse, rat |
| 免疫原 |
CatNo: Eg2176 Product name: Recombinant Mouse IL-4RA/CD124 protein (rFc Tag)(HPLC verified) Source: mammalian cells-derived, pHZ-KIsec-C-rFc Tag: C-rFc Domain: 26-233 aa of NM_001008700.3 Sequence: IKVLGEPTCFSDYIRTSTCEWFLDSAVDCSSQLCLHYRLMFFEFSENLTCIPRNSASTVCVCHMEMNRPVQSDRYQMELWAEHRQLWQGSFSPSGNVKPLAPDNLTLHTNVSDEWLLTWNNLYPSNNLLYKDLISMVNISREDNPAEFIVYNVTYKEPRLSFPINILMSGVYYTARVRVRSQILTGTWSEWSPSITWYNHFQLPLIQR 种属同源性预测 |
| 宿主/亚型 | Rabbit / IgG |
| 抗体类别 | Recombinant |
| 产品类型 | Antibody |
| 全称 | interleukin 4 receptor, alpha |
| 别名 | 242262E3, CD124, IL-4 receptor subunit alpha, Il4r, IL-4R subunit alpha |
| 计算分子量 | 88 kDa |
| 观测分子量 | 130 kDa |
| GenBank蛋白编号 | NM_001008700.3 |
| 基因名称 | Il4ra |
| Gene ID (NCBI) | 16190 |
| 偶联类型 | Unconjugated |
| 形式 | Liquid |
| 纯化方式 | Protein A purfication |
| UNIPROT ID | P16382-1 |
| 储存缓冲液 | PBS only, pH 7.3. |
| 储存条件 | Store at -80°C. The product is shipped with ice packs. Upon receipt, store it immediately at -80°C |
背景介绍
IL-4 receptor alpha chain (IL-4RA), also known as CD124, is a transmembrane glycoprotein expressed on a wide variety of hematopoietic and non-hematopoietic cells. It is a receptor for both IL-4 and IL-13. IL-4RA can complex with the common gamma chain (IL-2R gamma or CD132) and utilizes JAK1 and JAK2 for signal transduction, while complexes of IL-4RA with IL-13RA1 subunit mediate signals via JAK2 and Tyk2. The IL-4 response is involved in promoting Th2 differentiation. The IL-4/IL-13 responses are involved in regulating IgE production and, chemokine and mucus production at sites of allergic inflammation.






