验证数据展示
经过测试的应用
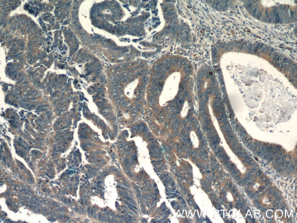
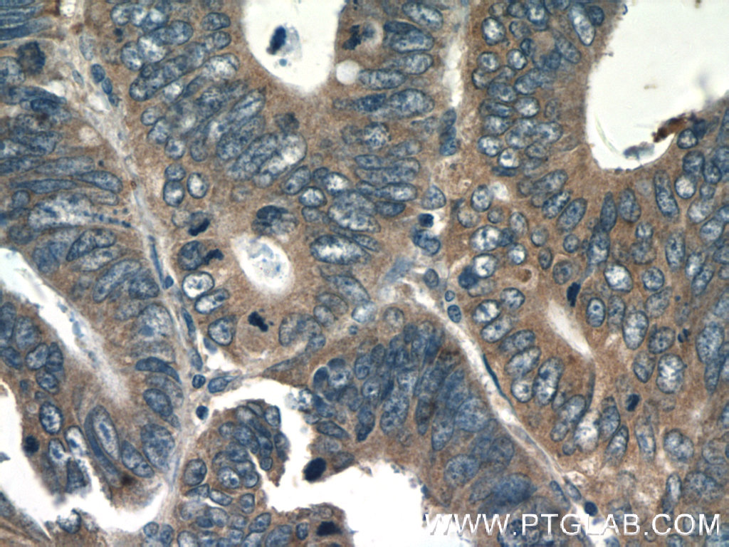
| Positive IHC detected in | human oesophagus tissue, human colon cancer tissue Note: suggested antigen retrieval with TE buffer pH 9.0; (*) Alternatively, antigen retrieval may be performed with citrate buffer pH 6.0 |
推荐稀释比
| 应用 | 推荐稀释比 |
|---|---|
| Immunohistochemistry (IHC) | IHC : 1:20-1:200 |
| It is recommended that this reagent should be titrated in each testing system to obtain optimal results. | |
| Sample-dependent, Check data in validation data gallery. | |
发表文章中的应用
| IHC | See 5 publications below |
| IF | See 1 publications below |
产品信息
21255-1-AP targets IL-36 Gamma/IL-1F9 in IHC, IF, ELISA applications and shows reactivity with human samples.
| 经测试应用 | IHC, ELISA Application Description |
| 文献引用应用 | IHC, IF |
| 经测试反应性 | human |
| 文献引用反应性 | human |
| 免疫原 |
CatNo: Ag15804 Product name: Recombinant human IL-1F9/IL-36 gamma protein Source: e coli.-derived, PGEX-4T Tag: GST Domain: 1-95 aa of BC098337 Sequence: MRGTPGDADGGGRAVYQSMCKPITGTINDLNQQVWTLQGQNLVAVPRSDSVTPVTVAVITCKYPEALEQGRGDPIYLGIQNPEMCLYCEKVGEQP 种属同源性预测 |
| 宿主/亚型 | Rabbit / IgG |
| 抗体类别 | Polyclonal |
| 产品类型 | Antibody |
| 全称 | interleukin 1 family, member 9 |
| 别名 | IL1F9, IL-1F9, IL-36 gamma, IL 1 epsilon, IL 1 related protein 2 |
| 计算分子量 | 169 aa, 19 kDa |
| GenBank蛋白编号 | BC098337 |
| 基因名称 | IL-36 gamma/IL-1F9 |
| Gene ID (NCBI) | 56300 |
| RRID | AB_2878832 |
| 偶联类型 | Unconjugated |
| 形式 | Liquid |
| 纯化方式 | Antigen affinity purification |
| UNIPROT ID | Q9NZH8 |
| 储存缓冲液 | PBS with 0.02% sodium azide and 50% glycerol, pH 7.3. |
| 储存条件 | Store at -20°C. Stable for one year after shipment. Aliquoting is unnecessary for -20oC storage. |
实验方案
| Product Specific Protocols | |
|---|---|
| IHC protocol for IL-36 Gamma/IL-1F9 antibody 21255-1-AP | Download protocol |
| Standard Protocols | |
|---|---|
| Click here to view our Standard Protocols |
发表文章
| Species | Application | Title |
|---|---|---|
Clin Exp Immunol Distinct Expression of IL-36α, β, γ, their antagonist IL-36Ra and IL-38 in psoriasis, rheumatoid arthritis and Crohn's disease. | ||
Exp Dermatol Clinical Responses and Transcriptomic Analysis of Spesolimab in a Girl With Severe Dermatitis, Multiple Allergies and Metabolic Wasting Syndrome | ||
Clin Exp Dermatol Spongiotic Psoriasiform Dermatitis with Dual Features of Eczema and Psoriasis: JAK Inhibition as a Potential Therapeutic Option |



