验证数据展示
产品信息
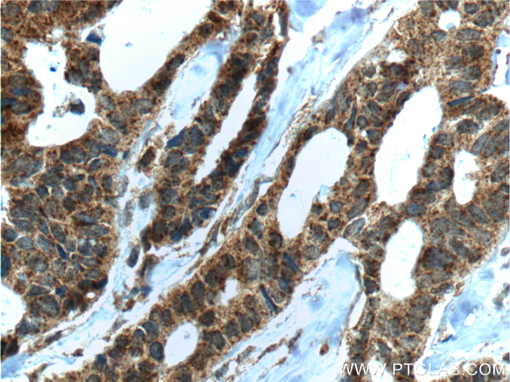
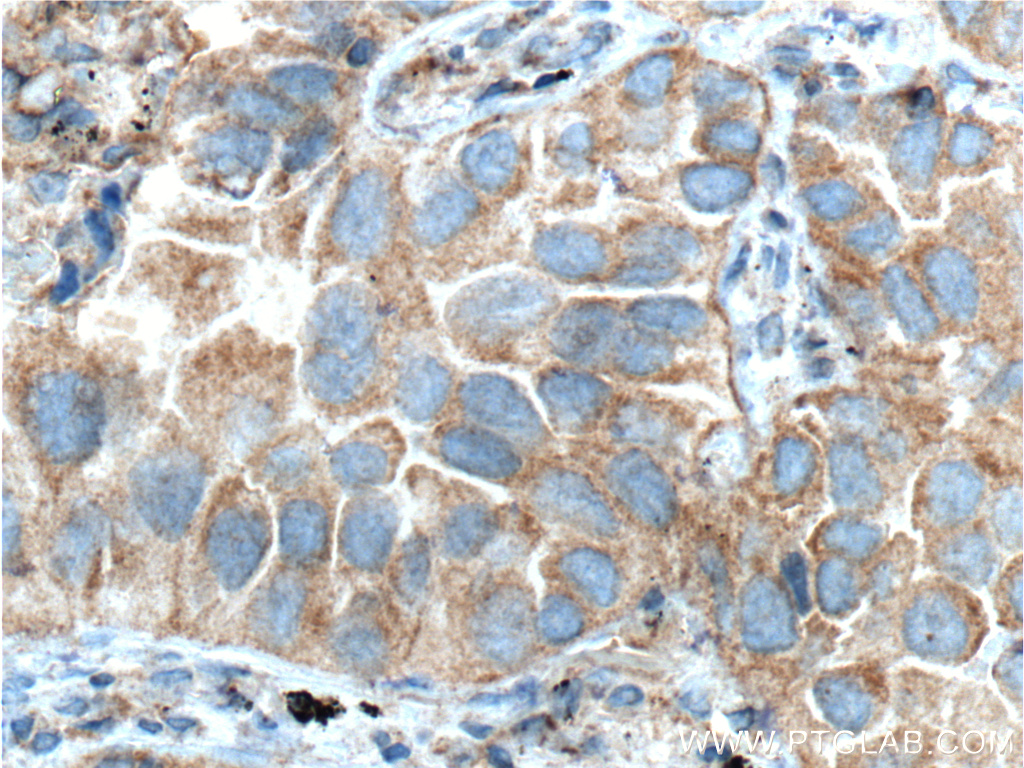
66190-1-PBS targets IL-22RA2 in WB, IHC, IF-P, Indirect ELISA applications and shows reactivity with human samples.
| 经测试应用 | WB, IHC, IF-P, Indirect ELISA Application Description | 
| 经测试反应性 | human | 
| 免疫原 | CatNo: Ag18682 Product name: Recombinant human IL-22RA2 protein Source: e coli.-derived, PET28a Tag: 6*His Domain: 1-232 aa of BC125167 Sequence: MMPKHCFLGFLISFFLTGVAGTQSTHESLKPQRVQFQSRNFHNILQWQPGRALTGNSSVYFVQYKIYGQRQWKNKEDCWGTQELSCDLTSETSDIQEPYYGRVRAASAGSYSEWSMTPRFTPWWETKIDPPVMNITQVNGSLLVILHAPNLPYRYQKEKNVSIEDYYELLYRVFIINNSLEKEQKVYEGAHRAVEIEALTPHSSYCVVAEIYQPMLDRRSQRSEERCVEIP种属同源性预测 | 
| 宿主/亚型 | Mouse / IgG2a | 
| 抗体类别 | Monoclonal | 
| 产品类型 | Antibody | 
| 全称 | interleukin 22 receptor, alpha 2 | 
| 别名 | IL22RA2, CRF2 10, CRF2 S1, CRF2-10, CRF2-S1 | 
| 计算分子量 | 263 aa, 31 kDa | 
| 观测分子量 | 35 kDa | 
| GenBank蛋白编号 | BC125167 | 
| 基因名称 | IL-22RA2 | 
| Gene ID (NCBI) | 116379 | 
| RRID | AB_2881585 | 
| 偶联类型 | Unconjugated | 
| 形式 | Liquid | 
| 纯化方式 | Protein A purification | 
| UNIPROT ID | Q969J5 | 
| 储存缓冲液 | PBS only, pH 7.3. | 
| 储存条件 | Store at -80°C. The product is shipped with ice packs. Upon receipt, store it immediately at -80°C | 
背景介绍
Interleukin-22 receptor subunit alpha-2 (IL22RA2) is a soluble member of the type II cytokine receptor family. Through binding to IL22, IL22RA2 prevents the interaction of IL22 with the functional IL22-R complex and blocks the activity of IL22 (in vitro). IL22RA2 may play an important role as an IL22 antagonist in the regulation of inflammatory responses. Alternative splicing results in multiple transcript variants encoding distinct isoforms.









