验证数据展示
经过测试的应用
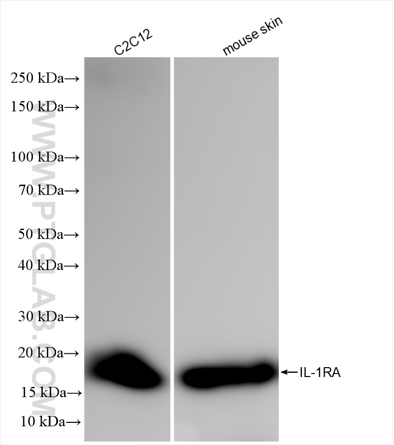
| Positive WB detected in | C2C12 cells, mouse skin tissues |
| Positive IHC detected in | mouse skin tissue Note: suggested antigen retrieval with TE buffer pH 9.0; (*) Alternatively, antigen retrieval may be performed with citrate buffer pH 6.0 |
推荐稀释比
| 应用 | 推荐稀释比 |
|---|---|
| Western Blot (WB) | WB : 1:500-1:2000 |
| Immunohistochemistry (IHC) | IHC : 1:1000-1:4000 |
| It is recommended that this reagent should be titrated in each testing system to obtain optimal results. | |
| Sample-dependent, Check data in validation data gallery. | |
产品信息
85672-3-RR targets IL-1RA/IL-1RN in WB, IHC, ELISA applications and shows reactivity with human, mouse, rat samples.
| 经测试应用 | WB, IHC, ELISA Application Description |
| 经测试反应性 | human, mouse, rat |
| 免疫原 |
CatNo: Eg3206 Product name: Recombinant Rat IL-1RA protein (rFc Tag) Source: mammalian cells-derived, pHZ-KIsec-N-rFc Tag: N-rFc Domain: 27-178 aa of NM_022194.2 Sequence: HPAGKRPCKMQAFRIWDTNQKTFYLRNNQLIAGYLQGPNTKLEEKIDMVPIDFRNVFLGIHGGKLCLSCVKSGDDTKLQLEEVNITDLNKNKEEDKRFTFIRSETGPTTSFESLACPGWFLCTTLEADHPVSLTNTPKEPCTVTKFYFQEDQ 种属同源性预测 |
| 宿主/亚型 | Rabbit / IgG |
| 抗体类别 | Recombinant |
| 产品类型 | Antibody |
| 全称 | interleukin 1 receptor antagonist |
| 别名 | IL1 inhibitor, IL1RA, IL-1ra, Il1rn, IL-1RN |
| 计算分子量 | 20 kDa |
| 观测分子量 | 18-20 kDa |
| GenBank蛋白编号 | NM_022194.2 |
| 基因名称 | Il1rn |
| Gene ID (NCBI) | 60582 |
| RRID | AB_3744281 |
| 偶联类型 | Unconjugated |
| 形式 | Liquid |
| 纯化方式 | Protein A purification |
| UNIPROT ID | P25086 |
| 储存缓冲液 | PBS with 0.02% sodium azide and 50% glycerol, pH 7.3. |
| 储存条件 | Store at -20°C. Stable for one year after shipment. Aliquoting is unnecessary for -20oC storage. |
背景介绍
Interleukin-1 receptor antagonist (IL-1RA) is a critical member of the IL-1 family of cytokines, which plays a significant role in modulating inflammatory responses. IL-1RA exists in two main forms: a secreted form (sIL-1Ra) and an intracellular form (icIL-1Ra). The secreted form is produced by various cells including monocytes, macrophages, neutrophils, and other cells, while the intracellular form is found in keratinocytes and other epithelial cells, as well as in monocytes and fibroblasts. IL-1RA is important in host defense against endotoxin-induced injury and is produced in numerous experimental animal models of disease, as well as in human autoimmune and chronic inflammatory diseases. It acts as an anti-inflammatory agent by maintaining the balance between pro-inflammatory IL-1α/β and its own anti-inflammatory effects.
实验方案
| Product Specific Protocols | |
|---|---|
| IHC protocol for IL-1RA/IL-1RN antibody 85672-3-RR | Download protocol |
| WB protocol for IL-1RA/IL-1RN antibody 85672-3-RR | Download protocol |
| Standard Protocols | |
|---|---|
| Click here to view our Standard Protocols |


