验证数据展示
产品信息
86927-2-PBS targets IL-16 as part of a matched antibody pair:
MP02772-1: 86927-2-PBS capture and 86927-1-PBS detection (validated in Cytometric bead array)
Unconjugated rabbit recombinant monoclonal antibody in PBS only (BSA and azide free) storage buffer at a concentration of 1 mg/mL, ready for conjugation. Created using Proteintech’s proprietary in-house recombinant technology. Recombinant production enables unrivalled batch-to-batch consistency, easy scale-up, and future security of supply.
This conjugation ready format makes antibodies ideal for use in many applications including: ELISAs, multiplex assays requiring matched pairs, mass cytometry, and multiplex imaging applications.Antibody use should be optimized by the end user for each application and assay.
| 经测试应用 | WB, IF/ICC, Cytometric bead array, Indirect ELISA Application Description |
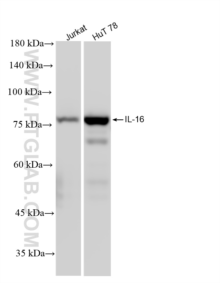
| 经测试反应性 | human |
| 免疫原 |
CatNo: Eg4831 Product name: Recombinant Human IL-16 protein (rFc Tag) Source: mammalian cells-derived, pHZ-KIsec-N-rFc Tag: N-rFc Domain: 1-130 aa of AAC12732.1 Sequence: MPDLNSSTDSAASASAASDVSVESTAEATVCTVTLEKMSAGLGFSLEGGKGSLHGDKPLTINRIFKGAASEQSETVQPGDEILQLGGTAMQGLTRFEAWNIIKALPDGPVTIVIRRKSLQSKETTAAGDS 种属同源性预测 |
| 宿主/亚型 | Rabbit / IgG |
| 抗体类别 | Recombinant |
| 产品类型 | Antibody |
| 全称 | interleukin 16 (lymphocyte chemoattractant factor) |
| 别名 | IL16, IL 16, interleukin-16, prIL 16 |
| 计算分子量 | 9 kDa |
| 观测分子量 | 80 kDa |
| GenBank蛋白编号 | AAC12732.1 |
| 基因名称 | IL-16 |
| Gene ID (NCBI) | 3603 |
| 偶联类型 | Unconjugated |
| 形式 | Liquid |
| 纯化方式 | Protein A purification |
| 储存缓冲液 | PBS only, pH 7.3. |
| 储存条件 | Store at -80°C. The product is shipped with ice packs. Upon receipt, store it immediately at -80°C |
背景介绍
IL-16 is a pleiotropic cytokine that functions as a chemoattractant, a modulator of T cell activation, and an inhibitor of HIV replication. It is mainly produced by T lymphocytes but also by other immune cells, neuronal cells, fibroblasts and epithelial cells. The signaling process of this cytokine is mediated by CD4. IL-16 induces chemotaxis of CD4+ cells such as lymphocytes, eosinophils, and dendritic cells by ligating CD4 directly at a site distinct from other ligands. Among its multiple functions, IL-16 is a T cell chemoattractant involved in T helper cell inflammatory responses and the regulation of both T cell growth, and responsiveness to regulatory cytokines. The cytokine function is exclusively attributed to the secreted C-terminal peptide, while the N-terminal product may play a role in cell cycle control.





