IHCeasy® WWOX Ready-To-Use IHC Kit
WWOX Ready-to-use reagent kit for IHC.
Reactivity
Human, Mouse, Rat
Sample Type
FFPE tissue
Cat no : KHC0651
Synonyms
D16S432E, FOR, FRA16D, HHCMA56, PRO0128, SDR41C1, WOX1, WWOX
Validation Data Gallery
Product Information
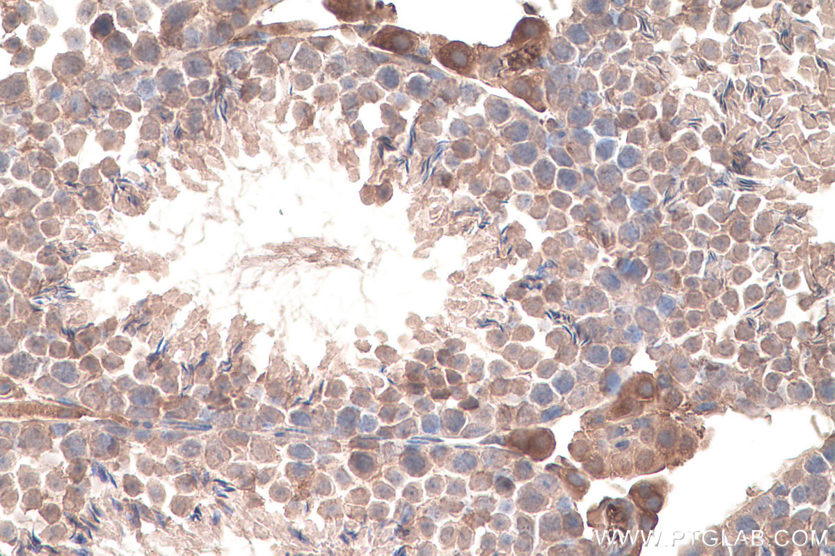
KHC0651 is a ready-to-use IHC kit for staining of WWOX. The kit provides all reagents, from antigen retrieval to cover slip mounting, that require little to no diluting or handling prior to use. Simply apply the reagents to your sample slide according to the protocol and you're steps away from obtaining high-quality IHC data.
| Product name | IHCeasy WWOX Ready-To-Use IHC Kit |
| Sample type | FFPE tissue |
| Assay type | Immunohistochemistry |
| Primary antibody type | Mouse Monoclonal |
| Secondary antibody type | Polymer-HRP-Goat anti-Mouse |
| Reactivity | Human, Mouse, Rat |
Kit components
| Component | Size | Concentration |
|---|---|---|
| Antigen Retrieval Buffer | 100 mL | 50× |
| Washing Buffer | 100 mL ×2 | 20× |
| Blocking Buffer | 5 mL | RTU |
| Primary Antibody | 5 mL | RTU |
| Secondary Antibody | 5 mL | RTU |
| Chromogen Component A | 0.2 mL | RTU |
| Chromogen Component B | 4 mL | RTU |
| Signal Enhancer | 5 mL | RTU |
| Counter Staining Reagent | 5 mL | RTU |
| Mounting Media | 5 mL | RTU |
| Datasheet | 1 Copy | |
| Manual | 1 Copy |
Background Information
WWOX(WW domain-containing oxidoreductase) is also named as FOR, WOX1 and belongs to the short-chain dehydrogenases/reductases (SDR) family. The gene encodes a protein that contains two WW domains and a short-chain dehydrogenase/reductase domain and the protein is lost or reduced in the majority of many cancer types including breast, prostate, esophageal, lung, stomach, and pancreatic carcinomas and in a large fraction of other cancer types. WWOX behaves as a potential tumor-suppressor gene. It has 7 isoforms produced by alternative splicing.
Properties
| Storage Instructions | All the reagents are stored at 2-8°C. The kit is stable for 6 months from the date of receipt. |
| Synonyms | D16S432E, FOR, FRA16D, HHCMA56, PRO0128, SDR41C1, WOX1, WWOX |








