IHCeasy® SRSF10 Ready-To-Use IHC Kit
SRSF10 Ready-to-use reagent kit for IHC.
Reactivity
Human, Mouse, Rat
Sample Type
FFPE tissue
Cat no : KHC1475
Synonyms
40 kDa SR repressor protein, FUSIP1, FUSIP2, NSSR, SFRS13, SFRS13A, Splicing factor SRp38, SRp38, SRrp40, SRSF10, TASR, TASR1, TASR2, TLS associated SR protein
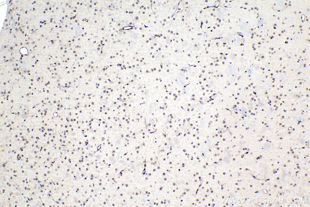
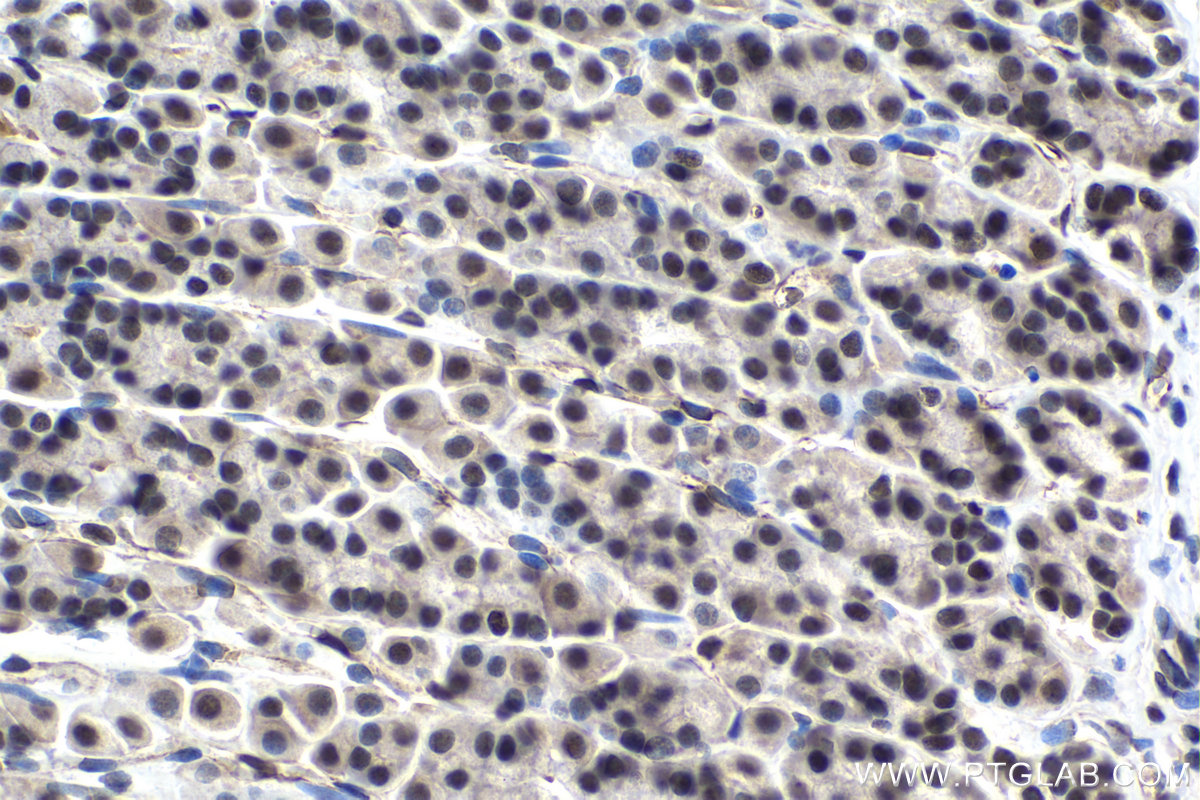
Validation Data Gallery
Product Information
KHC1475 is a ready-to-use IHC kit for staining of SRSF10. The kit provides all reagents, from antigen retrieval to cover slip mounting, that require little to no diluting or handling prior to use. Simply apply the reagents to your sample slide according to the protocol and you're steps away from obtaining high-quality IHC data.
| Product name | IHCeasy SRSF10 Ready-To-Use IHC Kit |
| Sample type | FFPE tissue |
| Assay type | Immunohistochemistry |
| Primary antibody type | Rabbit Polyclonal |
| Secondary antibody type | Polymer-HRP-Goat anti-Rabbit |
| Reactivity | Human, Mouse, Rat |
Kit components
| Component | Size | Concentration |
|---|---|---|
| Antigen Retrieval Buffer | 100 mL | 50× |
| Washing Buffer | 100 mL ×2 | 20× |
| Blocking Buffer | 5 mL | RTU |
| Primary Antibody | 5 mL | RTU |
| Secondary Antibody | 5 mL | RTU |
| Chromogen Component A | 0.2 mL | RTU |
| Chromogen Component B | 4 mL | RTU |
| Signal Enhancer | 5 mL | RTU |
| Counter Staining Reagent | 5 mL | RTU |
| Mounting Media | 5 mL | RTU |
| Datasheet | 1 Copy | |
| Manual | 1 Copy |
Background Information
FUSIP1, also named as SRSF10, SRrp40, SRp38 ,FUSIP2, SFRS13A, or TASR, is a 262 amino acid protein, which belongs to the splicing factor SR family. FUSIP1 as a Splicing factor that in its dephosphorylated form acts as a general repressor of pre-mRNA splicing. FUSIP1 is required for splicing repression in M-phase cells and after heat shock and also acts as a splicing factor that specifically promotes exon skipping during alternative splicing. FUSIP1 Interacting with YTHDC1, a RNA-binding protein that recognizes and binds N6-methyladenosine (m6A)-containing RNAs, prevents SRSF10 from binding to its mRNA-binding sites close to m6A-containing regions, leading to inhibit exon skipping during alternative splicing.
Properties
| Storage Instructions | All the reagents are stored at 2-8°C. The kit is stable for 6 months from the date of receipt. |
| Synonyms | 40 kDa SR repressor protein, FUSIP1, FUSIP2, NSSR, SFRS13, SFRS13A, Splicing factor SRp38, SRp38, SRrp40, SRSF10, TASR, TASR1, TASR2, TLS associated SR protein |







