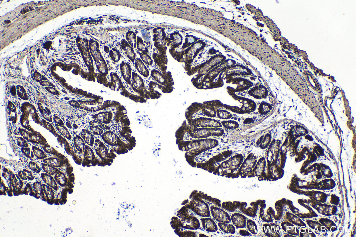
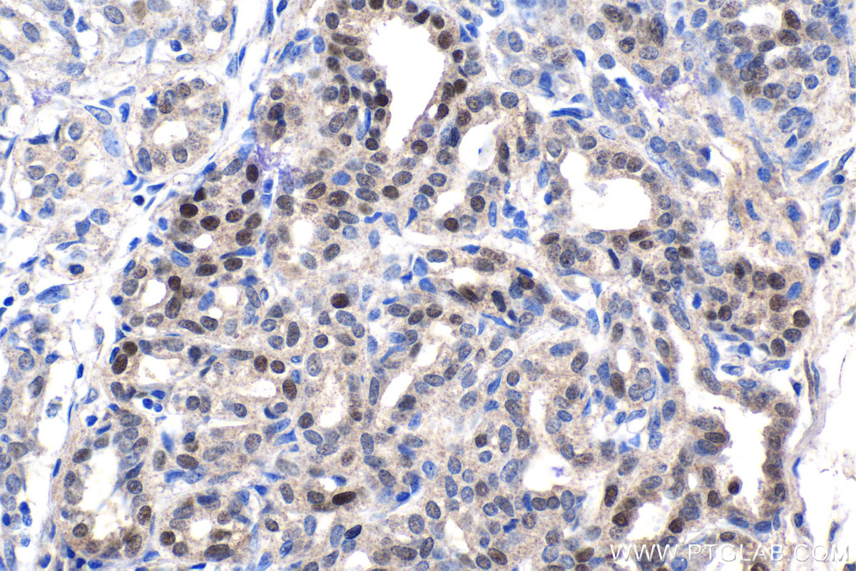
IHCeasy® SDCBP2 Ready-To-Use IHC Kit
SDCBP2 Ready-to-use reagent kit for IHC.
Reactivity
Human, Mouse, Rat
Sample Type
FFPE tissue
Cat no : KHC1373
Synonyms
SDCBP2, SITAC18, ST 2, Syndecan binding protein 2, Syntenin 2
Validation Data Gallery
Product Information
KHC1373 is a ready-to-use IHC kit for staining of SDCBP2. The kit provides all reagents, from antigen retrieval to cover slip mounting, that require little to no diluting or handling prior to use. Simply apply the reagents to your sample slide according to the protocol and you're steps away from obtaining high-quality IHC data.
| Product name | IHCeasy SDCBP2 Ready-To-Use IHC Kit |
| Sample type | FFPE tissue |
| Assay type | Immunohistochemistry |
| Primary antibody type | Rabbit Polyclonal |
| Secondary antibody type | Polymer-HRP-Goat anti-Rabbit |
| Reactivity | Human, Mouse, Rat |
Kit components
| Component | Size | Concentration |
|---|---|---|
| Antigen Retrieval Buffer | 100 mL | 50× |
| Washing Buffer | 100 mL ×2 | 20× |
| Blocking Buffer | 5 mL | RTU |
| Primary Antibody | 5 mL | RTU |
| Secondary Antibody | 5 mL | RTU |
| Chromogen Component A | 0.2 mL | RTU |
| Chromogen Component B | 4 mL | RTU |
| Signal Enhancer | 5 mL | RTU |
| Counter Staining Reagent | 5 mL | RTU |
| Mounting Media | 5 mL | RTU |
| Datasheet | 1 Copy | |
| Manual | 1 Copy |
Background Information
Syndecan-binding protein 2 (SDCBP2, Syntenin 2) is a protein containing two PDZ domains. PDZ domains facilitate protein-protein interactions by binding to the cytoplasmic C-terminus of transmembrane proteins. SDCBP2 binds with high affinity to PIP2 and is targeted to the plasma membrane, nucleoli and nuclear speckles via its PDZ domains. SDCBP2 exists in two alternatively spliced variants, 2α and 2β, which differ in the lengths of their N-terminal regions.
Properties
| Storage Instructions | All the reagents are stored at 2-8°C. The kit is stable for 6 months from the date of receipt. |
| Synonyms | SDCBP2, SITAC18, ST 2, Syndecan binding protein 2, Syntenin 2 |






