IHCeasy® RBBP4 Ready-To-Use IHC Kit
RBBP4 Ready-to-use reagent kit for IHC.
Reactivity
Human, Mouse, Rat
Sample Type
FFPE tissue
Cat no : KHC0918
Synonyms
CAF 1 subunit C, CAF I 48 kDa subunit, CAF I p48, Histone binding protein RBBP4, NURF55, RBAP48, RBBP 4, RBBP4
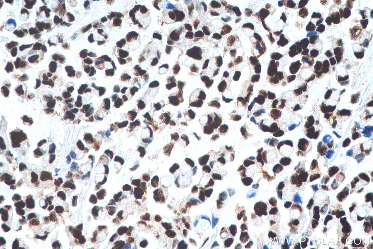
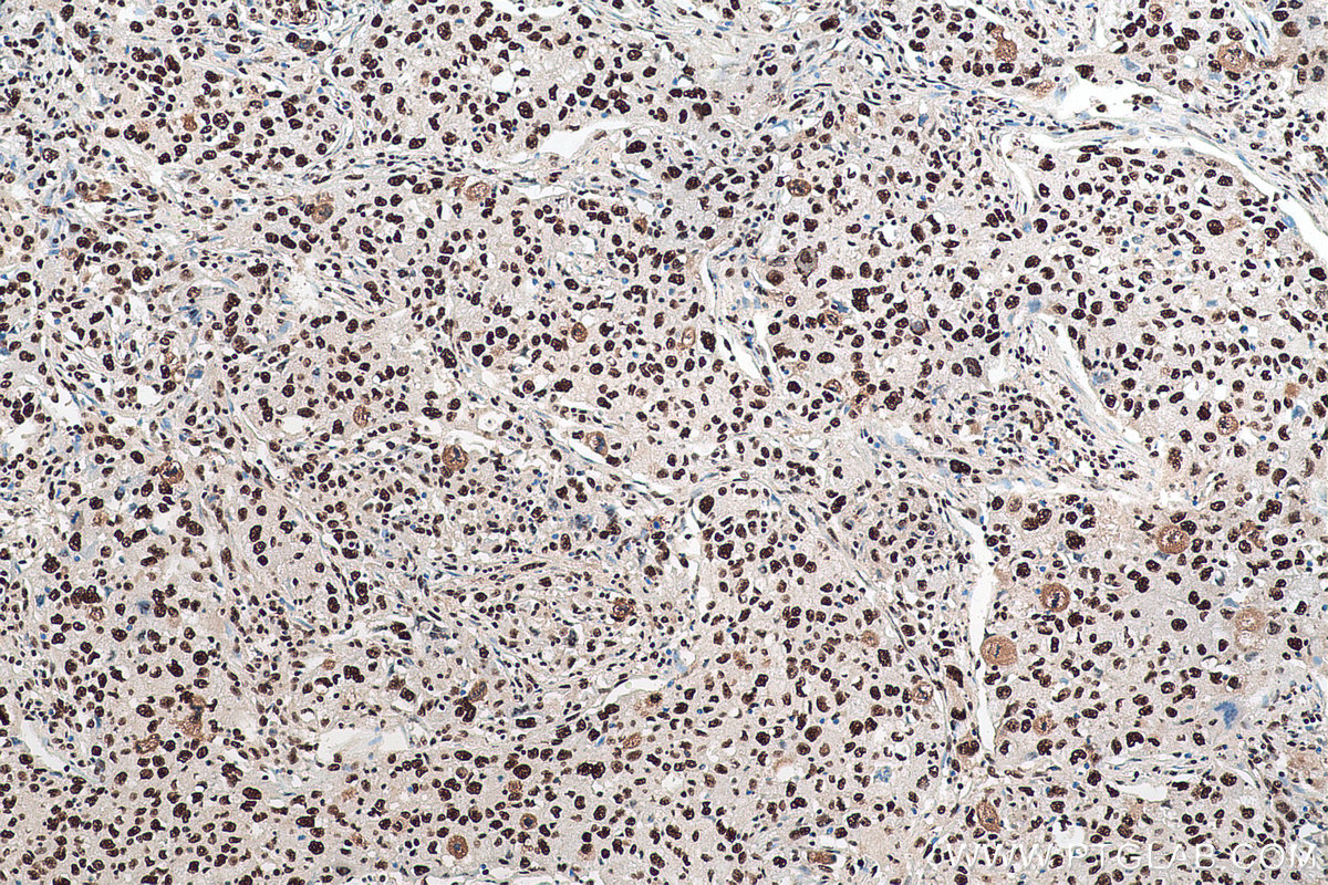
Validation Data Gallery
Product Information
KHC0918 is a ready-to-use IHC kit for staining of RBBP4. The kit provides all reagents, from antigen retrieval to cover slip mounting, that require little to no diluting or handling prior to use. Simply apply the reagents to your sample slide according to the protocol and you're steps away from obtaining high-quality IHC data.
| Product name | IHCeasy RBBP4 Ready-To-Use IHC Kit |
| Sample type | FFPE tissue |
| Assay type | Immunohistochemistry |
| Primary antibody type | Mouse Monoclonal |
| Secondary antibody type | Polymer-HRP-Goat anti-Mouse |
| Reactivity | Human, Mouse, Rat |
Kit components
| Component | Size | Concentration |
|---|---|---|
| Antigen Retrieval Buffer | 100 mL | 50× |
| Washing Buffer | 100 mL ×2 | 20× |
| Blocking Buffer | 5 mL | RTU |
| Primary Antibody | 5 mL | RTU |
| Secondary Antibody | 5 mL | RTU |
| Chromogen Component A | 0.2 mL | RTU |
| Chromogen Component B | 4 mL | RTU |
| Signal Enhancer | 5 mL | RTU |
| Counter Staining Reagent | 5 mL | RTU |
| Mounting Media | 5 mL | RTU |
| Datasheet | 1 Copy | |
| Manual | 1 Copy |
Background Information
Histone-binding protein RBBP4 (also known as RbAp48, or NURF55) is a protein that in humans is encoded by the RBBP4 gene. This gene encodes a ubiquitously expressed nuclear protein that belongs to a highly conserved subfamily of WD-repeat proteins. It is present in protein complexes involved in histone acetylation and chromatin assembly. It is part of the Mi-2/NuRD complex complex that has been implicated in chromatin remodeling and transcriptional repression associated with histone deacetylation. This encoded protein is also part of corepressor complexes, which is an integral component of transcriptional silencing. It is found among several cellular proteins that bind directly to retinoblastoma protein to regulate cell proliferation. A decrease of RbAp48 in the dentate gyrus (DG) of the hippocampus in the brain is suspected to be a main cause of memory loss in normal aging.
Properties
| Storage Instructions | All the reagents are stored at 2-8°C. The kit is stable for 6 months from the date of receipt. |
| Synonyms | CAF 1 subunit C, CAF I 48 kDa subunit, CAF I p48, Histone binding protein RBBP4, NURF55, RBAP48, RBBP 4, RBBP4 |







