IHCeasy® RAC1 Ready-To-Use IHC Kit
RAC1 Ready-to-use reagent kit for IHC.
Reactivity
Human, Mouse, Rat
Sample Type
FFPE tissue
Cat no : KHC2356
Synonyms
MIG5, Ras like protein TC25, p21-Rac1, p21 Rac1, EC:3.6.5.2
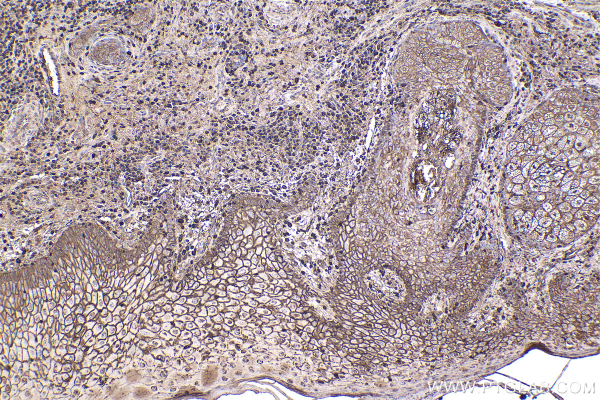
Validation Data Gallery
Product Information
KHC2356 is a ready-to-use IHC kit for staining of RAC1. The kit provides all reagents, from antigen retrieval to cover slip mounting, that require little to no diluting or handling prior to use. Simply apply the reagents to your sample slide according to the protocol and you're steps away from obtaining high-quality IHC data.
| Product name | IHCeasy RAC1 Ready-To-Use IHC Kit | 
| Sample type | FFPE tissue | 
| Assay type | Immunohistochemistry | 
| Primary antibody type | Mouse Monoclonal | 
| Secondary antibody type | Polymer-HRP-Goat anti-Mouse | 
| Reactivity | Human, Mouse, Rat | 
Kit components
| Component | Size | Concentration | 
|---|---|---|
| Antigen Retrieval Buffer | 100 mL | 50× | 
| Washing Buffer | 100 mL ×2 | 20× | 
| Blocking Buffer | 5 mL | RTU | 
| Primary Antibody | 5 mL | RTU | 
| Secondary Antibody | 5 mL | RTU | 
| Chromogen Component A | 0.2 mL | RTU | 
| Chromogen Component B | 4 mL | RTU | 
| Signal Enhancer | 5 mL | RTU | 
| Counter Staining Reagent | 5 mL | RTU | 
| Mounting Media | 5 mL | RTU | 
| Datasheet | 1 Copy | |
| Manual | 1 Copy | 
Background Information
RAC1b, also named as TC25, belongs to the small GTPase superfamily and Rho family. RAC1 is a plasma membrane-associated small GTPase which cycles between active GTP-bound and inactive GDP-bound states. In its active state, it binds to a variety of effector proteins to regulate cellular responses such as secretory processes, phagocytosis of apoptotic cells, epithelial cell polarization and growth-factor induced formation of membrane ruffles.
Properties
| Storage Instructions | All the reagents are stored at 2-8°C. The kit is stable for 6 months from the date of receipt. | 
| Synonyms | MIG5, Ras like protein TC25, p21-Rac1, p21 Rac1, EC:3.6.5.2 | 







