IHCeasy® PRPF38A Ready-To-Use IHC Kit
PRPF38A Ready-to-use reagent kit for IHC.
Reactivity
Human, Mouse, Rat
Sample Type
FFPE tissue
Cat no : KHC2684
Synonyms
PRPF38A,Pre mRNA splicing factor 38A,Pre-mRNA-spli
Validation Data Gallery
Product Information
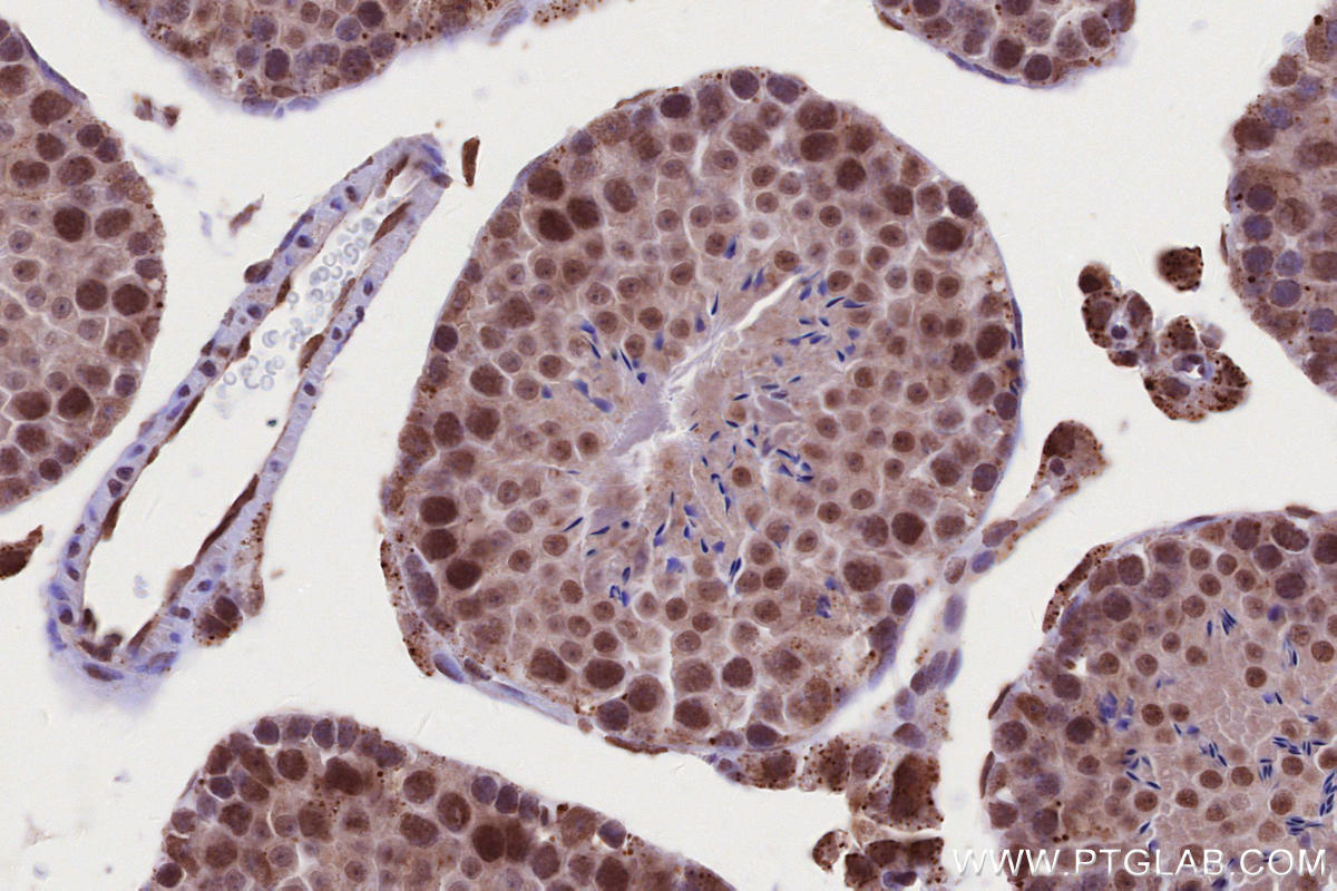
KHC2684 is a ready-to-use IHC kit for staining of PRPF38A. The kit provides all reagents, from antigen retrieval to cover slip mounting, that require little to no diluting or handling prior to use. Simply apply the reagents to your sample slide according to the protocol and you're steps away from obtaining high-quality IHC data.
| Product name | IHCeasy PRPF38A Ready-To-Use IHC Kit |
| Sample type | FFPE tissue |
| Assay type | Immunohistochemistry |
| Primary antibody type | Rabbit Polyclonal |
| Secondary antibody type | Polymer-HRP-Goat anti-Rabbit |
| Reactivity | Human, Mouse, Rat |
Kit components
| Component | Size | Concentration |
|---|---|---|
| Antigen Retrieval Buffer | 100 mL | 50× |
| Washing Buffer | 100 mL ×2 | 20× |
| Blocking Buffer | 5 mL | RTU |
| Primary Antibody | 5 mL | RTU |
| Secondary Antibody | 5 mL | RTU |
| Chromogen Component A | 0.2 mL | RTU |
| Chromogen Component B | 4 mL | RTU |
| Signal Enhancer | 5 mL | RTU |
| Counter Staining Reagent | 5 mL | RTU |
| Mounting Media | 5 mL | RTU |
| Datasheet | 1 Copy | |
| Manual | 1 Copy |
Background Information
RPF38A was identified as an essential splicing factor in yeast and was found to be important for the progression of the splicing process to the first splicing step in this organism. PRPF38A is one of nine splicing factors that are specifically incorporated during the formation of the pre-catalytic spliceosomal B complex (B-specific proteins) and that are released again during spliceosome activation3. PRPF38A knockdown led to widespread intronic retention and altered splicing of transcripts of genes implicated in protein metabolism, mitosis, proteasome function and apoptosis.
Properties
| Storage Instructions | All the reagents are stored at 2-8°C. The kit is stable for 6 months from the date of receipt. |
| Synonyms | PRPF38A,Pre mRNA splicing factor 38A,Pre-mRNA-spli |




