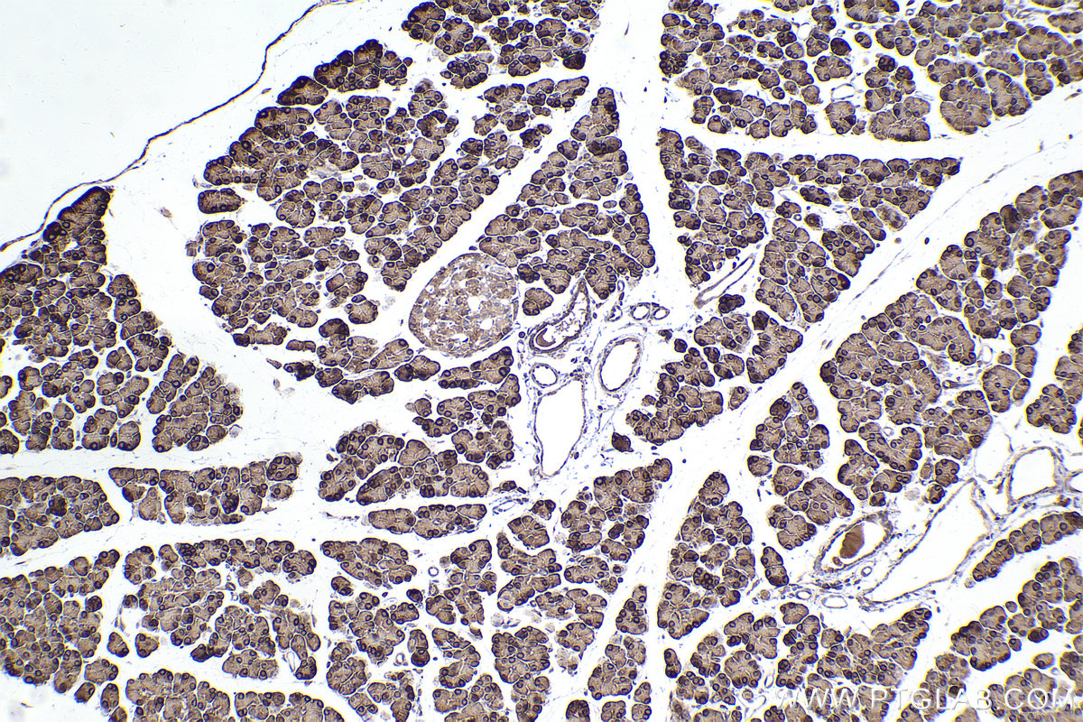
IHCeasy® PRDX4 Ready-To-Use IHC Kit
PRDX4 Ready-to-use reagent kit for IHC.
Reactivity
Human, Mouse, Rat
Sample Type
FFPE tissue
Cat no : KHC2419
Synonyms
PRDX4,Antioxidant enzyme AOE372,AOE37 2,AOE37-2,EC
Validation Data Gallery
Product Information
KHC2419 is a ready-to-use IHC kit for staining of PRDX4. The kit provides all reagents, from antigen retrieval to cover slip mounting, that require little to no diluting or handling prior to use. Simply apply the reagents to your sample slide according to the protocol and you're steps away from obtaining high-quality IHC data.
| Product name | IHCeasy PRDX4 Ready-To-Use IHC Kit | 
| Sample type | FFPE tissue | 
| Assay type | Immunohistochemistry | 
| Primary antibody type | Mouse Monoclonal | 
| Secondary antibody type | Polymer-HRP-Goat anti-Mouse | 
| Reactivity | Human, Mouse, Rat | 
Kit components
| Component | Size | Concentration | 
|---|---|---|
| Antigen Retrieval Buffer | 100 mL | 50× | 
| Washing Buffer | 100 mL ×2 | 20× | 
| Blocking Buffer | 5 mL | RTU | 
| Primary Antibody | 5 mL | RTU | 
| Secondary Antibody | 5 mL | RTU | 
| Chromogen Component A | 0.2 mL | RTU | 
| Chromogen Component B | 4 mL | RTU | 
| Signal Enhancer | 5 mL | RTU | 
| Counter Staining Reagent | 5 mL | RTU | 
| Mounting Media | 5 mL | RTU | 
| Datasheet | 1 Copy | |
| Manual | 1 Copy | 
Background Information
PRDX4(Peroxiredoxin-4) is also named as AOE37-2, Prx-IV and belongs to the AhpC/TSA family. PRDX4 is associated with acrosome formation during rat spermatogenesis and has a protective role in the male reproductive tract, because the phenotype of mice lacking this isoform includes testicular atrophy and increased sperm DNA damage. It is initially synthesized as a membrane-binding 31-kDa protein and processed into a 27-kDa secretory form and is discarded with the residual bodies.
Properties
| Storage Instructions | All the reagents are stored at 2-8°C. The kit is stable for 6 months from the date of receipt. | 
| Synonyms | PRDX4,Antioxidant enzyme AOE372,AOE37 2,AOE37-2,EC | 








