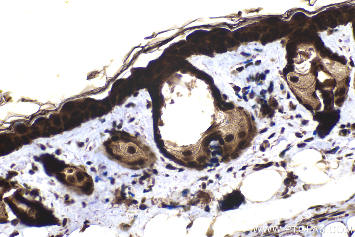
IHCeasy® POLR3G Ready-To-Use IHC Kit
POLR3G Ready-to-use reagent kit for IHC.
Reactivity
Human, Mouse, Rat
Sample Type
FFPE tissue
Cat no : KHC2071
Synonyms
DNA-directed RNA polymerase III subunit G, DNA-directed RNA polymerase III subunit RPC7, RNA polymerase III 32 kDa apha subunit, RPC32, RPC32-alpha
Validation Data Gallery
Product Information
KHC2071 is a ready-to-use IHC kit for staining of POLR3G. The kit provides all reagents, from antigen retrieval to cover slip mounting, that require little to no diluting or handling prior to use. Simply apply the reagents to your sample slide according to the protocol and you're steps away from obtaining high-quality IHC data.
| Product name | IHCeasy® POLR3G Ready-To-Use IHC Kit |
| Sample type | FFPE tissue |
| Assay type | Immunohistochemistry |
| Primary antibody type | Rabbit Polyclonal |
| Secondary antibody type | Polymer-HRP-Goat anti-Rabbit |
| Reactivity | Human, Mouse, Rat |
Kit components
| Component | Size | Concentration |
|---|---|---|
| Antigen Retrieval Buffer | 100 mL | 50× |
| Washing Buffer | 100 mL ×2 | 20× |
| Blocking Buffer | 5 mL | RTU |
| Primary Antibody | 5 mL | RTU |
| Secondary Antibody | 5 mL | RTU |
| Chromogen Component A | 0.2 mL | RTU |
| Chromogen Component B | 4 mL | RTU |
| Signal Enhancer | 5 mL | RTU |
| Counter Staining Reagent | 5 mL | RTU |
| Mounting Media | 5 mL | RTU |
| Datasheet | 1 Copy | |
| Manual | 1 Copy |
Background Information
POLR3G also named as RNA polymerase III subunit C7 is a 223 amino acid protein, which belongs to eukaryotic RPC7 RNA polymerase subunit family. POLR3G localizes in the nucleus and is a component of the RNA polymerase III complex, which may be involved either in the recruitment and stablization of the subcomplex within RNA polymerase III, or in stimulating catalytic functions of other subunits during initiation.
Properties
| Storage Instructions | All the reagents are stored at 2-8°C. The kit is stable for 6 months from the date of receipt. |
| Synonyms | DNA-directed RNA polymerase III subunit G, DNA-directed RNA polymerase III subunit RPC7, RNA polymerase III 32 kDa apha subunit, RPC32, RPC32-alpha |








