IHCeasy® POLDIP2 Ready-To-Use IHC Kit
POLDIP2 Ready-to-use reagent kit for IHC.
Reactivity
Human, Mouse, Rat
Sample Type
FFPE tissue
Cat no : KHC3057
Synonyms
HSPC017, p38, PDIP38, POLD4, Polymerase delta-interacting protein 2
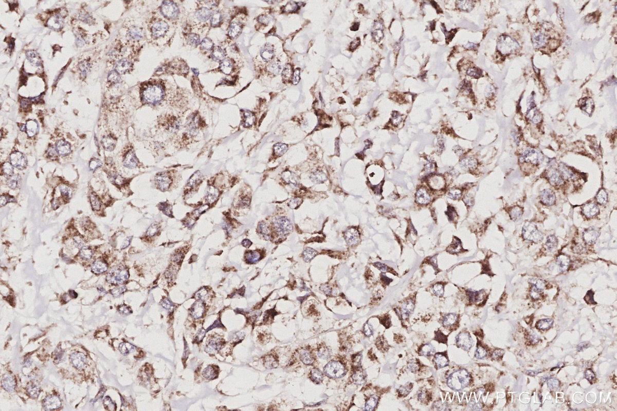
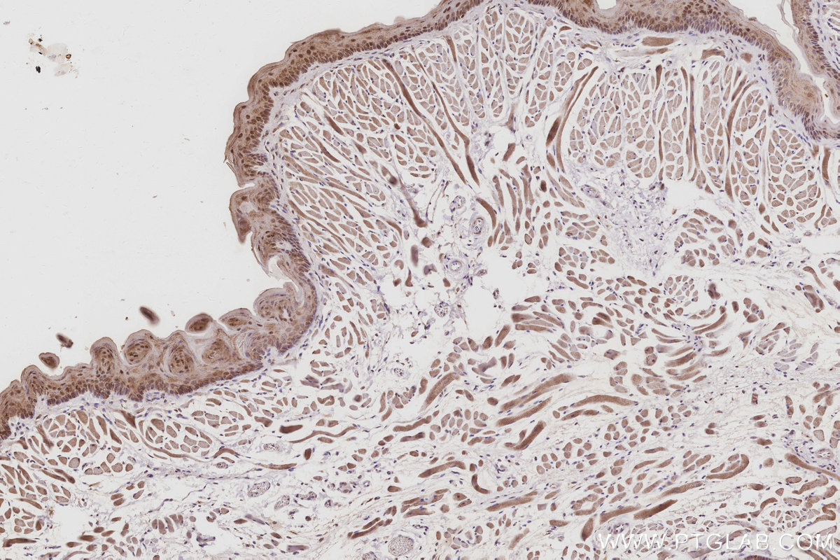
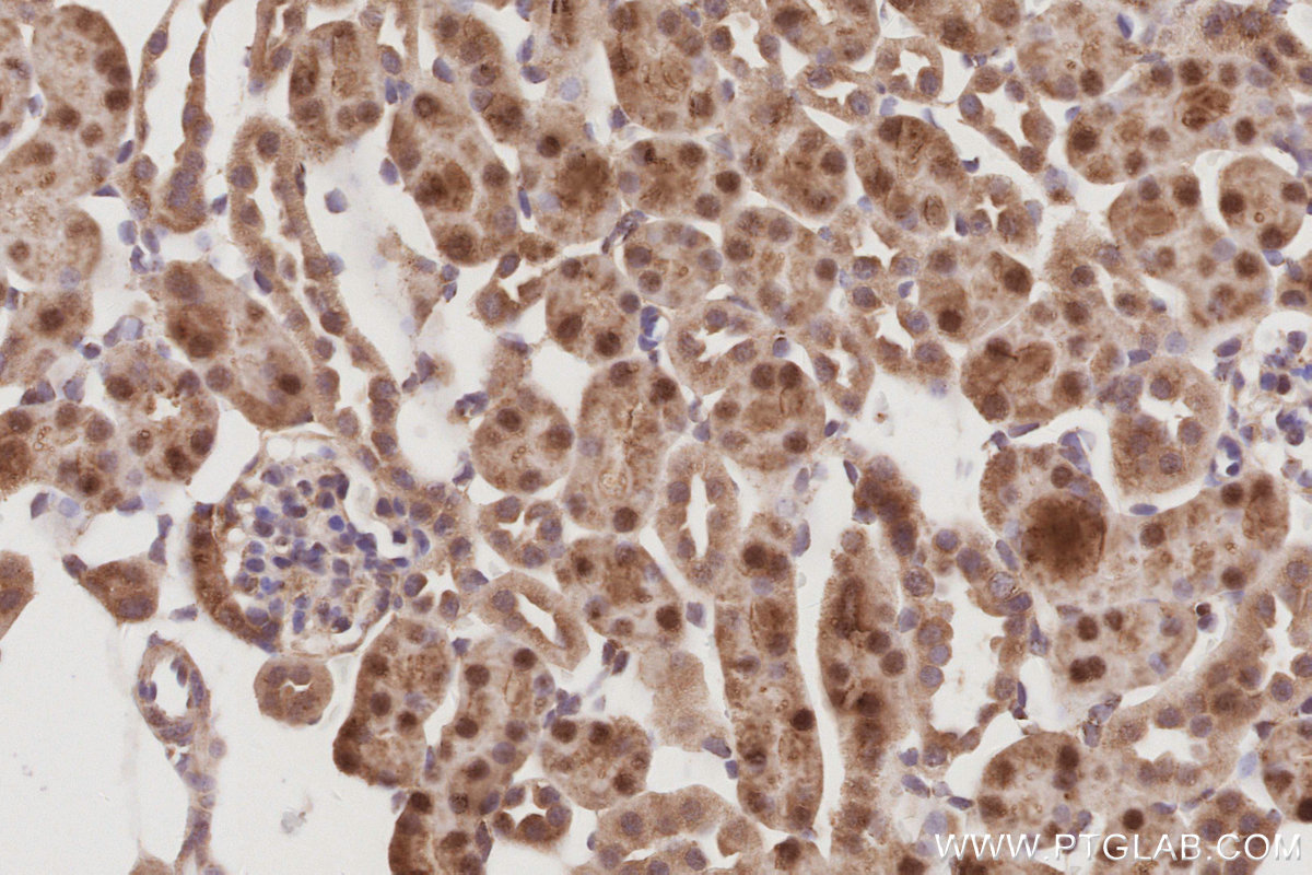
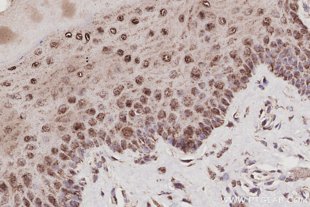
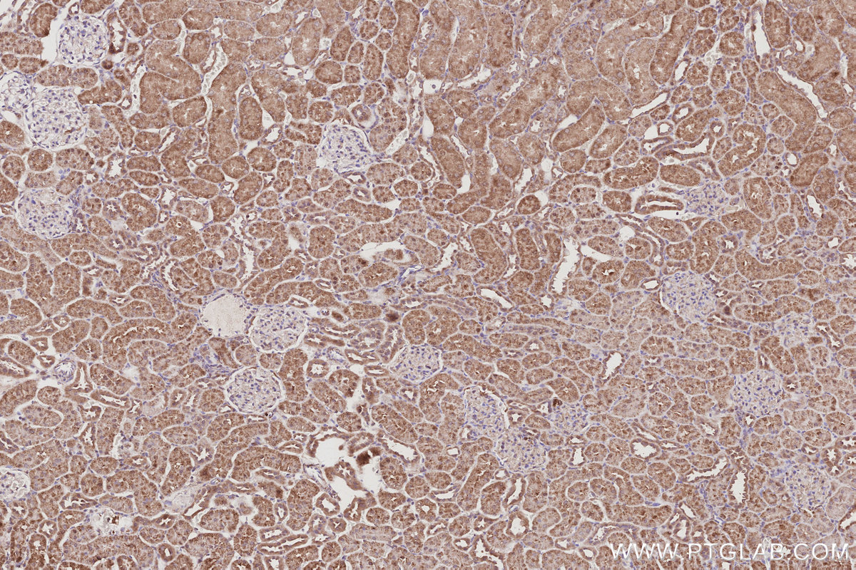
Validation Data Gallery
Product Information
KHC3057 is a ready-to-use IHC kit for staining of POLDIP2. The kit provides all reagents, from antigen retrieval to cover slip mounting, that require little to no diluting or handling prior to use. Simply apply the reagents to your sample slide according to the protocol and you're steps away from obtaining high-quality IHC data.
| Product name | IHCeasy® POLDIP2 Ready-To-Use IHC Kit |
| Sample type | FFPE tissue |
| Assay type | Immunohistochemistry |
| Primary antibody type | Rabbit Recombinant |
| Secondary antibody type | Polymer-HRP-Goat anti-Rabbit |
| Reactivity | Human, Mouse, Rat |
Kit components
| Component | Size | Concentration |
|---|---|---|
| Antigen Retrieval Buffer | 100 mL | 50× |
| Washing Buffer | 100 mL ×2 | 20× |
| Blocking Buffer | 5 mL | RTU |
| Primary Antibody | 5 mL | RTU |
| Secondary Antibody | 5 mL | RTU |
| Chromogen Component A | 0.2 mL | RTU |
| Chromogen Component B | 4 mL | RTU |
| Signal Enhancer | 5 mL | RTU |
| Counter Staining Reagent | 5 mL | RTU |
| Mounting Media | 5 mL | RTU |
| Datasheet | 1 Copy | |
| Manual | 1 Copy |
Background Information
POLDIP2(Polymerase delta-interacting protein 2) is also named as PDIP38, POLD4. It is as a unique positive regulator of Nox4 via its association with p22phox and together with Nox4, has profound effects on Rhodependent cytoskeletal remodeling. It is also as a regulator of cell division. Endogenous human and rat POLDIP2 localized to the nucleus, plasma membrane, and cytoplasm.
Properties
| Storage Instructions | All the reagents are stored at 2-8°C. The kit is stable for 6 months from the date of receipt. |
| Synonyms | HSPC017, p38, PDIP38, POLD4, Polymerase delta-interacting protein 2 |







