IHCeasy® PEBP1 Ready-To-Use IHC Kit
PEBP1 Ready-to-use reagent kit for IHC.
Reactivity
Human, Rat
Sample Type
FFPE tissue
Cat no : KHC0500
Synonyms
HCNP, HCNPpp, Neuropolypeptide h3, PBP, PEBP, PEBP 1, PEBP1, Prostatic binding protein, Raf kinase inhibitor protein, RKIP
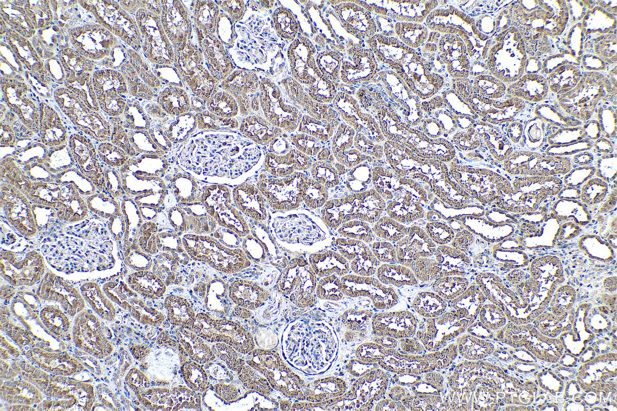
Validation Data Gallery
Product Information
KHC0500 is a ready-to-use IHC kit for staining of PEBP1. The kit provides all reagents, from antigen retrieval to cover slip mounting, that require little to no diluting or handling prior to use. Simply apply the reagents to your sample slide according to the protocol and you're steps away from obtaining high-quality IHC data.
| Product name | IHCeasy PEBP1 Ready-To-Use IHC Kit |
| Sample type | FFPE tissue |
| Assay type | Immunohistochemistry |
| Primary antibody type | Mouse Monoclonal |
| Secondary antibody type | Polymer-HRP-Goat anti-Mouse |
| Reactivity | Human, Rat |
Kit components
| Component | Size | Concentration |
|---|---|---|
| Antigen Retrieval Buffer | 100 mL | 50× |
| Washing Buffer | 100 mL ×2 | 20× |
| Blocking Buffer | 5 mL | RTU |
| Primary Antibody | 5 mL | RTU |
| Secondary Antibody | 5 mL | RTU |
| Chromogen Component A | 0.2 mL | RTU |
| Chromogen Component B | 4 mL | RTU |
| Signal Enhancer | 5 mL | RTU |
| Counter Staining Reagent | 5 mL | RTU |
| Mounting Media | 5 mL | RTU |
| Datasheet | 1 Copy | |
| Manual | 1 Copy |
Background Information
Phosphatidylethanolamine binding protein PEBP1, also termed Raf kinase inhibitor protein (RKIP), was initially identified as a potent inhibitor of Raf-1/MEK/ERK, NF-kB, and G-protein-coupled receptor signaling pathways. Later RKIP has been further identified as a metastasis suppressor and its loss of expression has been reported in various cancers. Its expression has been proposed as a prognostic marker for patients diagnosed with the above cancers.
Properties
| Storage Instructions | All the reagents are stored at 2-8°C. The kit is stable for 6 months from the date of receipt. |
| Synonyms | HCNP, HCNPpp, Neuropolypeptide h3, PBP, PEBP, PEBP 1, PEBP1, Prostatic binding protein, Raf kinase inhibitor protein, RKIP |






