IHCeasy® NDUFB7 Ready-To-Use IHC Kit
NDUFB7 Ready-to-use reagent kit for IHC.
Reactivity
Human, Mouse, Rat
Sample Type
FFPE tissue
Cat no : KHC3193
Synonyms
B18, Cell adhesion protein SQM1, CI B18, CI-B18, Complex I B18
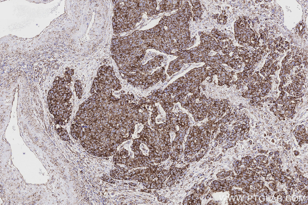
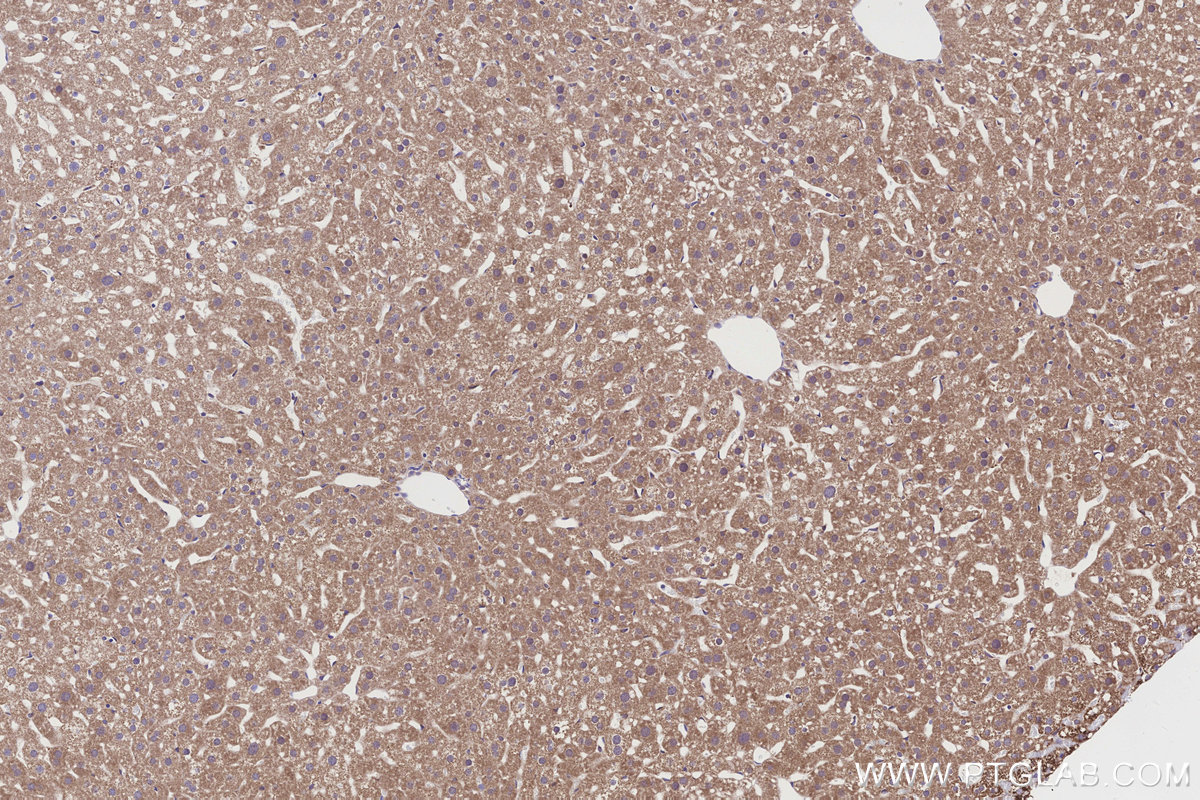
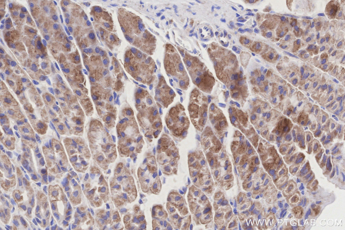
Validation Data Gallery
Product Information
KHC3193 is a ready-to-use IHC kit for staining of NDUFB7. The kit provides all reagents, from antigen retrieval to cover slip mounting, that require little to no diluting or handling prior to use. Simply apply the reagents to your sample slide according to the protocol and you're steps away from obtaining high-quality IHC data.
| Product name | IHCeasy® NDUFB7 Ready-To-Use IHC Kit |
| Sample type | FFPE tissue |
| Assay type | Immunohistochemistry |
| Primary antibody type | Rabbit Polyclonal |
| Secondary antibody type | Polymer-HRP-Goat anti-Rabbit |
| Reactivity | Human, Mouse, Rat |
Kit components
| Component | Size | Concentration |
|---|---|---|
| Antigen Retrieval Buffer | 100 mL | 50× |
| Washing Buffer | 100 mL ×2 | 20× |
| Blocking Buffer | 5 mL | RTU |
| Primary Antibody | 5 mL | RTU |
| Secondary Antibody | 5 mL | RTU |
| Chromogen Component A | 0.2 mL | RTU |
| Chromogen Component B | 4 mL | RTU |
| Signal Enhancer | 5 mL | RTU |
| Counter Staining Reagent | 5 mL | RTU |
| Mounting Media | 5 mL | RTU |
| Datasheet | 1 Copy | |
| Manual | 1 Copy |
Background Information
NDUFB7(NADH dehydrogenase [ubiquinone] 1 beta subcomplex subunit 7) is also named as CI-B18 and belongs to the complex I NDUFB7 subunit family. It is an accessory subunit of the mitochondrial membrane respiratory chain NADH dehydrogenase (Complex I), which couples the oxidation of NADH to the reduction of ubiquinone and the translocation of protons across the inner membrane. NDUFB7 protein lacks a mitochondrial targeting signal and transmembrane domains. However, it has a Cx(9)C motif that includes an intermembrane space targeting signal.
Properties
| Storage Instructions | All the reagents are stored at 2-8°C. The kit is stable for 6 months from the date of receipt. |
| Synonyms | B18, Cell adhesion protein SQM1, CI B18, CI-B18, Complex I B18 |






