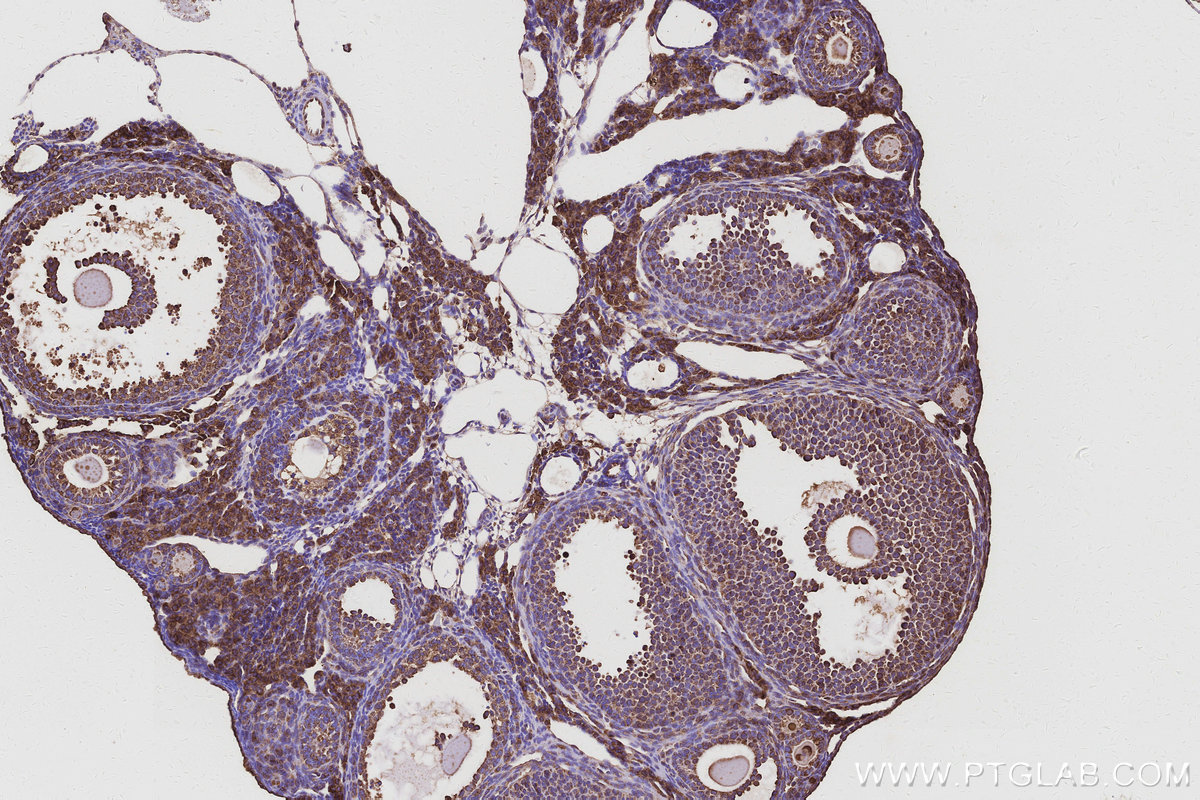
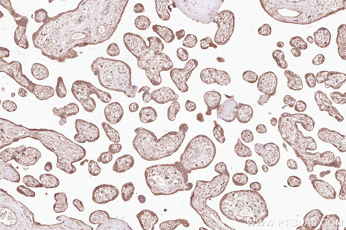
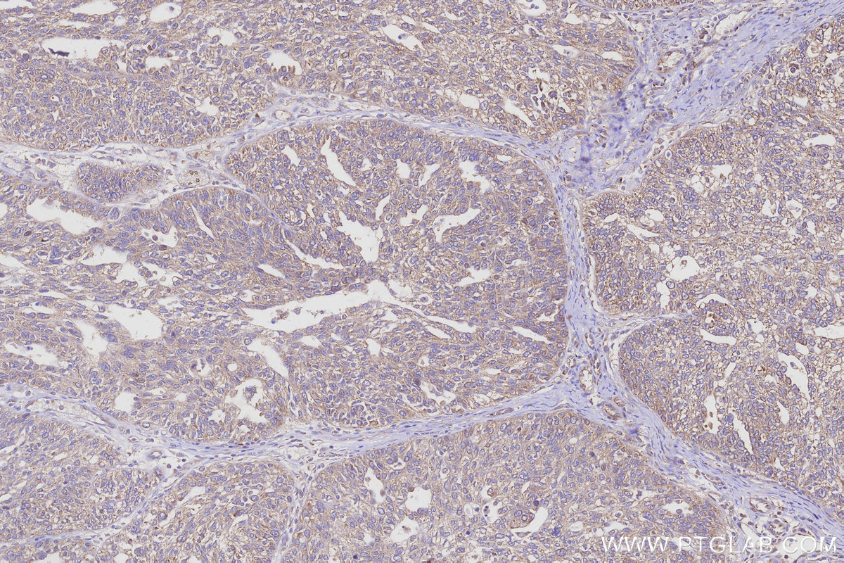
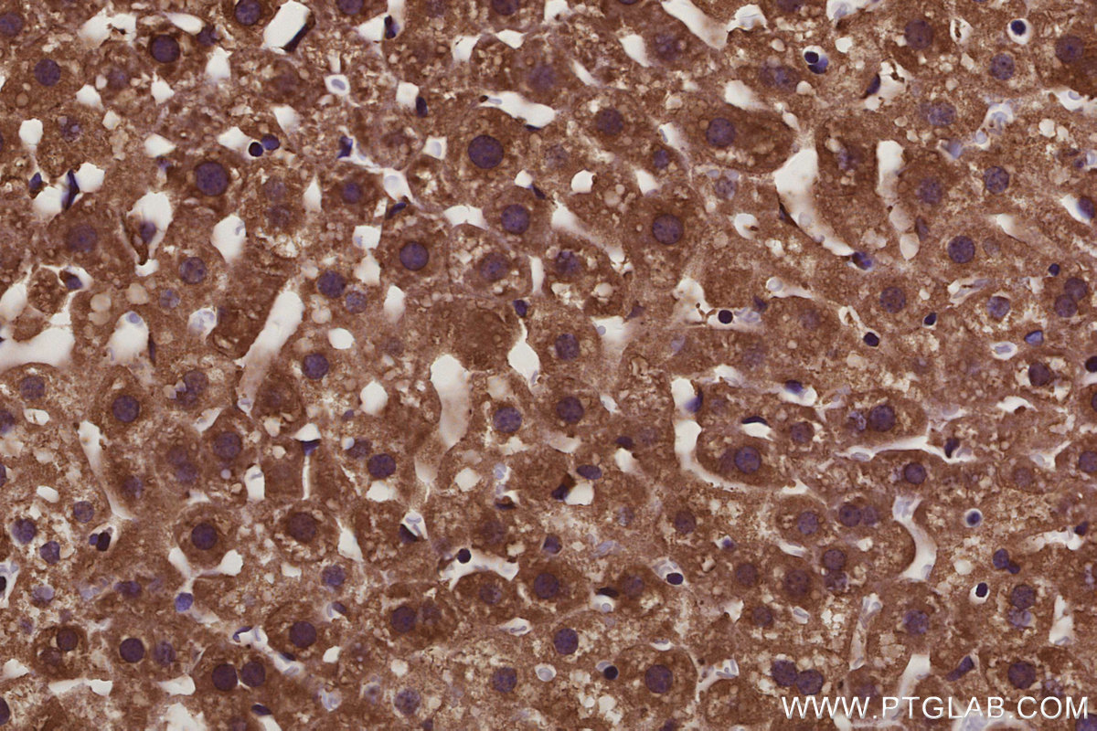
IHCeasy® NACA Ready-To-Use IHC Kit

NACA Ready-to-use reagent kit for IHC.

Reactivity

Human, Mouse, Rat

Sample Type

FFPE tissue

Cat no : KHC3098

Synonyms

Alpha NAC, Hom s 2, HSD48, NAC alpha, NACA1



Product Information

KHC3098 is a ready-to-use IHC kit for staining of NACA. The kit provides all reagents, from antigen retrieval to cover slip mounting, that require little to no diluting or handling prior to use. Simply apply the reagents to your sample slide according to the protocol and you're steps away from obtaining high-quality IHC data.

Product name IHCeasy® NACA Ready-To-Use IHC Kit
Sample type FFPE tissue
Assay type Immunohistochemistry
Primary antibody type Rabbit Polyclonal
Secondary antibody type Polymer-HRP-Goat anti-Rabbit
Reactivity Human, Mouse, Rat

Kit components

ComponentSizeConcentration
Antigen Retrieval Buffer100 mL50×
Washing Buffer100 mL ×220×
Blocking Buffer5 mLRTU
Primary Antibody5 mLRTU
Secondary Antibody5 mLRTU
Chromogen Component A0.2 mLRTU
Chromogen Component B4 mLRTU
Signal Enhancer5 mLRTU
Counter Staining Reagent5 mLRTU
Mounting Media5 mLRTU
Datasheet1 Copy
Manual1 Copy

Background Information

NACA (NAC-alpha), or Nascent polypeptide-associated complex subunit alpha, is a component of the nascent polypeptide-associated complex (NAC). NACA is a key subunit of the NAC complex that assists in the proper folding of newly synthesized proteins and prevents the formation of harmful protein aggregates, playing a vital role in cellular protein quality control and stress response mechanisms.

Properties

Storage Instructions All the reagents are stored at 2-8°C. The kit is stable for 6 months from the date of receipt.
Synonyms Alpha NAC, Hom s 2, HSD48, NAC alpha, NACA1
||
New chat Able
正在加载,请稍候...