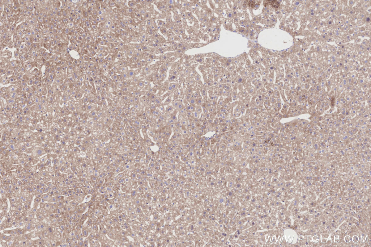
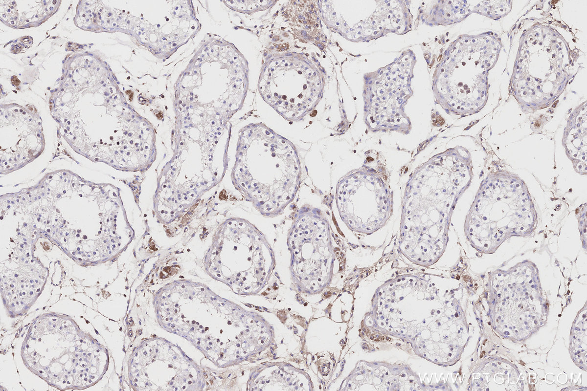
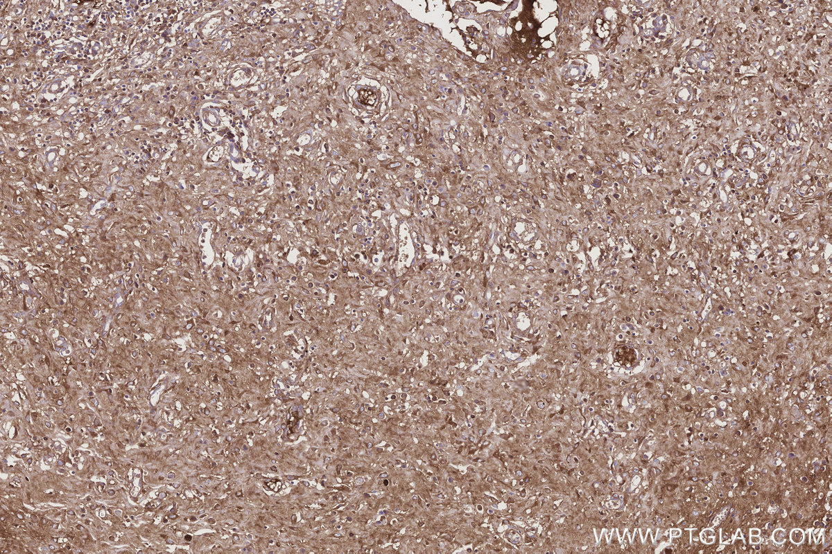
IHCeasy® ITIH1 Ready-To-Use IHC Kit

ITIH1 Ready-to-use reagent kit for IHC.

Reactivity

Human, Mouse

Sample Type

FFPE tissue

Cat no : KHC3196

Synonyms

Inter-alpha-inhibitor heavy chain 1, Inter-alpha-trypsin inhibitor complex component III, Inter-alpha-trypsin inhibitor heavy chain H1, Serum-derived hyaluronan-associated protein



Product Information

KHC3196 is a ready-to-use IHC kit for staining of ITIH1. The kit provides all reagents, from antigen retrieval to cover slip mounting, that require little to no diluting or handling prior to use. Simply apply the reagents to your sample slide according to the protocol and you're steps away from obtaining high-quality IHC data.

Product name IHCeasy® ITIH1 Ready-To-Use IHC Kit
Sample type FFPE tissue
Assay type Immunohistochemistry
Primary antibody type Rabbit Polyclonal
Secondary antibody type Polymer-HRP-Goat anti-Rabbit
Reactivity Human, Mouse

Kit components

ComponentSizeConcentration
Antigen Retrieval Buffer100 mL50×
Washing Buffer100 mL ×220×
Blocking Buffer5 mLRTU
Primary Antibody5 mLRTU
Secondary Antibody5 mLRTU
Chromogen Component A0.2 mLRTU
Chromogen Component B4 mLRTU
Signal Enhancer5 mLRTU
Counter Staining Reagent5 mLRTU
Mounting Media5 mLRTU
Datasheet1 Copy
Manual1 Copy

Background Information

ITIH1 (inter-alpha-trypsin inhibitor heavy chain 1), also named as IGHEP1 and SHAP. It is a key component of the inter-alpha-trypsin inhibitor (ITI) family, which plays a crucial role in extracellular matrix (ECM) stabilization and inflammation regulation. ITIH1 forms a complex with bikunin (a light chain) and other heavy chains (ITIH2, ITIH3, ITIH4), contributing to the stabilization of hyaluronan-rich matrices.

Properties

Storage Instructions All the reagents are stored at 2-8°C. The kit is stable for 6 months from the date of receipt.
Synonyms Inter-alpha-inhibitor heavy chain 1, Inter-alpha-trypsin inhibitor complex component III, Inter-alpha-trypsin inhibitor heavy chain H1, Serum-derived hyaluronan-associated protein
||
New chat Able
正在加载,请稍候...