IHCeasy® IER2 Ready-To-Use IHC Kit
IER2 Ready-to-use reagent kit for IHC.
Reactivity
Human, Mouse, Rat
Sample Type
FFPE tissue
Cat no : KHC1904
Synonyms
3CH92, CHX1, ETR101, IER2, immediate early response 2, Pip92, Protein ETR101
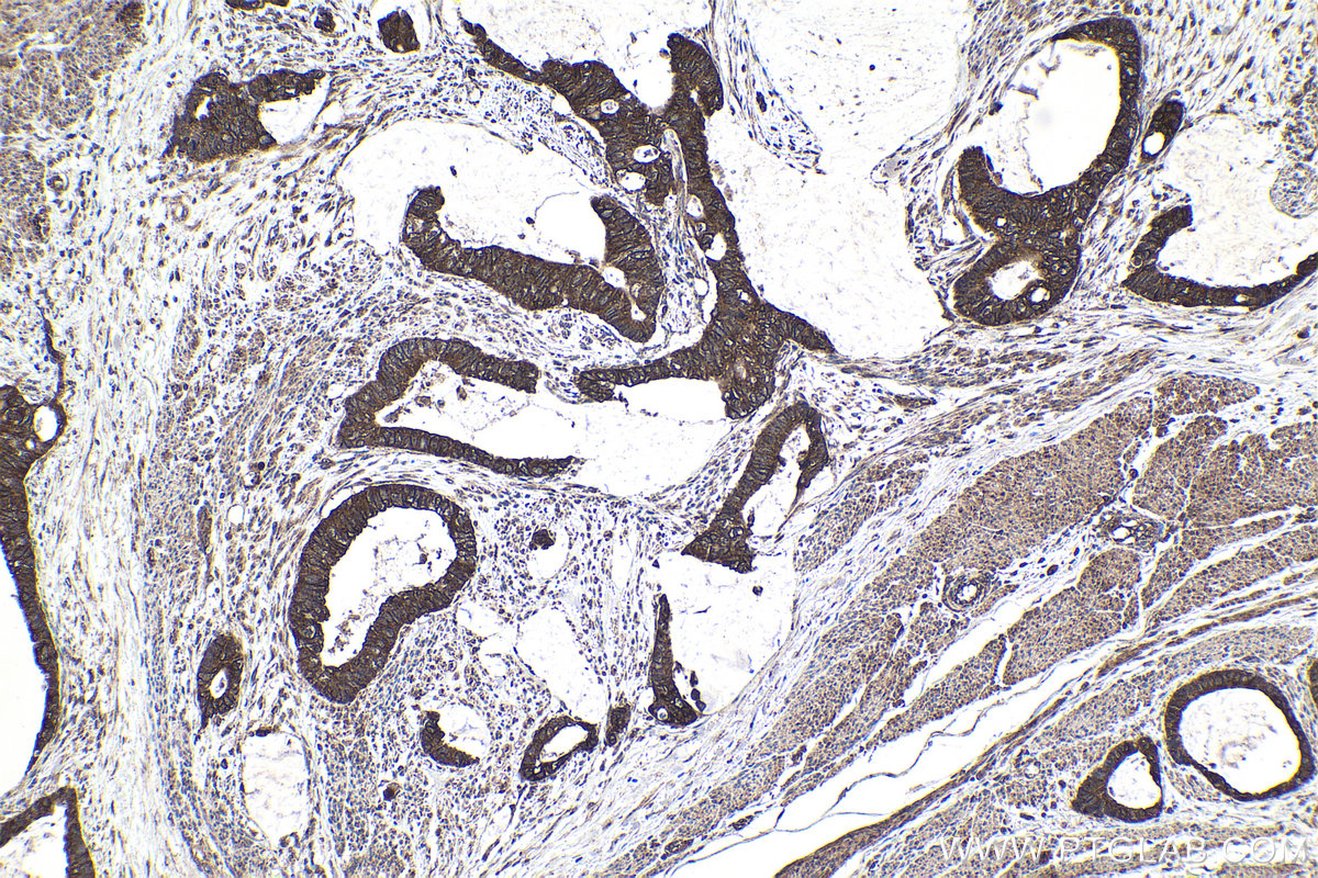
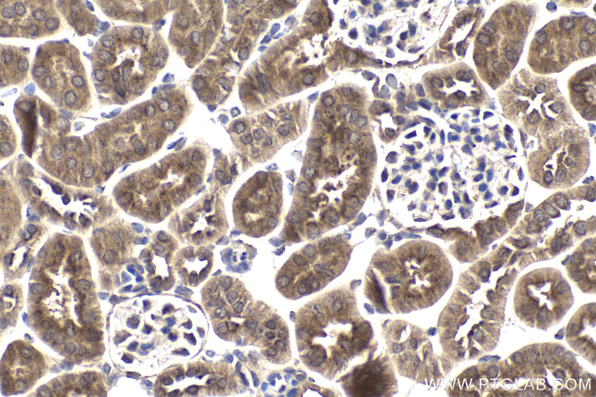
Validation Data Gallery
Product Information
KHC1904 is a ready-to-use IHC kit for staining of IER2. The kit provides all reagents, from antigen retrieval to cover slip mounting, that require little to no diluting or handling prior to use. Simply apply the reagents to your sample slide according to the protocol and you're steps away from obtaining high-quality IHC data.
| Product name | IHCeasy IER2 Ready-To-Use IHC Kit |
| Sample type | FFPE tissue |
| Assay type | Immunohistochemistry |
| Primary antibody type | Rabbit Polyclonal |
| Secondary antibody type | Polymer-HRP-Goat anti-Rabbit |
| Reactivity | Human, Mouse, Rat |
Kit components
| Component | Size | Concentration |
|---|---|---|
| Antigen Retrieval Buffer | 100 mL | 50× |
| Washing Buffer | 100 mL ×2 | 20× |
| Blocking Buffer | 5 mL | RTU |
| Primary Antibody | 5 mL | RTU |
| Secondary Antibody | 5 mL | RTU |
| Chromogen Component A | 0.2 mL | RTU |
| Chromogen Component B | 4 mL | RTU |
| Signal Enhancer | 5 mL | RTU |
| Counter Staining Reagent | 5 mL | RTU |
| Mounting Media | 5 mL | RTU |
| Datasheet | 1 Copy | |
| Manual | 1 Copy |
Background Information
IER2 (also called ETR101, Pip92, 3CH92 and CHX1, hereafter referred to as Ier2, regardless of species) is an immediate early gene that was originally found to be upregulated in fibroblasts upon their activation. Immediate early genes are a group of genes that are rapidly induced in quiescent cells by proliferation- and migration-inducing stimuli. Ier2 may have a role in tumor cell motility and metastasis.
Properties
| Storage Instructions | All the reagents are stored at 2-8°C. The kit is stable for 6 months from the date of receipt. |
| Synonyms | 3CH92, CHX1, ETR101, IER2, immediate early response 2, Pip92, Protein ETR101 |






